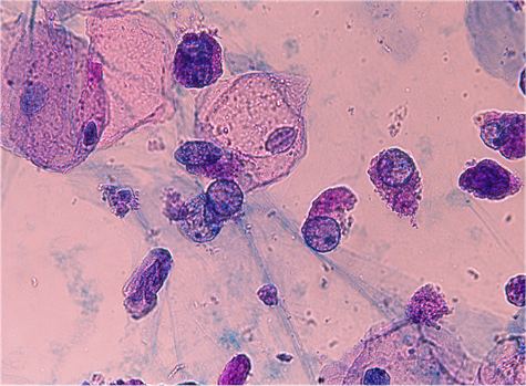
ウイルス感染細胞

由来:
尿細管上皮細胞または、移行上皮細胞
特徴:
円形・類円形 N/C比大を示し、核はスリガラス様を呈しクロマチンは融解状
ヒトポリオーマウイルス感染で見られる
DNAウイルス感染