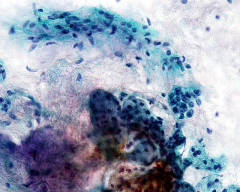
年齢/性別:46歳 女性
採取部位(方法):耳下腺穿刺 
臨床所見:耳下腺部腫瘤

弱拡大:粘液腫様背景に集塊を認める。

多形腺腫(pleomorphic adenoma)
強拡大:写真上部では境界不明瞭な紡錘形細胞(非上皮性成分)、写真右中央は類円形核で、クロマチンが濃染した細胞集塊(上皮性成分)が見られる。写真右下には腺房細胞が見られる。