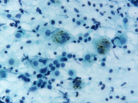
年齢/性別:56歳 女性
採取部位(方法):肺腫瘍捺印
臨床所見:胸部異常陰影

組織球

リンパ球と類上皮様細胞を背景に黒茶色顆粒(炭粉)を細胞質に伴う1〜2核細胞(組織球)をみる。核は類円から卵円形、核形不整は認めない。以上の所見から過誤腫、腺癌、悪性リンパ腫は否定的です。悪性黒色腫にしてはメラニン顆粒(黒褐色)、核形不整、著明な核小体、Apitz小体などがみられない。