千臨技会誌 2003 No.2 通巻88

シリーズ 細胞レベルの病理学
25.膵島細胞症(nesidioblastosis)
千葉県こども病院 中 山   茂
千葉大学大学院医学研究院腫瘍病理学 梅 宮 敏 文
千葉社会保険病院 岸 澤   充
講   議 細胞骨格と細胞運動 千葉大学大学院医学研究院腫瘍病理学
                     梅 宮 敏 文
研   究 ISO 15189 臨床検査室              −質と適合能力に対する特定要求事項について
千葉大学医学部附属病院 検査部
                      大 澤   進
施設紹介 社会保険船橋中央病院 検査部 技師長
                      伊 藤 和 男



シリーズ
細胞レベルの病理学
25.膵島細胞症(nesidioblastosis)
千葉県こども病院
千葉大学大学院医学研究院腫瘍病理学
千葉社会保険病院
中 山    茂
梅 宮 敏 文
岸 澤    充

はじめに
写真−1 免疫染色・insulin(対物×10)
インスリン陽性細胞は単独又は集合して外
分泌領域に分布する。
導管壁(矢印)にも陽性細胞が見られる。
 膵臓は外分泌と内分泌機能を有している臓器である。内分泌組織塊はランゲルハンス島として知られており、主として内分泌細胞であるA(α)細胞(グルカゴン)、B(β)細胞(インスリン)、D(δ)細胞(ソマトスタチン)、PP細胞(pancreatic polypeptide)等で構成されている。グルカゴンとインスリンはグルコースの血中濃度をコントロールし,ソマトスタチンは消化機能に影響を与え、インスリンとグルカゴンの分泌を抑制している。
 膵島細胞症(nesidioblastosis)はインスリン過剰症の中の一つであり、低血糖を伴う乳幼児に見られる膵臓の形態異常とされ、発生頻度的にはほとんどが生後数週ないし数ヶ月後に発症し、1歳以下のインシュリン過剰症の約50%を占めているとされている。治療としてはインシュリン分泌の抑制剤の投与、インシュリンの効果に対する拮抗剤の投与、膵臓摘出術等が上げられるがインシュリン過剰症には自然寛解がないとする立場から、本症全例が膵臓摘出術の適応と考えられている。
【組織像】
α顆粒 β顆粒 δ顆粒
図−1  各種顆粒模式図
 膵島細胞症(nesidioblastosis)は膵内分泌細胞、主としてB細胞のび慢性異常増殖を示す疾患であり、膵外分泌領域周辺にランゲルハンス島を形成せずにB細胞の増殖する像が本症の典型的組織所見とされている。一般的にはH.E染色のみでは診断は難しく、Gomori’s aldehyde fuchsin染色、免疫組織化学的手法などのインシュリン特殊染色法や電子顕微鏡でB細胞の分布をみることが本症の診断には有用である。
【電顕的観察】
 内分泌細胞はその顆粒の特徴により電子顕微鏡的に区別をつける事が可能であり、その特徴として以下のようなことがあげられる。また、図−1に内分泌顆粒の特徴的な図を示した。

A(α)細胞:多数の大型有芯性分泌顆粒が認められる。
B(β)細胞:分泌顆粒中に結晶構造が認められる。
D(δ)細胞:分泌顆粒中に芯構造がない。
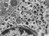
写真−2 電子顕微鏡像(bar=500μm)
チモーゲン顆粒を有する外分泌細胞(暗調
な細胞質)と共に顆粒を有する内分泌細胞
(明調な細胞質)が混在して見られる。

Z:チモーゲン顆粒
B:β顆粒
H:血管
写真−3 電子顕微鏡像(bar=5nm)
β細胞の分泌顆粒中には結晶構造が
認められ、様々な格好を呈している。
【参考文献】
1)長 秀男:新小児医学体系16E 小児内分泌学?:80〜93,中山書店,1986
2)福田 多禾男 他:現代の病理学 各論:766〜773,金原出版株式会社,1988

<<目次欄へ


講   議
細胞骨格と細胞運動
千葉大学大学院医学研究院腫瘍病理学
梅 宮 敏 文

はじめに
 細胞が多彩な形をとり、統一された方向性のある運動をするのは、細胞質全体に張りめぐらされたタンパク線維の複雑な編目構造のおかげである。この構造は細胞骨格(cytoskeleton)とよばれている。細胞骨格は、細胞が形を変えたり分裂したり移動するときに、速やかに再構築する非常に動的な構造である。
細胞骨格は細胞の移動、筋の収縮、脊椎動物の胚の形態変化などに直接関与している。また、細胞骨格には細胞質の中で細胞小器官を輸送したり、有糸分裂の際に染色体を分離するなど細胞内運動装置としての働きもある。
 細胞骨格には、アクチンフィラメント(actin filament)、微小管(microtubule)、中間系フィラメント(intermediate filament)の3種類のタンパク線維がある。各線維はそれぞれ異なるタンパクサブユニットからできており、アクチンフィラメントはアクチン(図-1)、微小管はチューブリン(図-2)、中間系フィラメントはビメンチンやラミンなどの線維状タンパクファミリーが集まったものである。アクチンとチューブリンは真核細胞の進化の過程で特によく保存されている。
 ここでは、細胞のいろいろな運動、特に細胞表面の運動に重要な役割を果たすアクチンフィラメントと細胞運動のメカニズムについて述べる。
図-1 共焦点レーザー顕微鏡像:
培養細胞のStress fiber矢印(Phalloidin蛍光染色)
図-2 共焦点レーザー顕微鏡像:
培養細胞のtubulin(抗tubulin免疫蛍光染色)
アクチンフィラメント
 アクチン(actin)はすべての細胞に存在する。この細胞骨格タンパクは多くの細胞で量の最も多いタンパク質で、全細胞タンパクの5%以上を占めるほどである。中でも脊椎動物の骨格筋細胞にはアクチンが約20%もある。アクチンフィラメントを塩処理するとサブユニットのアクチンに解離する。アクチン分子はアミノ酸375個からなる1本のポリペプチドで、ATPが強く結合している。アクチンフィラメントは細胞内で安定な構造と不安定な構造をとる。安定な構造をとるアクチンフィラメントは微絨毛の芯や筋細胞の収縮装置の重要な構成成分である。一方細胞運動の多くは、アクチンフィラメントの不安定な構造に依存している。
 アクチンフィラメントの構造を電子顕微鏡でみると、太さ約8nmでアクチン分子(Gアクチン)のらせん状二本鎖重合体である。アクチンフィラメントは細胞全体に分散しているが、細胞膜直下の皮層に最も高濃度に存在している。
 アクチンフィラメントには極性があって両端は構造が異なっている。一端は比較的不活性でゆっくり伸長するマイナス端、もう一端は速く伸長するプラス端である。アクチンフィラメントとモータータンパクのミオシンの間で形成される複合体が一方向を示す「矢じり」のようにみえるので、マイナス端を「矢じり端」、プラス端を「反矢じり端」という。
 ほ乳類の組織には6種類のアクチンが存在し、これらは等電点によってα、βγ-アクチンの3種類に分類される。このうちβ-アクチンはいろいろな筋肉に存在し、β-アクチンとγ-アクチンは非筋細胞の主な構成成分となっている。細胞内にあるアクチンフィラメントを全部足し合わせるとその長さは微小管の30倍以上にも達することで、この2つの細胞骨格多量体の細胞内構築や機能が根本的に違うことがわかる。アクチンフィラメントは微小管より細くて柔軟性があり短く、細胞内に単独で存在することは少なく、架橋されてできた集合体や束の形で存在している。
【細胞運動と細胞形態の変化】
図-3 走査電顕像:肺癌培養細胞の
糸状仮足(長矢)と微小突起(短矢)
図-4 走査電顕像:移動している肺癌
培養細胞。広い葉状仮足(矢印)を認め
 細胞が移動したり形をかえたりするときには、細胞表面が突出したり伸長したりダイナミックな形態変化がみられる。たとえば大型細胞であるマクロファージは仮足(pseudopodium)を出して組織中を動き回る。組織細胞も移動できるが、組織培養すると特に細胞運動と運動にともなう細胞形態の変化を顕著に観察することができる。移動している培養細胞の先導端には、葉状仮足(lamellipodium)とよばれる薄いシート状の突起がのび出す。葉状仮足にはアクチンフィラメントの高密度の網状構造が存在している(図-4)。また多くの細胞は、アクチンフィラメントのゆるい束でできている微小突起とよばれる細い突起を出す(図-3)。移動中の細胞には進行方向に向かって糸状仮足(filopodium)とよばれる微小突起が伸長したような突起を出す(図-3)。葉状仮足は微小突起が二次元的に広がったものと考えられ、事実、葉状仮足の縁の部分には小さな微小突起がよく突出しており、葉状仮足も微小突起も非常な速さでできたり引っ込んだりする運動性の構造体である。
 細胞に張力が加わると細胞内のアクチンフィラメントは、ストレスファイバー(stress fiber)とよばれるアクチンフィラメントと?型ミオシンの収縮性の
図-5
束が一時的に形成される(図-1)。ストレスファイバーは、接着点(focalcontact)を形成し細胞外部の基質に付着するのを可能とし、その構造と機能からみて小さな筋原線維というべきものである。
 細胞移動には次の3段階の細胞変化がある(図-5 細胞移動のモデル Thecellより)。細胞の前方から葉状仮足や微小突起(または糸状仮足)をのばす「突出」と、アクチンの細胞骨格が基質と結合する「付着」と、細胞体が前方に移動する「牽引」である。細胞はこれらの細胞形態変化と細胞骨格形成を起こしながら移動しているのである。
 現在我々の研究室では、CD44分子の癌浸潤・転移過程における役割について検討している。すなわち、細胞移動(運動)の始点となるアクチンなどの細胞骨格や細胞接着装置形成のシグナル伝達系メカニズムの解析が癌浸潤・転移過程に重要な鍵を握っているのである。細胞移動のシグナル伝達系メカニズムは、低分子Gタンパク質RhoとRacが細胞増殖因子などの種々の細胞外シグナルの下流で細胞骨格や細胞接着を制御している。癌細胞が悪性化すると、細胞接着能が低下すると同時に運動能が亢進し、癌細胞の浸潤、転移が起こる。つまり、Rhoが活性化することで細胞の浸潤能が亢進すると考えられている。
 これまで述べてきたように、細胞は細胞外シグナルに応答し、細胞骨格や細胞接着装置をダイナミックに変化させることによって外界環境に適応している。
【参考文献】
1)稲垣昌樹:細胞骨格・細胞接着と蛋白リン酸化;実験医学、1150-1160 Vo15 1997 羊土社 東京
2)THE CELL:細胞の分子生物学第3版 細胞骨格;787-861 1995 教育社
3)Ridley,A.J.,&Hall,A.:Cell,70;389-399 1992

<<目次欄へ


研   究
ISO 15189 臨床検査室                
 −質と適合能力に対する特定要求事項について
 千葉大学医学部附属病院 検査部
大 澤   進

【はじめに】
 ISO(International Organization for Standardization)から「ISO 15189 臨床検査室−質と適合能力に対する特定要求事項について」が国際標準(International Standard:IS)として制定された。このISO 15189の解説を行う前にISOの概要として、基本的な考え方、制定までの手順、ISO/TC212の組織、そしてISO 15189についての概略を説明し、ISO 15189制定後の我々臨床検査室への影響と今後の展開についても触れたい。
【ISOの概要】
 ISOは非政府国際標準化団体で、その事業範囲は電気と通信を除くすべての分野を包含している。その対象には工業製品だけではなく、今回のISO 15189のようにサービス関連の分野も含まれている。これまでの国際規格発行数は13,500を越えており、その構成メンバーは143カ国で、2,885の委員会に技術委員会、科学委員会、ワーキンググループ(WG)がある。中央事務局はジュネーブにあり、165名のスタッフで運営され、その業務は事務的な業務で、標準化作業は委員会で行っている。
 ISOの代表的な規格にはフィルムの感光度を表すISO 200、画像の圧縮法であるJPEG、書籍のBook NumberであるISBN、クレジットカードのサイズ、インターネットのアドレスに用いている国コード(日本;jp)などや品質保証の標準規格であるISO 9000シリーズなどが知られている。
【国際規格の制定方法】
 基本的な考え方はメンバー国の代表による「関係者の合意に基づく任意の規格」であるため、加入しているメンバー国は強制されることはない。国際標準の制定の方法は、メンバー国が新規規格を提案し、メンバーの過半数の合意で作業が開始される。作業原案はWGの専門家によって作成され、委員会原案(Committee Draft; CD)が国を代表する専門委員会で合意を目指します。国際規格原案(Draft International Standard; DIS)は主要メンバー国(日本も含まれている)の2/3以上の賛成と1/4以下の反対で可決され、最終国際規格原案(Final Draft International Standard; FDIS)として主要メンバー国の2/3以上の賛成と反対1/4以下で成立し、国際規格(International Standard; IS)が制定されます。そして、各国が任意に利用する事になります。しかし、主要な先進国はそのほとんどを利用しております。
【ISO/TC212委員会について】
 この委員会はアメリカNCCLSの提案によって設立された委員会でその名称は「臨床検査と体外診断検査システム:Clinical laboratory testing and in vitro diagnostic test systems」である。このTC212の作業範囲は「臨床検査医学と体外診断検査システムの標準化とガイダンス」である。この委員会には3つの作業グループがあり、WG1は「Quality management in the clinical laboratory;良い検査室を運営するために」、WG2は「Reference system;良い測定体系を確立するために」、そしてWG3は「In vitro diagnostic products(IVD);良いIVD製品を提供するために」で構成されている。
【ISO規格の作成手順】
表1 ISO規格の作成手順
作 業 手 順 英語略 英 語 名
新作業項目の提案 NP New proposal
作業原案の作成 WD Working draft
委員会原案の作成 CD Committee draft
国際規格原案作成の照会と策定 DIS Draft international standard
最終国際規格の策定 FDIS Final DIS
国際規格の発行 IS International standard
 表1に作業手順を示した。FDISの規格になると修正することができなくなるので、賛成票か反対票を投じるのみになる。最終的に国際規格が発行されると我が国では日本工業規格に適用される場合もある。ISO15189は適用が厚生労働省管轄になるため、JISへの適用は厚生労働省の意向によると考えられている。






WG1:臨床検査室のQuality managementについて
 WG1では現在、4つの規格の作成が行われており、この中のISO15189は国際規格として本年2月に制定された。(表2)
表2 臨床検査室のQuality managementの活動事項
ISO番号 活 動 内 容
ISO/IS 15189 臨床検査室−質と適合能力に対する特定要求事項
ISO/DIS 15190 臨床検査室−安全に対する要求事項
ISO/AWI 22869 ISO 15189導入のための指導書
Part 1:認定機関関係者用
Part 2:臨床検査室関係者用
ISO/WD 22870 Point-of-care Testing
WG2:基準測定体系
 主に標準化と測定体系について検討されており、表3の5つの規格が検討されている。
表3 基準測定体系の活動事項
ISO番号 活 動 内 容
ISO/DIS 15193 基準測定操作法の提示
ISO/DIS 15194 標準物質の記述
ISO/DIS 15195 基準測定検査室に対する要求事項
ISO/DIS 17511 校正物質と管理物質の表示値の計量学的トレーサビリティー
ISO/DIS 18153 校正物質と管理物質の酵素活性表示値の計量学的トレーサビリティー
WG3:体外診断用製品
 検査試薬についての検討が行われており、その主なメンバーは試薬供給メーカからなっている。6つの規格が検討されている。(表4)
表4 体外診断用製品の活動事項
ISO番号 活 動 内 容
ISO/TR 15196 医学的ニーズに基づく検査手順のための分析性能目標の設定
ISO/DIS 15197 糖尿病管理における自己管理のための血液グルコースモニターシステムに対す
る要求事項
ISO/DIS 15198 ユーザー品質管理のための推奨手順の製造業者による妥当性の確認
ISO/DIS 17593 経口抗凝固剤治療の自己検査のための体外モニターシステムの要求事項
ISO/DIS 19001 生物学において体外診断染色試薬について製造業者により提供される情報
ISO/NWIP 製造業者により提供される情報(ラベリング)
【ISO 15189の作成の経緯】
ISO 15189の作成に当たっては2000年に作成された「ISO 9001:品質管理システムの要求事項」と1999年に作成された「ISO 17025:試験所と検定機関の能力に対する一般的要求事項」を人の生体試料を取り扱う業務向けにとりまとめた規格である。ISO 15189の作成の詳細を知るにはこの二つの規格が参考になる。
【ISO/IS 15189について】
 ISO/IS 15189の概略について説明する。この規格の章立ては以下の通りである。

1.序文
2.適用範囲
3.引用規格
4.用語と定義
5.マネジメント要求事項
技術的必要事項

付属書A (規定)EN ISO 15189、ISO 9001:2000及びISO/IEC 17025:1999との相互関係
付属書B (参考)検査情報システム
付属書C (参考)検査医学における倫理

1.序文
序文には、「適切なコンサルテーションサービスを含む検査サービスは患者診療にとって不可欠であり、全ての患者とヒューマンヘルスケアに責任を持つ臨床医のニーズを満たすために利用できなければならない。
 これらのサービスには検査依頼のアレンジ、患者の準備、患者の識別、サンプルの採取、搬送、保存、臨床サンプルの処理と検査、その後に続く妥当性の確認、結果の解釈、報告、及びアドバイスと共に検査業務の安全性と倫理が含まれる。
 国内法規上許容される場合は、コンサルテーションの場合に患者を検査することも検査サービスに含めるべきである。また、患者の診断及び患者マネジメントと合わせて、疾患予防への積極的参加をこのサービスに含めるべきである。関係専門スタッフへの適切な教育及び科学的機会がこれら個々のサービスから得られなければならない。」としている。この国際規格の適用範囲は、「臨床検査室の質と適合能力に対する特定要求事項に関する。これは全ての検体検査を対象とし、臨床検査室の手順の質と適合能力を確たるものにするためのガイダンスを提供する」と記されている。
 ISO/IS15189の基本的な考えは、臨床のニーズに基づいて計画(Plan)を立て、その計画に基づいた検査の実施(Do)、そしてその評価(Check)を行い、改善点があれば、その対応(Action)を行う検査業務の活動サイクル(PDCAサイクル)を継続的な品質改善として実施することにある。(図1)
 この規格の具体的な業務体系を図2に示した。ここでは検査部長や品質管理責任者を配置し、これら検査室の管理者は検査計画としての経営資源の運用や活用、経営組織の整備、そして品質マネージメントマニュアルを作成する責任がある。検査の実施にあたっては、検査受付業務に始まり、検査の測定、利用する機器の保守、そして用いる試薬管理、得られた検査データの精度管理やデータチェック、さらに業務に関する文書管理までが含まれる。
 検査業務の分析や評価では、外部精度管理調査による評価や外部・内部での監査、そしてManagement Reviewがある。検査業務に対する臨床医からのクレームや要望、外部精度管理調査結果による評価などからの業務や精度管理法の見直し、またインシデントなどが発生した場合の再発防止や是正処置といった対応策の実施がある。

2.マネジメント要求事項について
表6 マネジメントレビューの項目
分 野 項    目
検査実施 検査依頼伝票
患者の検査結果及び報告書
測定機器の出力印刷物
検査手順
検査ワークシート
検体受取記録
検量関数及び変換係数
品質管理記録
業務管理 苦情及び実施した処置
外部品質評価記録
品質改善記録
機器保守記録
事故の記録及び行った処置
スタッフ訓練と適合能力記録
パッケージ添付文書
ロットに関する文書
 この中には下記の内容が含まれている。

1)組織とマネジメント
 検査データについての適切な解釈及びアドバイスサービスを含む検査サービスを実施し、患者及び患者のケアに責任を有する全ての者のニーズを満たすように検査の組織や業務管理が企画されていなければならないと規定している。
 検査室管理チームは、品質マネジメントシステムの構築やその適用、そして維持及び改善について責任を持たなければならないとしている。

2)品質マネジメントシステム
 品質マネジメントの方針、立案過程、行事計画、手順及びスタッフへの指示は文書化し、全ての関連する従事者に徹底し、これらの文書が確実に理解され実施されるようにしなければならない。そして、品質マネジメントシステムには、内部品質管理及び外部品質評価プログラムのような組織された検査室間比較プログラムに参加することも含まれる。
 品質マネジメントシステムの方針及び目標は、検査部長の権限において、品質方針の中で定義しておくとともに品質マニュアル中に文書化しておかなければならない。

3)文書管理
 検査室はその品質文書に該当する全ての文書及び情報を管理する手順を定め、文書化し、それを維持する。また、検査部長は保存期間を定めることとしている。

4)契約のレビュー

5)委託検査室による検査

 組織病理学、細胞病理学などの分野についてはセカンドオピニオンを提供するコンサルタント及び外部委託検査室の評価及び選定について、検査室はその手順を文書化し所有することとしている。また検査室は、委託検査室が依頼検査を実施する適合能力を担保していることを保証しなければならないとある。

6)外部からのサービス及び購入品等

7)アドバイスサービス

 検査室の特別専門スタッフは、臨床医に対して検査の繰返しの頻度やサンプルの種類を含めて検査の選択、サービスの利用について助言すること。検査サービスの利用について、また科学的な事柄について相談に応じるため、検査室専門スタッフは臨床医と定期的な症例検討会を持つように記載されている。また、検査室の専門スタッフは、検査の有効性について助言できるよう回診に同行すべきであるとしている。

8)苦情処理
検査室は臨床医、患者または他の関係者から受けた苦情の処理、あるいはそのフィードバックに関する方針及び処理手順を保有することや苦情及び検査室が実施した調査や是正処置についての記録を保存しなければならないとある。

9)不適切な検査の同定と管理

10)是正処置

 検査室管理チームは、是正処置の調査結果により必要となった作業手順の変更について文書化し実施すること。また、検査室管理チームは見出された問題の解決が確実に効を奏したかの判断のために、あらゆる是正処置の結果をモニターする

11)予防処置
 予防処置が必要な場合は、不適切な検査発生の低減や改善機会を生かすために、実施計画を策定して、これを実施し、モニターすることとしている。

12)継続的な改善
 不適切な検査の原因個所や品質マネジメントシステムについて定期的に必要に応じ、改善のための行動計画を開発し、文書化し、これを実施する。また、レビュー結果による処置を実施した後に、検査室管理チームは、その対策の有効性を評価しなければならないとある。

13)品質及び技術上の記録
 検査室は品質及び技術的記録の特定、収集、索引、アクセス、保存、保守、及び安全な廃棄に関する手順を作成し、実施しなければならない。また、品質マネジメントシステムに属する種々の記録類及び検査結果を保存する期間を定め、保存期間は検査の性質や個々の検査の特性、あるいは幾つかの例では法律に照らして定められなければならないとある。

14)内部監査
 品質マネジメントシステムの管理運営と技術面について内部監査を品質マネジメントシステムで定義された期間ごとに実施すること。監査は公式に計画し、組織化し、品質管理者または指定された適切な資格を有する人材により進める。また、内部監査の手順を定め文書化しておくこと。改善事項が見出されたときは、その検査室は定められた期限内に適切な予防対策及び是正処置をとるとしている。

15)マネジメントレビュー
 主なマネジメントレビューの項目を表6に示した。

担 当 内    容 業 務 内    容
管 理 者 前回のレビューのフォローアップ 精度管理者 外部精度評価のアウトカム
是正処置及び予防処置の状況確認 不的確な検査
外部団体による評価 所要時間のモニター
臨床医などからの苦情フィードバック 業務改善プロセスの結果


3.技術的要件事項について
 日常検査業務の技術的な事柄については以下の8項目について記載されている。
1)人材
 検査部長またはその任に指名された人の職務には、専門的、科学的コンサルテーションあるいはアドバイサリー的、組織的、経営的、教育的内容が含まれる。
 具体的な部長の任務は検査サービスの性能基準及び質的改善を定義して、日常業務を遂行し、モニターすること。また、医学的に信頼できるデータが得られていることを確かめるために、検査室で行われている全ての仕事をモニターすることや検査室のニーズを満たすために適切な証明書のある訓練を職員に行うと同時に経験を有する人材を十分に確保することが記されている。
 さらに、医学環境に適切なリソースを開発し、目標を設定し、開発し、配置して、予算計画及び責任ある財政管理を含む検査サービスの効果的、効率的な管理を行う。その施設に適した研究開発を計画し指導することやサービスの品質の観点から全ての検査外注センターを選択し,モニターする。また、検査サービスについて利用者からのあらゆる苦情、要求または提案に対応して、業務を遂行することが示されている。
 従って、片手間な仕事としてはできないことが示されている。検査部長がいない検査室では技師長がこの職に相当すると考えられる。
2)作業スペース及び環境条件
 検査室は、仕事の質、品質管理手順、従事者の安全性患者サービスを犠牲にすることなく遂行すべき作業が実施できる十分なスペースがなければならない。検査部長は適切なこのスペースを決めなければならないとしている。
機  器 項   目 管  理 項   目
機器のID 製造業者の使用説明書
製造者、型式、製造番号 使用の妥当性を確認できる機器性能記録
製造業者連絡先氏名、電話番号 保守予定年月日
3)検査室の機器
 検査室にはサービスを提供するために必要なあらゆる種類の機器が設置されていなければならないとしている。また、検査機器の記録と維持管理には表7の項目を管理することが述べられている。
4)検査前手順
 検査依頼票には患者及び正当な依頼者を特定するのに十分な情報及び適切な臨床データが含まれ、国、地方の要求事項を適用しなければならないとし、その具体的な項目としては、患者のID、医師名、依頼検査内容、性別、年齢、採取日、そして検体受領日などがある。
5)検査手順
 検査室はサンプルの選択・分取を含む検査手順を完全に文書化しなければならないこと。そして、すべての検査手順は文書化し、関連スタッフが作業場所で利用できなければならないし、検査室のスタッフが通常理解できる言語で記載されていなければならないとしている。
6)検査手順の品質保証
品質保証では、検査の目的や用いる方法の原理、試薬の性能仕様、試薬と機器のシステム、校正方法、作業ステップ、品質管理法、干渉試験や交差反応、そして基準範囲、緊急異常値の設定などを文書化することが求められている。
7)結果報告
 報告された結果は、迅速な取り出しができる形で検査室に保管しなければならない。報告後の結果は、臨床との関連性または国または地方の法律により要求されている期間保管しなければならない。また、検査室は、重大な特性を有する検査の結果が、設定されている“警戒/緊急異常値”範囲内に入ったとき、臨床医への緊急通知のための手順を有していなければならない。緊急異常値範囲の結果に対応してとられた処置の記録を保存しなければならない。これらの記録類には、日時、責任のある検査室スタッフメンバー、通知受けた者及び検査結果の記載を含めなければならない。
 また、臨床と相談の上で、検査室管理チームは、個々の検査の所要時間(TAT)を設定し、その所要時間は臨床のニーズを反映すること。そして検査室には報告書の変更について書面化した方針と手順がなければならない。
【臨床検査室への影響と今後の展開】
 臨床検査室にとってISO 15189は初めての規格であり、今後の検査室運営にどのように影響を与えるかは定かではない。しかし、予想されるであろう変化について述べてみたい。
 本年2月に国際規格として承認されたことにより、我が国でもこの規格を国内規格として導入する方向で検討がなされている。その一つは日本工業規格(JIS)である。JIS規格を管理する政府機関は通商産業省になるが、ISO 15189規格をJIS規格とすることに依存はないようであるが、その内容は厚生労働省に関わる部分が大きい。現時点では、この国際規格は厚生労働省にとっても初めての規格となるため、その取り扱いは未定である。仮に厚生労働省も承認することになると、ISO 15189の認証する機関が必要になってくる。日本国内の認証機関には日本規格協会があるため、この協会を中心にして作業が進むことと予想される。また、審査する人材の育成も必要になるが、この規格を検査室に導入するための解説書も必要になってくる。
 もし、国内の認証機関が設立されない場合は、認証機関は国内だけではなく、外国にもそのような機関が設立されると予想できることから、日本国内の検査室が外国の認証機関から認証を受ける可能性もある。この場合は、審査官の渡航費用などもかかるため、高額な認証経費と考えられる。
 もし仮に、国内にも認証機関が設置された場合は、どのような展開になるのであろうか。臨床検査業務が企業として成り立つ検査センターは最初に認証を受け、営業戦略としての企業イメージアップを目指すであろう。従って、ますます病院検査室のブランチ化が進む可能性も考えられる。病院検査質がISO 15189の認証を受ける場合には、認証経費がかかることから病院経営者(院長)の理解がまず必要となる。可能となれば、非常に質の高い検査室として社会から認められる存在になる。また、企業活動の国際化が進んでいるため、外資系の保険会社が任意保険で医療費を支払う場合の選択基準として利用される可能性もある。
 検査室の質を保証する方策として、ISO 15189の認証は重要な価値を持つことは間違いない。検査室がこの認証をもつことで、その存在意義が増すと考えられ、検査室の生き残り対策としても真剣に考える対象であろう。
 このISO 15189の日英対訳版は日本規格協会から入手することができる。この国際規格は数年以内には活用されることが予想されるため、各検査室の責任者や主任は熟読することや勉強会を開催して、技師全員で理解し活用することが必要であろう。

<<目次欄へ


施設紹介

社会保険船橋中央病院
 検査部 技師長    
伊 藤 和 男

 当病院は、開院時の昭和24年頃当時は、船橋には病院らしい病院が一つもなく、折りしも全国に健康保険病院を建設するという国の政策によって、国有民営方式による社会保険船橋中央病院が誕生したのが始まりだそうであります。
 当院は、現在診療科21科・病床数414床、健康管理センター・保健看護専門学校を併設した総合病院に発展し、地域住民の基幹病院として中核的な役割を担っております。
 所在する船橋市は千葉県東葛南部医療圏(市川市、浦安市、船橋市、習志野市、鎌ヶ谷市、八千代市の人口156万人、64病院、診療所937、老人保健施設19となっています。)に属し県民の医療ニーズに応えるべく最新医療機器の整備、更には地域の医療機関との緊密な連携を持ちつつ、当院の理念である“正しい医療・良い医療・優しい医療”の提供に努めております。
 さらに、わが国の社会問題でもある少子化対策から、地域からの強い要望により、今春4月当院にて開設予定の周産期母子医療センターは、周産期医療の拠点施設として、地域の医療機関より期待されており、現在、その期待に応えるべく最大の努力をはらっております。
 それらにより今春4月より、当院の診療科は22科・病床数は464床と変更になります。
 当検査部は2階の一番奥まったところにあり、健診センターと4月開設の周産期母子医療センターの棟続きのところに位置しており廊下をはさんで生理部門と検体部門に分かれており、受付け脇には外来全科対応の採血コーナーがあります。
 臨床検査技師他総勢31名(半日技師パート3、半日受付パート1、事務1を含む)で健診部門と診療部門の検査を行っています。
 化学、血清(Aブロック)6名・血液、一般(Bブロック)7名・細菌、病理(Cブロック)8.5名・生理検査(Dブロック)4名と7部門、4ブロックに分かれおりますがブロック内はもとより各ブロック間でも流動的な人員配置を行っております。
 その中より午前中は、採血コーナーへ2名・検体受付窓口へ2名・健診センターへ4名配属し、出張健診には2〜3名配属しております。

 各部屋に於いての主要機器と特殊検査は
 生理 ― フオルム(日本コーリン)昨年11月導入
     サイプレス(アキュソン)昨年12月導入
     SAL370 (東芝)
     ※ ABI 尿素呼気試験
 細菌 ― バイテック 2(ビオメリュウ)今年1月導入
     ※小児科―咽頭アデノウイルス検査・RSウイルス検査  
 化学 ― AU2700・AU640(オリンパス)今年3月導入
     ※グリコアルブミン
 病理 ― 病理検査業務支援システム構築
     (台帳管理〜ラベル発行〜集計・統計)
     ※ハーセプチン 50例/年
 一般 ― 6800  (シスメックス)
 血液 ― KX−21(シスメックス)今年3月導入
     SE9000(シスメックス)
     CA6000(シスメックス)
     ※骨髄穿刺 250例/年
 血清 ― ルミパルスf(富士レビオ)・AKSYM(ダイナボット)

 現在、それぞれの検査部門も各種認定制度がすすんでおり、当院においても超音波検査士9名、輸血認定技師3名、細胞検査士5名がおり、その他のスタッフも技師会役員や各種学会発表などの場で活躍しております。
 H13年5月よりH15年1月迄に3名の退職者が有りましたが、昨今の病院の経営状態を考慮し検査部としては補充無しで現在頑張っております。
 最近における当検査部の目玉は、昨年4月よりの新システムの構築と全館オーダリングによる外来採血スタートではなかったかと思います。
 オーダリングの設備も整いニーズに答えて、長年の懸案事項であった中央採血化に向けて看護部門と協力し、当初、内科外来分より採血業務をスタートさせ、順次拡大し現在、外来全科に範囲を広げ採血を行っており、午前の採血要員としては検査部より2名を配属し、看護師1名と共に3名で行い、午後は技師1名の体制でスタートした採血業務ですが現在、関係部所及び患者様より大変好評を得て行っております。
 今
“習うより慣れろ!”の合言葉で検査部皆一丸となり採血業務を頑張っており、スタッフの採血技術も日増しに上達しているのが解ります。採血コーナーも、現在多い時は200名を超える事も度々で看護師さんに助けられ、患者様に励まされながら採血に当たっているのが現状であります。
 外来全科のオーダリングや、病棟当日オーダが可能となった事により、オーダ入力ミスの激減、採血管準備、臨床側への即時データ提供、患者様へのサービスにつながる事などの多くのメリットが上げられます。
 オーダリングは検体検査部門(一般検査・血清検査・生化学検査・免疫血清検査)で行っておりますが、従来、伝票で行ってきていた検査システムでは受付で検体と伝票を合わせ、入力後読み合わせ確認をしてからラベルを発行し、手書きラベルで上張りして検査を行っておりましたが、オーダリングにより、病棟分はラベルを貼ってから採血(採血管名がラベルに印字されているので容器の洩れがなくなる)して検査部へ提出、外来分は検査部受付けへ患者が到着した時点でラベルが出力され、ラベルに合わせて採血コーナーで採血を行う事になります。
 このことより受付で伝票入力、読み合わせ確認といった事を行わない分の浮いた人材を採血コーナーへ回すことが可能となり、看護部からも感謝され、患者様よりは採血専門コーナーである事、新しくて落ち着くなどと好評を頂いております。
 又、現在オーダリングを行っていない生理部門、病理部門、細菌部門、輸血部門もそれぞれ独自にコンピュータを使って検体(患者)受付を行い、問い合わせ等には画面で検索するようになっています。
 人員配置においても午前中の採血、健診、超音波検査などの患者様に接する部分には検体検査部門より人員を送り込み、午後には各部門に戻って検体検査を行ったり、出張健診(心電図、尿、又は腹部超音波検査)にも全員が行くようにと、かなり流動的な配置を行っております。
 又、各検査項目毎の採算性、コスト、緊急度などを見直し、不採算で緊急性を要しない項目は外注へ、採算性がよく検体数も多くドクターからのニーズのある項目は、院内への導入を図っております。
 そして、使用機器で老朽化して処理能力の劣った機種などについても、なかなか新規購入できないものは、昨今の経営状況から試薬機器リースなどによって出来るだけ経営を逼迫しないで導入する方法を考えて来ました。そして、現在、検査機器のニーズにより試薬の微量化が進んだ事により、機器を導入した上でも病院より持ち出しをする事も無く生化学の分析装置や細菌室の自動化の機器を導入(機器リースシステム)することが可能となりました。
 このような形で細菌検査の自動化器械や、生化学検査の分析装置などの新機種の導入を行う事ができ、検査結果の迅速化、人員削減、省力化、コスト削減なども図ることができ結果的には経営に貢献する事が出来ました。
 昨今の厳しい経済状況の中で積極的に病院の経営に参画して行き、常に検査部をアピールして行きたいと思っております。
 このように現在、各部所で経済効率・採算性の良い検査法へ見直しを行い、お互いの部所がカバーし合い極力残業も無くして行く方向性で考えております。
 そして今、“誰がやるの?”ではなく、我々1人1人が常にコスト意識を持ち“みんなが経営参画を!”を合言葉に頑張っております。今年の検査部の目標は、“可能性への挑戦を!”であり、今後も患者様はじめ周囲からも、スタッフの1人1人が“貴方がいるから安心だね”と、信頼されるような検査部を目指し、今後も常に前を見つめピンチをチャンスと捕らえる意気込みで頑張っております。
 このように大変厳しい状況の中、それぞれの分野でこれからも多方面からのニーズに応えるべく尚一層の努力を行い、社会保険船橋中央病院検査部一同、これからも“可能性への挑戦を!”目指しながら更に頑張って参ります。

<<目次欄へ