千臨技会誌 2004 No.1 通巻90

シリーズ 細胞レベルの病理学
26.ファブリ病(Fabry's disease)
千葉社会保険病院 岸 澤   充
千葉県こども病院 中 山   茂
千葉大学大学院医学研究院腫瘍病理学 梅 宮 敏 文
講  義 「注目すべき感染症」      
  〜肝炎ウイルスの最近の話題〜
アボットジャパン株式会社      
マーケティング部 土 田 貴 彦 
研  究 「加齢による免疫能の変遷」   
Vicissitude of aging on   immuno-competence
加 藤 恵 一 
資  料 各認定試験取得者による過去−現在−未来
(これから受験する人へのアドバイス) 
認定輸血検査技師
浦安市川市民病院 診療協力部   
検査科 富 山 純 子 
資  料 各認定試験取得者による過去−現在−未来
(これから受験する人へのアドバイス) 

認定臨床微生物検査技師制度−これからの展望
千葉県済生会習志野病院 検査科 
丸 山 英 行
資  料 各認定試験取得者による過去−現在−未来
(これから受験する人へのアドバイス)
認定血液検査技師制度について 
千葉大学医学部附属病院検査部 
大 山 正 之 
資  料 各認定試験取得者による過去−現在−未来
(これから受験する人へのアドバイス)
糖尿病療養指導士 
幸有会記念病院 検査科   
八 角 恵美子
資  料 各認定試験取得者による過去−現在−未来
(これから受験する人へのアドバイス)
超音波検査士について 
亀田メディカルセンター臨床検査室 
岩 嶋   誠
施設紹介 君津中央病院 医務局 検査科  



シリーズ
細胞レベルの病理学
26.ファブリ病(Fabry's disease)
千葉社会保険病院 岸 澤   充
千葉県こども病院 中 山   茂
千葉大学大学院医学研究院腫瘍病理学 梅 宮 敏 文

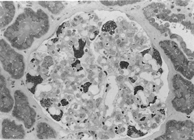
写真−1 トルイジン青染色
写真−2 糸球体上皮細胞のライソゾーム内にオスミウム好性、大小多数の同
心円層状封入を認める。
BM:基底膜 bar=5μm
 ファブリ病(Fabry's disease)は、ライソゾーム酵素の一つであるα-galactosidaseAの欠損または活性低下のために起こる先天性代謝異常でX染色体性伴性劣性遺伝を示す。
 腎を含む多くの組織の細胞質内に、neutral glycosphingolipidsが蓄積し病変を起こす。腎病状では、ヘミ接合体の男性では、20〜30歳代で血尿と軽度の蛋白尿が出現し、50歳代には多くが末期腎不全へ進行する。ヘテロ接合体の女性では、α-galactosidaseAの活性の程度により、無症状のものからヘミ接合体男性と同程度の臨床症状を呈するものまでさまざまであるが、一般にヘミ接合体男性に比較し症状は軽度で、予後も良好である。組織学的には、糸球体の変化が最も顕著であるが、尿細管、血管にも病変はみられる。パラフィン包埋標本では糸球体上皮細胞は腫大し空胞化する。空胞の大きさは小さく一様で上皮細胞は“honey comb”様の所見を示す。しかし、この空胞は電顕ブロックのトルイジン青染色標本では、オスミウム好性を示し細胞質内の顆粒として認める(写真−1)。
 病初期には糸球体はほぼ正常であるが、進行に伴い硬化が進む。電顕的には、細胞のライソゾーム内に大小多数の高電子密度の、タマネギ様の同心円層状封入体(myelin figures)がみられる。この封入体は上皮細胞に最も多くみられ(写真−2)、病初期には糸球体基底膜は正常であるが、病気が進行すると、動脈、細動脈病変に付随し糸球体の肥厚、蛇行が起こってくる。

<<目次欄へ


講  義
「注目すべき感染症」      
  〜肝炎ウイルスの最近の話題〜
アボットジャパン株式会社      
マーケティング部 土 田 貴 彦 

 肝炎ウイルスは表1に示したように、今までにA型〜E型までの5種類の原因ウイルスが同定されてきました。その後、1990年代中頃になってから、非A〜E型肝炎ウイルスとしてGBV-CやHGV、TTVなどの数種のウイルス遺伝子が同定されましたが、その後の種々の疫学的、臨床的評価検討により、肝炎の原因となることもあるが非A〜E型肝炎の主な原因である可能性は低いとされ、肝炎ウイルスとしては位置付けられておりません。
表1 肝炎ウイルスの種類と特徴
 ウイルス肝炎は主に急性肝炎と慢性肝炎(慢性肝炎を初めとする慢性肝疾患)に大別されており、それぞれのウイルスにより一過性の急性肝炎のみを起こすもの、持続性の慢性肝疾患を起こすものなど特徴があります。臨床的に急性肝炎が問題になるのは、一部の症例が劇症肝炎になるA型肝炎、B型肝炎とE型肝炎です。C型の場合は初感染症例が急性肝炎を起こすこともありますが、それよりもHCVの持続感染による慢性肝炎の方が臨床的にも疫学的にも問題となっております。同様にB型肝炎もHBV持続キャリアからの肝炎が慢性化する慢性肝炎の存在が問題となっております。B型とC型の慢性肝炎は、肝硬変、肝細胞癌への進展が知られており、2002年4月より我が国で増えつづける肝癌に対する国家的対策として肝炎検診が開始されました。
 2002年度の厚生労働省肝炎対策研究班の全国国立病院ウイルス肝炎原因別調査研究によれば、散発性急性肝炎の原因の型別頻度は、1980年から2002年までの過去22年間の3643症例のうち、A型が41%、B型が25%、C型が8%、非A非B非C型が25%の頻度でした。
 A型肝炎は、過去22年間の間に2回の大きな発生ピークが認められ、1983年並びに1990年に大きな流行が認められています。2回目の流行以降の十数年間、A型肝炎の大きな流行は認められずに推移しております。それでも毎年一定数の症例が認められており、衛生環境の整備により大きな流行の少なくなったA型肝炎は、高齢者が発症すると重症化、遷延化することも知られており、高齢者の症例を含む大きな流行が懸念されているところです。最近アメリカ南部で発生したA型肝炎の流行と死亡症例の報告などは、我が国でも他人事ではなく受け止めなくてはならない事態であると考えられております。C型肝炎はウイルスが同定され、より精度の高いHCV抗体検査方法の確立した1992年以降若干の減少傾向を認めてはおりますが、それでも僅かながら毎年症例が報告されております。同様にB型肝炎、非A非B非C型肝炎の患者数は1990年代に入ってから若干減少傾向にあると言えますが、むしろここ数年はほぼ一定の頻度となっております。ここ数年の傾向としては、絶対数ではA型肝炎、B型肝炎、非A非B非C型肝炎の患者数はほぼ同等です。C型肝炎の患者数は他の肝炎の約半数程度で、全体的にはA型肝炎が約3割、B型肝炎が約3割、C型肝炎が約1割、非A非B非C型肝炎が約3割という頻度になっております。
 急性肝炎の原因ウイルスとしてはHEVもありますが、従来まで我が国におけるE型肝炎は流行国からの輸入肝炎が主な原因であるとされておりました。1990年代後半になりアメリカやイタリア、ギリシャなどの流行国への渡航者以外にはE型肝炎が存在しないと考えられていた国々から、渡航暦のない肝炎患者症例からの肝炎の原因としてHEVが同定されました。我が国でも同様な研究がなされ、国内の海外渡航暦のない肝炎患者からHEVが同定されました。HEVは現在までに大きく4つの遺伝子型に分類されております。それらの国々から同定されたHEVはE型肝炎流行国から同定された遺伝子型とは異なる遺伝子型であることが判明し、頻度はそう多くないものの流行国のHEVとは遺伝子型の異なるそれらの地域特有のHEVによるE型肝炎の存在が明らかになりました。先の国立病院における非A非B非C型急性肝炎患者のからもE型肝炎が確認され、1990年〜1999年までの10年間の症例からHEVが同定された頻度は1.7%(4/242)であったのに対し、2000年〜2002年までの3年間では7.2%(5/69)の症例からHEVが同定され、我が国にも国内でE型肝炎の存在が明らかにされたこと、その頻度は近年若干増加している傾向が認められたことが報告されました。東芝病院の高橋らにより日本に在住で海外渡航暦のないE型肝炎患者から同定されたHEVについて他の国々から報告されたHEVと比較した分子系統樹を図1に示します。国内のE型肝炎の遺伝子型は流行国のGenotype 1とは異なるGenotype 3とGenotype 4が主である事が判明しました。更に、北海道や東北地方に多く症例が認められていることも報告されております。また、感染経路解明の為の研究から、豚や鹿、猪などから患者から同定されたHEVと極めて遺伝子相同性の高いウイルスが同定され、人畜共通感染症として注目されており、より詳細な研究が行われております。
図1 HEVの分子系統樹と遺伝子型
表2 頻度の高いHBs抗原変異株と各種HBs抗原測定試薬との反応性
 B型肝炎については、近年、A〜Gまでの7種類の遺伝子型が同定され、世界的にみて地域により遺伝子型の分布が違う事が報告されました。我が国のHBVの遺伝子型は、殆どがGenotype Cで一部Genotype Bも存在していることが判明しています。各遺伝子型間の遺伝子の相同性は約80〜90%程度で、遺伝子型の違いにより、病気の進展度合いの違い、治療効果の違い、慢性化率の違いなど、同じHBVであっても病態に違いがあることが解明され、B型肝炎の患者の予後や治療効果などを理解するにも遺伝子型は重要な点であることが判明しています。特に最近、我が国では都市部を中心に新しいGenotype AによるB型急性肝炎が多く報告されはじめており、成人の初感染でも慢性化する頻度の高いこの遺伝子型の広がりは、新たなHBVキャリアの増加を招く事も懸念されており、対策が望まれているところです。我が国では新たなHBVキャリアを防ぐために、1986年より母子感染防止事業がスタートしており、HBV母子感染防止対策として成功裏に推移しております。すなわち、HBs抗原陽性の母親から生まれた子供に対して、HBV感染防御のためにHBVワクチン並びにHBIGの投与を行うことにより新たなHBV持続キャリアの発生を抑えることに成功しております。昨今では、この新しいGenotype AのHBV感染症の増加に伴い、専門家の間では、諸外国でも実施されているHBVのユニバーサルワクチンの実施についても重ねて協議されております。
 HBV感染症の診断はHBs抗原検査によって行われますが、HBVは増幅の過程で逆転写酵素による遺伝子増幅過程を経るため、非常に変異し易いウイルスであることも知られております。HBVの変異と言ってもHBV遺伝子領域のどの部分が変異するかによってその臨床的意義は異なります。特にHBV母子感染防御失敗例から同定されたHBVワクチンエスケープ変異株などは、HBs抗原検査の測定結果に影響を与える事が知られております。Colemanらの報告によれば、種々のHBs抗原変異株をリコンビナント抗原として約1.0ng/mLの濃度に発現させて各HBs抗原測定系における反応性について検討がなされております。表2に論文報告上比較的頻度の高いHBs抗原変異株と各試薬の反応性の成績を示します。HBVワクチンから逃れる形で変異したいわゆるHBVワクチンエスケープ変異株は、HBs抗原の140番代のアミノ酸変異が主ですが、それらのHBs抗原変異株と各試薬の反応性は大きく異なります。HBs抗原の測定系について変異株との反応性を保つためには、測定系に使用する抗体の種類などを吟味する必要があります。免疫学の進歩によりモノクローナル抗体作成技術が開発され、免疫学的測定法は大きく進歩しました。しかしながら、測定対象物がHBs抗原のような変異の多いような場合には、モノクローナル抗体の種類などによっては偽陰性を示す結果が得られており、特にウイルス増殖能が低くなるような変異株では、測定系によってはまったく反応性も認められないこともあり注意が必要です。
 C型肝炎については、我が国の増えつづける肝癌の主な原因として早急な対策が求められている疾病で、2002年度よりHCV抗体とHCV-RNA検査を組み合わせたHCV検査が住民検診に取り入れられはじめました。治療の面でも、C型慢性肝炎に対するインターフェロン治療における保険診療上治療期間の制限の撤廃、コンセンサスインターフェロンやリバビリン併用インターフェロン治療の優先審査など、積極的な国家対策が実施されております。検査の面では、HBs抗原検査に続いて国立感染症研究所によるHCV抗体の再点検も実施され、HCV抗体検査は使用抗原の種類による世代の違いよりもむしろ、それぞれの試薬の特性をよく理解することが重要であるとされております。HCV抗体検査に求められる性能としては、HCV抗体力価をある程度反映するいわゆる半定量的な性能、並びに、HCVセロコンバージョンパネル等を用いたHCV感染初期の早期検出能である感度が重要な性能であると考えられております。
 以上のように我が国のウイルス肝炎の研究は日々の新しい発見と、治療や予防に関する国家的対策が進められており、検査用試薬についても各試薬の性能を十分に理解したうえで選択することが望まれるとともに、試薬メーカーも継続的な試薬性能の向上に努める必要があると考えられます。

<<目次欄へ


研  究
「加齢による免疫能の変遷」   
     Vicissitude of aging on immuno-competence
加 藤 恵 一 

key words:免疫能、加齢変化、シグナル伝達異常、
      老化説、SENIEURプロトコール
はじめに
 近年、我が国においては医学、医療技術の進歩などによって平均寿命が著しく伸長し、世界に類を見ない速さで高齢化が進んでおり出生率の低下と相まって2025年には老年人口(65歳以上)が総人口の27.4%1)になると予想されている。これに伴い、老化をテーマとする健康維持のための種々の方法論や老化のメカニズムそのものに迫ろうとする研究が各方面からなされており、老化と免疫能についても重要な課題となっている。元来、老化とは加齢に基づく身体の生理機能の低下と定義され、その恒常性に重要な働きを示す各機能間での相互作用が不全となり環境変化に関する対応能力の減退した状態としてとらえられている。免疫系でもその例外ではなく加齢に伴って増加する各種の肺炎などでは、呼吸器系の器質的変化に加え、免疫能の変化が大きな因子となっている。
 また、長期の年月により様々なストレスに対する免疫系の適応反応が加齢により低下することが、老齢マウスを使用した実験でも認められている。
2)さらに、老年者ゆえに生じやすい栄養状態の低下、慢性疾患など二次的なものにより、その変化が加速され侵襲に対する適応の幅が減少していることが考えられている。本稿では、加齢による血中免疫グロブリン値、リンパ球数の変動、M-蛋白及び自己抗体の出現頻度をもとにして、加齢と免疫能について文献的考察を記述したい。

T.加齢と血中免疫グロブリン(IgG,M,A)
 ヒト出生時の免疫グロブリンは母体由来のIgGであり、その血中濃度は成人レベルとほぼ等しく生後7日目で成人の約80%に減少し、その後さらに3〜4ヵ月で300mg/dlまで低下した後、漸増し10歳頃に再び成人レベルに達する。IgMは生後7日目に約30mg/dlと成人の約20%となり、6〜7歳頃には成人レベルに達するといわれている。IgAに関しては、出生時10mg/dl以下の低値で、1〜2歳までは約50mg/dl前後と成人の20〜30%となり15歳頃に成人値に達する
3)とされる。加齢に伴う免疫グロブリンの検討は古くから行われており、Makinodanらは、4)加齢と体液性免疫機能の研究としてヒトの抗A赤血球抗体価を測定し、思春期前後に最高値となり40歳代になると約50%になると報告している。生存率の指標となる50%生存月数が12.5ヶ月と短命である老化促進モデルマウス(SAM-P/1)の免疫応答能の検討においても、CD4+/CD8+のリンパ球構成比が加齢により変化し、抗体産生能も他系統マウスに比べて早期に変動するという。5)
 また、IgG、IgAは加齢に伴い変化がないか上昇し、IgMは低下傾向を示すという報告が多い。
6)7)8)B細胞の免疫グロブリン産生を刺激するマイトゲンに対する反応やB細胞を非特異的に刺激するプロテインAを用いた検討でもIgM産生応答は老化によって低下する。9)根来らも10)B細胞の増殖能と免疫グロブリン産生細胞への分化能において老年者ではIgG、IgAクラスの免疫グロブリン産生細胞は若年者より有意に多いとしている。マウスB細胞をリポポリサッカライド(LPS)で刺激した分裂反応でも老化マウスでは軽度ではあるが有意な低下がみられる11)ことなど加齢による変化が認められる。しかし、血清γ-グロブリン値は増加傾向を示す。老年者の蛋白分画ではγ-グロブリンは増加し慢性の炎症型となり肝によるアルブミン合成低下などによりA/G比は減少する。この血清 -グロブリンが加齢に伴って上昇するのは、長い年月に繰り返し抗原に接することなどの無数の抗原に対する2次抗体産生の集積を表していると推察されている。また、経口トレランス(oral tolerance)の面からも加齢と共に免疫能の変化が報告されている。本来、経口トレランスは抗原物質が経口的に腸管内に入るとその後の同抗原に対する免疫応答が低下し抗体産生が抑制される12)ことであるが、加齢により経口トレランスの誘導も減弱になるといわれている。免疫進化論的にも非自己である様々な食物を摂取するようになり、これらを受け入れ生体維持のためにこの機能を獲得してきた一面がある。若林らは、13)C57BL/6老齢及び若齢マウスを用いた経口免疫寛容の実験では、若齢マウスにおいては免疫寛容が誘導されるが老齢マウスでは誘導されず、逆に抗体産生能の上昇を認めている。この様な加齢による免疫制御システムの変化やB細胞の免疫グロブリン産生細胞への最終分化段階においての変化9)が血中免疫グロブリン値に反映しているものと推察される。

U.加齢と末梢リンパ球
 脊椎動物の生体防御機構としての免疫系は、自然免疫系と獲得免疫系に大別される。
14)顆粒白血球やマクロファージが中心となる自然免疫系は病原微生物等の種類にかかわらず広範囲に作用する。これは個体の誕生と共に早くから機能し加齢による変化は少ない。これに対してリンパ球を主体とする獲得免疫系は、侵入する微生物等により異なったクローンが存在し抗原特異的に対応する。この獲得免疫系を司る血中リンパ球は、老年者において減少することがいわれ、岸本らは、15)20歳代でリンパ球数の最高値に達し、その後漸次減少すること、また10歳から80歳代の健常者約300名について60歳を境にして2群に分類し、その平均値が前者2043/mm3、後者1659/mm3となり有意差があることを示した。この減少は、T細胞・B細胞の両方に認められるが特にT細胞に著明であり80%前後であるのに比し、B細胞の減少率は約10%前後といわれ、分化した免疫グロブリン産生B細胞数とともに大きな変動は見られない。これは、胸腺の免疫機能がT細胞を分化増殖させ自己・非自己を認識する能力を持たせ、末梢に供給させることであり、胸腺が加齢により退縮することによるT細胞の減少であるのに対し、B細胞の変動が少ないのは常に骨髄より供給され続けるためである。このように、T細胞において、その数は加齢と共に減少し、17)サブセットの比率の変化を生じ、各種マイトゲンに対する反応18)、白血球混合培養法におけるT細胞増殖反応の減弱が示されている。B細胞の加齢による免疫グロブリン産生細胞への分化段階での障害や異物を攻撃するCD4+CD25-T細胞の機能低下、19)さらにはT細胞レセプター(TCR)を介しての抗原刺激におけるT細胞内のチロシンキナーゼからフォスフォリパーゼC,セカンドメッセンジャーに至るカスケード様のシグナル伝達異常20)あるいは、T細胞(CD4+)のなかにみられるTCR遺伝子の突然変異体数の増加21)などリンパ球の量的変化だけでなく質的な加齢による変化が報告されている。

V.加齢とM-蛋白
 老年者の血清蛋白分画は、α1、α2-グロブリン及びγ-グロブリン分画の上昇を示し基本的には炎症型となる。この事は、加齢による蓄積された感染等と共にその背景に完全に治癒しない疾患を抱えていることをうかがわせる。この免疫グロブリン異常としてM-蛋白がある。M-蛋白は、1個の母細胞より生じた免疫グロブリン産生細胞クローンが制御機構を超えて増加しその結果、血中、尿中に出現する単クローン性免疫グロブリンである。
22)健常者の血清中にM-蛋白が広く認められるようになったのはAxelssonらの23)検討からである。それによると、25歳以上の6995人のうちM-蛋白を検出した64人の年齢をみると加齢により出現率が上昇し、60歳代では2%、70歳以上では2.5%と報告している。本邦においても、畔柳らが24)70歳以上では1.8%、大橋らも25)65歳以上の出現率は1.6%、70歳代では1.9%となり60歳代からの老年者のM-蛋白の出現頻度が上昇するという報告が多い。加齢につれて出現するM-蛋白は良性M-蛋白血症の特徴を示し、そのうちIgG型が多く、加齢により血中IgGが増加することと一致している。遺伝的な要因に加え、老年者ではB細胞・T細胞のシグナル伝達異常などの内在性変化や慢性の感染等による長期間の持続的抗原刺激からM-蛋白クローンの増殖がおこり出現するものと思われる。

W.加齢と自己抗体

 免疫系の加齢現象として従来より指摘されている一つに自己抗体の出現がある。老年者の血中には、RFやANAなどの含有率が高いことは以前より報告されている。
26)27)28)このような自己抗体産生頻度、あるいは加齢マウスに対しての実験的免疫寛容の導入に対する抵抗性の増加は、加齢に伴う免疫能の低下とは一見拮抗する形をとる。Manoussakisらは、29)平均81歳の老年者の血中自己抗体保有率を測定し、RFは14%、ANAは31%、sDNA抗体17%、wDNA抗体14%、抗カルジオリピン抗体は50%の人に検出されたと報告している。老年者には、神経疾患や血管障害が多く、これら疾患に抗カルジオリピン抗体の関与がいわれている。Youinouらも30)加齢により自己抗体の出現率が増加することを示し、すべての自己抗体が一律に増加するのではなく臓器非特異的な抗体の上昇を記述している。しかし、これらの所見が必ずしも臨床的症状と相関が見られないことから、加齢に伴う免疫学的変化の一部と考えられている。Carsonらによって、31)臍帯B細胞での非特異的刺激によるRF産生が報告されており、RFの遺伝子は発生段階で非特異的に発現しているという。また、Dighieroらも、32)6日齢マウスの脾細胞とミエローマを融合させた時に自己抗体産生クローンが得られるとの報告があり、自己抗体産生能は個体発生と共に備わっているものと思われる。健常人にも抗体価は低いが自己成分に対する抗体が検出され、このような自己免疫現象は体内で絶えず生じており、自己成分ではあるが構造が変化した癌細胞、老化細胞の除去に必要不可欠なものであるとも考えられている。33)変性IgGに対する自己抗体と考えられるRFは、むしろ適量ならば正常の免疫防御機構の結果として生じた微量の変性IgGを持続的に除去するのに役立っているものと推察されている。34)さらに、Irunらは、35)自己抗体について交差反応性によって自己抗体を誘発する可能性のある外来抗原を防ぐ働きを考慮している。この様に、免疫系が非自己をすべて排除するのではなく自己に対する反応性というものを秘めており、ある程度の自己に対する免疫は生命維持に必要であり、自己抗原に対してはその発現量とトレランスの成立で自己抗体産生などが抑えられコントロールされると考えられるが、加齢により胸腺退縮によるT細胞数の減少、サプレッサーT細胞の機能低下などT細胞亜集団のバランスが変動することやサイトカインおよびそのレセプターなどが複雑に絡み合って自己抗体産生へ傾くものと考えられる。

X.考  案
 加齢による免疫能の変遷について文献的考察を試みた。老化というメカニズムは、生物として必須のプロセスであり生理的退行変化として、とらえられている。それ故、免疫機能も加齢に伴って当然の如く低下してゆくことが予想される。これはT細胞、B細胞の量的、質的変化によるところが大であるが、その主たるものは胸腺退縮に伴うT細胞に依存する細胞性免疫及びB細胞が抗体産生する際のT細胞の関与であろう。加齢に伴う免疫グロブリンの変動は、IgMは減少、IgGの上昇という報告が多い。このことは長期間での外部刺激などによるIgGへのクラススイッチやIgMの感染初期への対応がしにくくなっていることをうかがわせる。B細胞が最終的に抗体を産生する液性免疫では、自己抗原とは反応しない免疫学的寛容から生涯を通しての外部からの抗原に対するものまで極めて多様なる認識を示す。B細胞が活性化される場合、B細胞抗原受容体(BCR)より、B細胞の分化、増殖に対して抑制的にあるいは増強作用を含めて制御するシグナルを伝達することにより、実施される。この抗体産生とトレランスの均衡はBCRを介するシグナルの閾値によって規定されるという(シグナル閾値仮説threshold hypothesis)。
36)閾値を低く設定する抑制性の反応制御分子であるCD22では加齢と共に抗2本鎖DNAや抗カルジオリピン抗体などの自己抗体が産生されるという報告がある。37)このようにシグナル閾値が加齢と共に破綻して生理的に適正な設定がされにくくなることにより抗体産生がバランス失調性に傾く一因と考えられる。M-タンパクの加齢による出現率の増加も老年者ゆえの長期に渡る多種あるいは繰り返す同種の免疫応答の末に、増加したモノクローナルな抗体を生じるなど抗体産生システムに変化を来たすものと思われる。
 老化にはプログラム説やエラー説など様々な説が唱えられているが、免疫学的見地からでは、Walfordが自己免疫説を提唱し、その中で誕生してから長い期間の生物環境により多数の抗原刺激を受け遺伝子のコピーエラーや体細胞の変異などにより組織細胞抗原が変化して自己と認識されず、それに対する免疫反応が成立し、老化が促進するとして自己免疫が老化の過程に関与するとした。
38)自己抗体は、その測定検出精度の向上などから内在するものと考えられてきた。このような自己抗体は加齢と共に保有率は上昇し免疫機能の変化によりトレランスがくずれ、それまで抑えられていた自己抗体や自己障害性細胞が出現し疾患へと発展する可能性が大きくなる。このことは、機能的にT細胞を分類するTh-1(IL-2を産生し、T細胞増殖)及びTh-2(IL-4,5,6を産生しB細胞の増殖に関与)が加齢によりTh-1減少、Th2増加となり、Th-1/Th-2が変動することや、39)ポリクローナルなB細胞の活性化、サプレッサーT細胞機能の低下など、どれも自己免疫疾患の根底となるものが加齢により生じてくること40)からも見てとれる。
 老化とは、このような易疾患性の状態にあるとも言える。Richard Patin,Y.らは
41)自己抗体の出現は寿命短縮の免疫系マーカーとなりうると報告している。網野らも42)血中に自己抗体のみが存在し臨床症状がない場合、潜在的な自己免疫疾患の可能性を提唱している。このように臨床的には症状を呈さない生理的と考えられている自己抗体と臨床所見を伴う自己抗体との意義付けも今後の課題の一つと言えよう。
 老年者の疾患は個人差が大きく、ともすれば疾患そのものを加齢変化として捉えてしまう場合がある。そこで老人学(Gerontology)の分野において老化と免疫についても研究対象として生化学的、臨床的に厳密なる健康老年者を選択するというSENIEURプロトコール
43)が提唱され、老年者特有の状態を理解することが重要とされている。加齢によりT細胞数の減少がみられ、キラーT細胞数の比率及びNK細胞の機能も低下するが、80〜90歳代でもその機能は保たれており、44)100歳を越える超高齢者では遺伝的なものに加えて比較的免疫能が維持されているという報告もある。45)また、加齢と共にT細胞分化の場が骨髄を主とする胸腺外のリンパ組織へと移行してゆくこと46)などがいわれており、そこには老年者独特の恒常性維持のための神経系、内分泌系との関連を含めた免疫機能が存在することが推察される。
おわりに
 ヒトは、理想的な環境で疾患もないといった場合の最大寿命は、120歳位といわれている。さらに、集団の中で長寿を維持しうる約3%前後のヒトの平均寿命は100歳を超えるとされ、これを事実上の最大寿命(Practical maximum lifespan;PMLS)と呼び、47)将来的にもより以上の長寿者の増加が予想されている。このように我々は、かつて経験したことのない高齢化社会を目の前にして加齢に伴う免疫機能変化のメカニズムを知ることは高齢者特有の様々な疾患の治療に必要であるだけでなく、免疫機能を回復させる方法の開発や、老化制御の可能性など、高齢者が健康な生活を送りたいと願う上で欠かせない社会的な要請に合致するものであると考えられる。
文  献
1)厚生統計協会編:国民衛生の動向・厚生の指標、48:39,2001
2)小山康正,他:基礎老化研究,16:188-189,1992
3)大津 真,崎山幸雄:小児内科,30:299-303,1998
4)Makinodan,T.,etal:J.Immunol.,93:886-896, 1964
5)李 美於,他:基礎老化研究,16:184-185,1992
6)Haferkamp,o.,etal:Gerontalogia,12:30-38, 1996
7)Kisimoto,s.,etal:J.Immunol.,121:1773-1780, 1978
8)青木紀生:臨床病理,24:770-776,1981
9)Ennist,D.L.,etal:J.Immunol.,136:99-105, 1986
10)根来 茂:基礎老化研究,16:51-55,1992
11)Callard,R.E.,etal:Cell.Immunol.,31:26-36, 1977
12)八村敏志,上野川修一:臨床免疫,27:1-7,1995
13)若林あや子,他:基礎老化研究,20:66,1997
14)川畑俊一郎:蛋白質・核酸・酵素,45:679-689, 2000
15)岸本 進,冨野新八郎:臨床免疫,11:734-741, 1979
16)金井 泉,金井正光(編):臨床検査法提要,31基準範囲一覧:18,金原出版,1998
17)Ernst,D.N.,etal:J.Immunol.,145:1295-1302, 1990
18)Adler,W.H.,etal:J.Immunol.,107:1357-1362, 1971
19)清水 淳,森泉栄子:基礎老化研究,26:74,2002
20)広川勝G:遺伝 別冊7:65-74,1995
21)Kyoizumi,S.,etal:J.Exp.Med.,171:1981-1999, 1990
22)宮川宣之,他:臨床病理,25:835-845,1982
23)Axelsson,U.,etal:Acta.Med.Scandinav.,179:235-247,1966
24)畔柳武雄,他:日老医学会誌,9:226-230,1972
25)大橋 晃,他:臨床病理,22:178,1974
26)Hooper,B.,etal:Clin.Exp.Immunolo.,12:79-89,1972
27)Hallgren,H.M.,etal:J.Immunol,111:1101-1107, 1973
28)加藤恵一:都臨技会誌,13:1-4,1984
29)Manoussakis,M.N.,etal:Clin.Exp.Immunol.,69:557-565,1987
30)Youinou,P.,etal:J.Clin.Lab.Immunol.,21:107-111,1986
31)Carson,D.A.,etal:J.Clin.Invest.,87:379-383, 1991
32)Dighiero,G.,etal:J.Immunol.,134:765-771,1985
33) 桑名正隆:組織培養工学,26:102-106,2000
34) 河合 忠:臨床検査,41:489-490,1997
35) Irun,R.,Anne,C.,:Immunolgy,Today,7:363-364,1986
36) Goodnow,C.C.,:Proc.Natl.Acad.sci.USA,93:2264-2271,1996
37) Okeefe,T.L.,etal:J.Exp.Med.,189:1307-1313,1999
38) 那須宗一(監)葛谷文男:老年学辞典,第1刷:6,78,ミネルヴァ書房,1989
39) 大楠晃三,磯部健一:基礎老化研究,20:64,1997
40) 武井正美,澤田滋正:Medical,Technology,18:540-547,1990
41) Richard,Y.,etal:Med.Hypothesis,44:10-15,1995
42) 網野信行,他:臨床検査,44:422-430,2000
43) Lighart,G.J.,etal:Mech.Aging.Dev.,28:47-55,1984
44) Levy,S.M.,:Nat.Cell.Growth.Regul.,10:289-307,1991
45)園田 啓:日本免疫学会学術集会,18:703,1988
46) Globerson,A.E.,:Immunology,Today,21:515-521,2000
47) 美濃 貢:Bioscience Series,老化,第1版:132,化学同人、1985

Abstract

 Vicissitude of aging on immuno-competence

KEIICHI KATO

An attempt was made to reference-consideration of the aging and the change of immuno-response based on immunogulobulin concentration,number of the lymphocytes, M-protein and auto-immunoantibody. It follows on aging,the number of the lymphocytes decreases, IgM concentration decline and IgG shows an increase tendency. The frequency of appearance of M-protein and auto-immunoantibody rises. These things are produced fromprolonged infection or disease experience,collapse of the tolerance at the time of the produced from antibody,and quantitative and qualitative change of the lymphocyte it self. In addition,it is generated fromproduct change of the accompanying cytokines. Furthermore, recognition of immunological-self and not-self come to decline. As for the person who chose from the senior-protocol, and the long-lived man, immunoability is maintained comparatively. It seem so the old age person has characteristic of immunity exist there. It conclusion, it dedicate to this thesis to the dear father-in-law (Junji Yokota) who was dead onApril 12, 2003.

<<目次欄へ


資  料
各認定試験取得者による過去−現在−未来(これから受験する人へのアドバイス)

認定輸血検査技師
浦安市川市民病院 診療協力部   
検査科 富 山 純 子 

 認定輸血検査技師試験(以下、認定試験)を受験するためには、

 ・臨床検査技師であること
 ・いずれかに通算3年以上所属している事
   日本輸血学会    日本臨床衛生検査技師会    日本病理学会
 ・輸血検査歴3以上、その他の検査歴を含めて5年以上の業務経歴があること
 ・学術論文、学会発表、勉強会参加により、日本輸血学会が認めた単位を5年以内に50単位以上取得している事

 これらの条件を満たしていなくてはなりません。領収書や参加証明書はコピーでもいいので必ず保管しておいて下さい。受験にあたり、申請料15,000円、研修料20,000円、試験料8,000円、合格したら登録料に20,000円が必要です。受験申請から受験までには1年程かかり、その中に病院実習(2日間)、血液センター研修(1日間)、合同研修会(2日間)が含まれます。合同研修会では、講義を聴いたり症例問題をグループに分かれて話し合い、その結果を全員で討論します。ここで知り合った人と連絡を取り合って情報を交換する、よい出会いの場だと思います。試験は2時間の筆記試験と、1コマ75〜85分の実技試験が3コマで、2日間に渡り行われます。私が受験した昨年の実技試験は血液型、カラム法の判定、自己抗体解離・同定でした。結果を正しく出す事以外に、検査手順、手技、何かあった場合に担当医へどうコメントするか、追加試験に何をするかも問われます。手技は自己流になりがちなので、黒本(輸血検査の実際 改定第3版)を見ながらもう一度確認してみると良いと思います。筆記試験は問題数が膨大で、私が受けた年はA4用紙に15枚位だったと思います。認定試験で問われるのは知識だけではなく、その知識を応用して、いかに臨床に役立つデータを与えられるか、とっさに適合血を判断できるか、医師へ適切なアドバイスが出来るか、適正輸血に役立てる事が出来るかだと思います。
 県内の認定輸血検査技師(以下、認定技師)38名の方に送付し、28名から回答を得たアンケート(回収率73.7%)を集計すると、県内の認定技師は30才代から40才代の方がほとんどで、男女比はほぼ半々でした。認定試験の受験動機は自ら受験しようと思った方がほとんど(89%)で、受験費用に関しては全て自分で払ったと答えた方がほとんど(85%)でした。認定技師になって「医師に意見が言いやすくなった」、「輸血検査が病院全体の取り組みになった」、「業務上の変化は無くても、自己の自信に繋がり、自信を持って医師の質問に答えたり、意見する事が出来るようになった」という前向きな意見もありましたが、「認定試験を受験するためには費用もかかるし、合格しても待遇や業務上の変化は望めない」という否定的な意見が多くみられました。しかし、後輩にもこの資格取得を勧めたい(89%)、資格の更新はする予定である(86%)、と答えた方がほとんどでした。これらの結果は認定を取った多くの方が知識や技術を身に付け、それが自己の自信になっている事、他の人から質問された時に自信を持って回答できること、チーム医療の一員を担っているという仕事への充実感を得ている、ということだと思います。認定技師は病院にとっても大きな財産ですし、認定技師が活躍していく事は患者様への安全な輸血医療の提供へと繋がるものと考えています。
 認定試験を通して認定技師に求められている事は、
 ・常に新しいものへの学習意欲があること
 ・検査室だけではなく、チーム医療に参画出来ること
 ・患者様や医師に輸血療法を説明できること
 ・後輩の育成・教育が出来ること
 ・現場で頑張っていること
だと思います。認定試験に合格したからこれが出来るのではなく、これらを実行できる人が認定技師になれるのではないでしょうか?

実技試験の注意点(日本輸血学会雑誌 第48巻 第3号 2002年3月より)
実技試験採点基準(減点方式、各検体毎に評価)
1)血液型判定
 大減点(−20〜−50)
   患者氏名の書き間違え、受験番号の記入ミス、血液型判定の誤り
 中等度減点(−10〜−15)
   オモテ試験のみで血液型判定、輸血可能な血液型を正しく選択できない、Mix fieldを追加試験なしで亜型と判定
 小減点(−3〜−5)
   抗体保有者への適合血選択不十分、Mix fieldが判定できない、Mix fieldに対する追加試験を記述できない、オモテ・ウラ不一致検体のコメントが不十分、試験管やスライドに識別標記をしない、試験管に先に血球を入れる、再検を行わない、スライド法で2分以内に判定しない、遠心機回転数の誤選択
 微小減点(−1〜−2)
   血球洗浄をしない、血球濃度が不適正、試薬・検定の滴下数を指示書に従わない、試薬・検体を混和しない、試験管の振り方が不適切、判定時の観察  を1本ずつ行う、判定毎に結果記入をしない、スライド法で+と−しか記入しない、Mix field検体で前医に輸血の問合せをしない
2)赤血球抗体解離同定試験
 大減点(−20〜−40)
   受験番号・氏名の記入忘れ、選択患者の間違え
 中等度減点(−10〜−15)
   最も疑われる抗体の不正解、否定できない抗体の不正解
 小減点(−3〜−5)
   患者氏名の記載ミス(誤字・脱字を含む)、凝集の強度を正しく判定できない、+を−と判定、−を+と判定、判定保留・判定不能、溶血が無いのに溶血あり、不要なコメントの記載、凝集パターンの誤り、IgG感作血球の結果を記入しない、疑われる抗体に過不足
 微小減点(−1〜−2)
  試験管に患者識別をしない、洗浄時の生食量(検体の8倍程度)が不適切、洗浄噴射ビンを管壁に接触、洗浄時の混和不足、洗浄回数(3回)の不足、最終洗浄後の生食液除去不足、抗グロブリン試薬後の混和を省略、IgG感作血球による確認試験の省略、注意不足で血球が飛散、パネル血球分注前に番号を記入しない、パネル血球を使用前に均一な浮遊液にしない、操作手順書に従わない、試薬や器具を与えられた数量で完了できない、設問内容や操作法を手順書で理解できない

<<目次欄へ


資  料
各認定試験取得者による過去−現在−未来(これから受験する人へのアドバイス)

認定臨床微生物検査技師制度−これからの展望
千葉県済生会習志野病院 検査科 
丸 山 英 行 

 平成13年10月に第1回認定臨床微生物検査技師制度過渡的特例措置指定講習会および認定試験が行われ、本年10月には第3回目の指定講習会および認定試験が行われ過渡的特例措置期間が終了した。構想からおよそ10年かかった認定制度はようやくその基盤を作り上げたといえる。来年度より本格的に稼動する認定臨床微生物検査技師制度について述べてみたい。
 認定臨床微生物検査技師制度は「臨床微生物学と感染症検査法の進歩に呼応し、臨床検査の健全な発展普及を促し、有能な技師の育成を図り、より良質な医療を国民に提供することを目的とする」と定義されており、この目的に沿って感染症検査のスペシャリストを養成し認定することとなる。本施行を前に3年間の過渡的措置期間が設けられ認定試験が行われた。

T.受験資格
 過渡的措置期間における受験資格は以下のとおりであった。
 1)日本国の臨床検査技師免許を有し、認定臨床微生物検査技師として相応しい人格および臨床検査全般にわたる広い見識を備えていること。
 2)申請までの期間中、5年以上継続して日本臨床微生物学会会員であること
 3)所属長および3団体役員(日本臨床微生物学会評議委員、日本臨床病理学会評議委員、日本臨床衛生検査技師会都道府県技師会長)のうち1名、     合計2名推薦を得ること。
 4)臨床微生物学に関する論文発表(筆頭者でなくともよい)が2編以上、および筆頭者としての学会発表3演題以上あること。なお、学会、雑誌に関しては   施行細則1に定める。
 5)申請までの期間中、継続して5年以上、断続的には7年以上の臨床微生物検査の実務を担当していること。但し、申請時に臨床微生物検査の実務を担   当していること。
 6)日本臨床病理同学院の認定する一級または二級臨床病理技術士(微生物学)の資格または2団体(日本臨床微生物学会、日本臨床衛生検査技師会   )主催の技術講習会(細則2)修了者
 来年度からの本施行では受験資格は以下のとおりである。
 1)日本国の臨床検査技師免許を有し、認定臨床微生物検査技師として相応しい人格および臨床検査全般にわたる広い見識を備えていること。
 2)臨床微生物学検査(感染症検査)に関する基本的な技術を有すること。
 3)この規則により認定された認定研修施設において、協議会の定めた教育目標を遵守した研修を5年以上の期間にわたって行っていること。但し、認定    研修施設に勤務していない申請者は別途考慮する。
 4)臨床微生物学に関する筆頭者としての学会発表3回以上および論文発表が3編以上(1編は筆頭者)あること。なお、学会、雑誌に関しては施行細則1   に定める。
 過渡的措置の受験資格と大きく異なる点は、@日本臨床微生物学会会員歴は問わない、A推薦者は不要、B論文発表は3編以上でそのうち1編は筆頭者であること、C認定研修施設で5年以上の研修を行っている(救済措置あり)ことである。このうちBの論文に関しては難しすぎるとの意見も協議会内で出されたようであるが、本制度の掲げる教育目標の一つに「臨床微生物学の分野での研究能力を育成し、将来的に後輩技師や他の医療従事者に対しても研究指導ができる」があり、論文を書いたことのない認定技師に論文作成指導は難しいのではとの観点から加えられた。Cの認定施設は現段階ではまだ実質稼動していないといえる。そのため来年からの受験者に対しては何らかの救済措置が提示されると思うが現時点ではまだ情報がない。認定施設の考え方は認定技師受験にあたり一過性の研修を行うことではなく、認定を受けた施設において責任をもって認定技師を育成すること目的としている。即ち、最終的には全国にある微生物(感染症)検査室に最低でも一人以上の認定技師を育成して認定施とし、その施設において次の認定技師を育成するシステムを構築することと個人的には理解している。しかしながら最終目標に到達するにはまだ時間がかかるであろうし、施設が認定の基準を満たせない場合もあるため、認定施設に関してはまだ検討段階であることは否めない。

U.指定講習・認定試験

 1)指定講習会
   指定講習会は認定試験前日に以下の内容で実施された。
   ―認定臨床微生物検査技師に求められる技能と役割―
  @感染症診断の進め方
  A主要感染症の原因微生物:統計情報をもとに
  B病原微生物検査の進め方
  C薬剤感受性検査法:薬剤耐性菌検出における検査上の注意点
  D抗菌薬の体内動態と副作用
  E病院(院内)感染対策における実践的役割
  F認定臨床微生物検査技師が目指すもの(討論会)
   来年度からの指定講習会については開催も含めて未定となっている。講習会自体は大変有意義であり今後も認定試験前、更新時などの開催を強く希  望する次第である。
 2)認定試験
   認定試験は、筆記試験および実技試験が実施された。
  @筆記試験
   「認定臨床微生物検査技師制度指定カリキュラム」の内容を中心に出題
(50問程度)
   ブループリント(出題範囲と出題割合)を事前に公表
  A実技試験
   1)塗抹検査(グラム染色標本の観察と判定)
   2)釣菌と分離培養および主要病原菌の推定
   3)抗菌薬の選択(患者情報と推定菌に基づいた抗菌薬の選択)および薬剤感受性結果の判定、代表的な耐性菌(MRSA,ESBLなど)の推定
   4)その他

 以上、認定臨床微生物検査技師制度の受験に関わる概略である。新たに認定技師を目指す技師の方々の参考になれば幸いである。この他、合格後の登録、更新、認定研修施設等の詳細は紙面の都合上割愛させていただいた。
 「認定技師になったらどうなるの?」「認定技師になって何をするの?」という質問がよく投げかけられる。これらの問いに対する明確な答えは今のところまだない。微生物以外の認定制度に関しても、多くの先達が地道な努力を重ねてきたからこそ、明確な役割が確立し実績と信頼を得たのであって、立ち上がったばかりの認定制度は今後の活動如何にかかっていると言える。少なくとも、現在の臨床の現場にあって感染症の専門医が少ない現状では、患者の治療や病院(院内)感染、耐性菌の検出、疫学的情報など、臨床を確実にサポートできる体制を作り上げていくことが必要であろう。私個人としては1)感染症検査責任者として地位が確立すること、2)後輩の指導はもちろん施設内の感染症検査の構築と実践教育を担うこと、3)これらに伴う責任を負い社会的に認知されることであり、最後にささやかな願いとして、それ相当の手当や基本給がアップされることを願っている。米国などにおいてはライセンスを獲る事によって生活の基盤が保障される明確なシステムが存在する。認定制度においても個人的な向上心のみによって支え続けるだけではなく、努力することによって生活の基盤が保障されていくということも今後は必要であると個人的には考える。しかし「臨床検体は臨床検査技師によって検査されなければならない」という法律すらない現状では難しい事かもしれない。今後、これらの基本的な臨床検査技師の根幹に関わる問題も含めて、認定臨床微生物検査技師の役割は重要であると考える。

<<目次欄へ


資  料
各認定試験取得者による過去−現在−未来(これから受験する人へのアドバイス)

認定血液検査技師制度について
千葉大学医学部附属病院検査部 
大 山 正 之 

目 的
血液検査分野における高度の学識と技術を有する臨床検査技師の育成を図り、より良質な医療を国民に提供することを目的としてこの制度を導入する。
【受験申請資格】
 次の各項の全てを満たしていなければならない。
1. 臨床検査技師とする。
2.申請時において、原則として現在および通算して3年以上日本検査血液学会、日本臨床衛生検査技師会、日本臨床検査医学会、日本血液学会、日本   臨床血液学会、日本血栓止血学会のいずれかの会員であること。ただし、認定時には日本検査血液学会の会員であることを必要とする。
3.申請時で臨床検査技師免許取得後、血液検査歴3年、他の臨床検査歴も含めて5年以上の検査業務経験を必要とする。
4.学術論文、学会発表等の業務発表、学会、研修会参加、血液検査に関連した各種学会、講演会、研修会での活動による認定血液検査技師申請の資格  審査基準に必要な50単位を取得していること。

資格審査基準単位表

   筆頭 共(著)同 備考
論文 20 10 検査血液学に限る
学会発表 10 5 研修会等講師を含む

   全国 地方    
学会、研修会参加 10 5    
学会主催教育活動 10 5 血液検査学関連の委員等
臨床検査技師学校での教育 5    血液検査学関連の教科


  * 論文、学会、研修会の内容は検査血液学関連に限る。
  * 論文は、医学中央雑誌、INDEXMEDICUS、MEDLINEに掲載されたもの。
 補遺
  * 学会、研修会発表、参加の範囲は協議会参加の6学会とする。
  * 学会主催教育活動は1学会1役職とし、学会毎に評価する。
  * 技師学校での教育は、実習担当も可とする。教科、学校数に限らず1回の評価とする。
出題基準
1.筆記試験はカリキュラム委員会で定められたカリキュラム内容にしたがう。
2.実技試験は下記の行動目標を達成していることを問う。
 1)一般的な血液疾患、血液検査室で遭遇する疾患(カリキュラムのランクA)について、末梢血、骨髄、リンパ節の形態から簡単な臨床所見を参考に所見  の判定ができ、追加検査の選択・検査室内指示、その結果の評価・解釈(カリキュラムのランクA)およその形態診断、主治医への報告ができる。
    末梢血の形態検査では、塗抹標本での形態(白血球、赤血球、血小板)をスクリーニングし、血球算定を参考として異常病態の拾い上げとその後の検    査室としての適切な対応ができる。骨髄の形態検査では塗抹標本での細胞形態判定、さらに特殊染色、染色体検査や細胞表面マーカーの結果を適    切に解釈し、およその形態診断、主治医への報告ができる。リンパ節の形態検査では捺印標本での細胞形態判断と細胞表面マーカーの解釈ができ    る。
 2) 採血、出血時間、血小板・凝固線溶検査、血液特殊検査の検査実施(カリキュラムのランクA)について、適切な作業手順、手技を理解し、不適切な操     作による検査値への影響を回避できる。
 3)末梢血、凝固検査の検査結果リストから人為的異常値(サンプリング、測定)、異常検体を抽出でき、その原因の推定、適切な再検査・追加検査の実施    ができる。
3.口頭試問は自施設での血液検査の現状と取り組み(精度管理、情報管理、検査適正化、事故防止、問い合わせ対応など)を問う。
認定血液検査技師の技術に関するカルキュラム
T 血液検査の基礎知識        (ランク)
 1.血液医学概論             【B】
    血液医学の歴史
 2.血液検査の基礎知識        【A】
    血液の成分、血液の性状、血液の機能、血球の生成と崩壊
U 血液検査に必要な専門的知識
 1.血球                   【A】
    赤血球、白血球、血小板、血液細胞抗原検査
 2.止血機構                【A】
    血管、血小板、止血
 3.凝固・線溶系
    A 血液凝固と制御機構      【A】
    B 線溶と制御機構         【A】
    C 凝固-線溶系の分子マーカー
     1 凝固系分子マーカー     【A】
        SFMC、TAT、PFl+2、FPA
     2 線溶系分子マーカー
      a.FDP                【A】
      b.D-dimer              【A】
      c.PIC                 【A】
      d.PAI-1               【B】
      e.t-PA・PAI-1複合体      【B】
      f.t-PA               【B】
      g.u-PA               【B】
      h.B フラグメント         【B】
V 検体の採取と保存
 1.採血法と保存法             【A】
    採血法、保存法、事故の防止対策
W 血液検査法
 1.血球に関する検査
    A 血球計数法
     1 用手法
      a.赤血球数            【A】
      b.白血球数            【A】
      c.血小板数            【A】
      d.ヘモグロビン濃度       【A】
      e.ヘマトクリット値         【A】
      f.赤血球指数            【A】
      g.網赤血球数            【A】
      h.好酸球数             【B】
      i.好塩基球数            【B】
     2 自動血球測定法        【A】
    B 赤血球沈降速度         【A】
    C 溶血の検査
      a.赤血球抵抗試験        【A】
      b.PNHに関する検査      【A】
      c.血球酵素活性         【C】
      d.異常ヘモグロビンに関する検査
                          【B】
      e.赤血球寿命           【C】
      f.血清ハプトグロビン濃度  【B】
    D 鉄代謝               【B】
       血清鉄と鉄結合能、フェロカイ
       ネティクス
 2.形態に関する検査
    A 末梢血液標本の作製法    【A】
    B 骨髄標本の作製法       【A】
    C リンパ節標本の作製法    【A】
    D 染色法
     1 普通染色            【A】
     2 特殊染色
      a.ペルオキシダーゼ染色   【A】
      b.アルカリホスファターゼ染色
                         【A】
      c.エステラーゼ染色     【A】
      d.多糖類染色(PAS染色)   【A】
      e.鉄染色              【A】
      f.脂肪染色(SBB染色)      【A】
      g. グルクロニダーゼ      【B】
      h.ハインツ小体          【B】
      i.酸ホスファターゼ        【B】
      j.免疫組織化学染色       【B】
    E 末梢血液像の観察       【A】
    F 骨髄像の観察          【A】
    G リンパ節標本の観察      【A】
    H 白血球機能検査        【B】
 3.止血検査
    A 止血機能検査装置       【A】
    B 凝固・線溶の検査       【A】
    C 凝固・線溶阻止物質の検査
     1 凝固阻止物質の検査
      a.アンチトロンビン       【A】
      b.プロテインC           【A】
      c.プロテインS           【A】
      d.ヘパリン             【B】
      e.ヘパリンコファクター     【C】
      f.抗イ因子抗体          【B】
      g.ループスアンチコアグラント
                         【A】
     2 線溶阻止物質の検査
      a.プラスミンインヒビター   【B】
      b.プラスミノゲンアクチベータ・
       インヒビター(PAl)       【B】
    D 血小板に関する検査
     1 血小板機能検査
      a.血小板粘着能        【A】
      b.血小板凝集能        【A】
      c.血餅収縮能          【A】
      d.血小板第3因子能      【B】
      e.血小板放出能        【B】
 4.フローサイトメトリー(細胞表面マーカー)
    A CD分類              【A】
    B リンパ球サブセット検査   【A】
    C 造血幹細胞同定        【A】
 5.遺伝子・染色体検査
    A 染色体検査
     1 染色体の構造と機能    【A】
     2 細胞培養法          【A】
     3 標本作製法          【A】
     4 分染法
      a.Qバンド             【A】
      b.Gバンド             【A】
      c.Rバンド             【B】
      d.Cバンド             【B】
      e.NOR法              【B】
      f.高精度染色体分染法    【B】
     5 核型分析            【B】
     6 蛍光insituハイブリダイゼー ション法(FISH法)     
                         【B】
    B 遺伝子検査
     1 赤血球系            【B】
     2 白血球系            【A】
     3 血小板、血液凝固線溶系 【B】
X 結果の評価
 1.血液検査結果の評価
    A 赤血球系疾患          【A】
    B 白血球系疾患          【A】
    C 造血臓器の疾患        【A】
    D 血小板の異常          【A】
    E 凝固・線溶因子の異常    【A】
    F 血管の異常            【A】
    G 染色体異常            【B】
 2.臨床医への報告と対応        【A】
Y 血液検査業務
 1.業務管理                 【A】
    A 管理の原則と概念
    B チーム医療の概念
    C 血液部門内業務管理
 2.コンサルテーション
   (臨床サイドヘの提言、情報提供)  【A】
    A "施設内、施設外"
 3.教育とトレーニング            【A】
    A 対応・説明のための話術・手技
      (Communicationskill)の向上
    B 部内スタッフ
    C 部外関係
      (臨床医、看護師、実習生、その他)
Z その他の血液検査
 1.造血幹細胞移植・臓器移植の血液検査【B】
    A HLAの検査
    B 移植に関する一般的知識
 2.輸血検査                 【B】
    A 血液型検査
    B 交差適合試験
    C 不規則抗体の検査
    D 輸血に関する一般的知識
実技試験実例
 午前、午後の2回に分かれており、午前の部は、採血手技、血小板無力症、PNH(発作性夜間血色素尿症)について出題されました。すべてパソコンから出力された動画を見ながら設問に答えていく方式です。採血手技では、ボランティアを患者さんに見立て、氏名の呼び出しから本人確認、採血、駆血帯解除までの一連の動作より不適切な個所を列記するものでした。血小板無力症では、実際の患者さんをモデルに、まず毛細血管抵抗試験の方法名の問いから耳朶による出血時間へ、そして濾紙に吸った数十のスポットからデータを算出する作業もありました。後に多数の受験生より画面が見ずらいなどの苦情がありました。次に血小板凝集能検査の凝集パターンが表示され、結果およびコメントが求められ、最後は追加するべき検査を挙げよというものでした。PNHにおいては、最初にクームス試験がデモされ、陰性の確認後、特異検査であるHam試験が実施されました。結果の解釈とともに追加検査であるフローサイトメトリー(FCM)による赤血球CD55、CD59のヒストグラムが表示され、総合的な評価が問われました。
 午後の部は、末梢血液像3例、骨髄像3例およびリンパ節スタンプ標本2例について評価するものです。午前と異なり、スクリーンは会場の前後左右に4台用意され、受験者は観察に都合の良い位置に移動します。試験官は、CCDカメラから同じ映像を各プロジェクターに出力します。最初は、弱拡大でスメアをスキャンし、次に強拡大、さらには静止しながら全体像、各々の細胞を同定させるものです。設問も腫瘍細胞の同定はもちろん、背景の細胞形態にも及んでおり、単に病名を当てるだけではなく、次に検索すべき検査あるいは鑑別すべき疾患群についても要求されました。
おわりに
 認定血液検査技師制度について、今年2月に実施された第一回試験の経験をもとに概説いたしました。記憶は、さだかではありませんが、思いつく範囲内でご紹介いたしました。試験全体を通して、筆記試験においては基礎学力を、実技試験では経験を実感いたしました。特にリンパ節スタンプ標本においては、どれくらいの施設で血液検査室が担当しているのか疑問です。
 血液像においては、形態学的分類としてFAB分類がいまだ広く臨床上用いられていますが、染色体分析、細胞表面抗原検査、分子生物学的検査などの進歩により白血病細胞の分類は細分化されてきています。また治療においても残存白血病細胞のレベルをモニターすることが臨床サイドから求められており、FISH、RT-PCRなどの検査法が普及していくものと思われます。したがってこれら検査の習得は無理にしても、すくなくとも知識として持っておかなければならないことを実感しました。近年、白血病の分子標的治療がさかんに行われる時代となり、さらにこの傾向は高まっていくと思われます。

<<目次欄へ


資  料
各認定試験取得者による過去−現在−未来(これから受験する人へのアドバイス)

糖尿病療養指導士
幸有会記念病院 検査科   
八 角 恵美子 

 はじめに、糖尿病療養指導士認定機構が、平成12年に発足した。第一回の認定を受けて以降、実際に仕事をしてみてその必要性や問題点を強く実感したので、症例報告・他施設での現状アンケートを報告する。
 近年、わが国の糖尿病患者は増加の一途をたどり、現在約700万人といわれている。その内、糖尿病の合併症として糖尿病性網膜症が38.3%(中途視覚障害の認定者が年間約4,000人)、糖尿病性腎症は、20.1%(透析導入者が年間11,700人)、糖尿病性神経障害は、36.%を認めている(表1)。それによりQOL (qualityof life:生活の質)が低下する患者が増加した。高血糖による合併症予防のためには、血糖コントロールをしていく必要性がある。そのためには、まず食事療法と運動療法が日常の生活の中で習慣的に行なわれること、そして、医師の指示による薬物療法が患者さん自身によって実施されること、これらが自己管理されていくことが必要である。糖尿病療養指導士の仕事は、医師の指示を正しく患者さんに伝達し、自己管理できるように指導することである。
表1
 糖尿病療養指導士とは、「糖尿病とその療養指導全般に関する正しい知識を有し、医師の指示の下で患者に熟練した療養指導を行うことのできる医療従事者(看護師、管理栄養士、薬剤師、臨床検査技師、理学療養士)に対し、本機構が与える資格である。糖尿病患者の療養指導は、糖尿病の治療そのものであるとする立場から、患者に対する療養指導業務は、わが国の医療法で定められているそれぞれの医療職の業務に則って行うもの」と、日本糖尿病療養指導士認定機構に定められている。
 糖尿病療養指導士を取得する資格の条件を、平成15年度を例にして表2に示す。資料請求及び認定試験受験資格に関する情報は、日本糖尿病療養指導士認定機構ホームページに掲載、事務局TEL 03−3815−1481まで問い合わせ下さい。
 私は、第一回(平成12年度)に資格取得し2年間指導士の仕事をしている。指導士を取得した動機は放送大学で心理学を学んで、カウンセリングに興味を持ち指導的カウンセリングの仕事をしたいと考え受験した。仕事内容は、生理検査を行いながら医師の指導依頼により、自己血糖測定(以下SMBG)指導、SMBG機器のメンテナンス、インスリン自己注射指導、生活指導及び指導後のフォローなど個別指導が中心である。指導した2症例について紹介する。

表2
症例12型糖尿病患者 80才 男性 161cm/58kg
家族構成】妻と息子夫婦の6人家族
家族歴兄弟に糖尿病患者あり
病歴平成12年より高血圧・高脂血症・糖尿病内服治療を行い、平成14年2月から8月HbA1C 10.3〜11.1%と上昇血糖コントロール不良の為、内服薬よりインスリン治療に変更
指導内容インスリン自己注射として混合型(30R)をアサ4単位から始めるが高齢と教育状問題で字が読めないために最初は毎朝9時に来院してもらい、食後2時間血糖測定後、インスリン自己注射指導し、その後間隔を空けて1ヶ月間行った。この間家族に来院してもらいインスリン自己注射指導を行い、家族に援助を求めた。しかし、本人が家族の注意を聞かず食事療法が出来ないことで
家族に見放されて援助が期待できないと判断し指導を行った。インスリン治療を開始したが高齢の為、SMGBは行わなかった。
現在平成15年9月
インスリン30Rアサ28単位で食後血糖347mg/dl・HbA1C10.2%で血糖コントロール不良、糖尿病性末梢神経障害(+) その他合併症(−)、高齢なので食事療法が出来ないが、来院時に体調を確認している。
この症例は、高齢で家族の援助がなく改善が見られないが、これからHbA1C9.0%台を目標に、急性合併症に注意することである。
表3
症例22型糖尿病患者 55才 男性 168cm/58kg
家族構成妻と子供5人暮らし
家族歴なし
病歴平成10年他院にて糖尿病教育入院、インスリン治療後離脱。平成15年1月昨夜飲酒後、胸苦しさがあり来院、血糖540mg/dl HbA1C14.1%の為、インスリン治療を開始した。
指導内容インスリン治療として、合併症(−)、年齢も若く理解力があるので強化インスリン療法(R4-4-4 N4)とSMBG指導を行った。メールにより血糖データを送信、低血糖の相談を受けた。栄養士さんに相談してメール返信、その後2月下旬に1ヶ月間豪州に出張後もメールのやりとりを行った。
現在】3月のHbA1C5.9%でインスリン治療から内服薬に変更し、8月のHbA1C5.1%でコントロール良好である。
 この症例は、検査結果が良くなり治療効果が実感できた。また、メールによる相談も患者さんの役に立てて良かった。
 指導場面では、患者さんに分かる言葉で説明することはもちろん、患者さん側の身体的、社会的、心理的、教育的要因などによって左右される。患者さんの表情や仕種に注意を払うために患者さんとの位置関係も考え観察しながら指導を行い、理解が困難な場合は、家族に援助を求める。患者さんのADL(activities of daily living:日常生活動作)に合わせた指導内容を検討することが重要である。
 第一回(平成12年度)から第三回(14年度)資格取得者総数は、8,429名でそのうち臨床検査技師は、813名である(表3)。今回、千葉県在住の36名の中から勤務施設が分かったのは17施設33名である。1施設に1名が7病院で一番多く、2名が4病院、3名が4病院、5名が1病院であった。この33名にアンケートを送り、24名の回答を得た。アンケートの項目としては@取得の動機、A仕事内容、B仕事して苦悩していること、C良かったこと、D指導士を取得して、病院の待遇は、E5年後の認定更新、F今後、糖尿病療養指導士としてなどである。以上の結果を表4に示す。アンケートの結果から、糖尿病療養指導士としての仕事を行うことが業務拡大になり、検査業務に支障をきたしてしまう恐れがあること、また、職場の体制などから、指導士の仕事が充分にできないという声がある。
 おわりに糖尿病患者数、合併症による障害の増加などが著しい中、糖尿病療養指導士の必要性が高まる一方、まだまだ患者様個々のニーズに答えることは難しい。病状だけでなく、社会的・心理的要因など考慮する指導のあり方を、模索していく必要を痛感した。
 糖尿病の勉強をしたい方は、コメディカル対象に、千葉糖尿病教育スタッフ研究会集中講義が行われている。詳細や糖尿病療養指導士についての質問は、幸有会記念病院八角までお問い合わせ下さい。043-259-3210
 (e-mail)kohyuhkai@bf.wakwak.com
【参考文献】
1)日本糖尿病療養指導士認定機構 編集:糖尿病療養士の学習目標と課題、日本糖尿病療養士受験ガイドブック2002
表4

<<目次欄へ


資  料
各認定試験取得者による過去−現在−未来(これから受験する人へのアドバイス)

超音波検査士について
亀田メディカルセンター臨床検査室 
岩 嶋   誠

 近年、超音波検査は疾患の診断と正確な病態把握に大きな役割を果たすようになっています。これは超音波検査が患者への侵襲がなく安全で簡便な検査法であることと、装置の改良・開発により高品質の画像が得られるようになったことが大きく、今や「医師の聴診器代わり」と言われるほど普及し、欠かすことのできない検査のひとつとなっています。そして、多くの病院で超音波検査の検者は、医師から臨床検査技師(超音波検査士)へ移行しています。この社会法人日本超音波医学会認定「超音波検査士」は、日本超音波医学会が超音波検査の優れた技能を有するコメディカルスタッフを専門の検査士として認定する資格制度で、体表臓器・循環器・消化器・泌尿器・産婦人科の5領域にわかれており、現在全国で約4500名の超音波検査士が超音波検査業務に従事しています。
超音波検査士制度について
 超音波検査は検者の知識、技術、経験などを基に検者が判断をしながら検査を進めていくため、同一患者を同一機種で検査を行ったとしても、検査データに差が生じ臨床上しばしば問題となることがあります。そのため超音波の特殊性、多様性に対応できる豊富な知識と技術が必要であり、正しい走査技術、装置の調整法、症例に対する正確な知識などの習得が必須となってきます。日本超音波医学会ではこのような事態を考慮し、検査を行うコメディカルスタッフの十分な教育と訓練に加えてその能力を判定する必要性の基、超音波検査士制度が発足され、超音波検査士が誕生いたしました。
超音波検査士制度は
・超音波診断精度の向上
・適正かつ最新の診療実施(高度医療への対応)
・超音波医学に対する深い知識と優秀な技術を保持している技師の育成の3点を目的とし、超音波検査のエキスパートを認定するものであり、また、超音波 検査士制度がコメディカルにもたらすものとして
・レベルアップおよび標準化
・医師と技師の役割分担の確立
・コメディカルの社会的認識度の向上
等が挙げられます。
超音波検査士受験資格は
・日本超音波医学会又は超音波検査学会に入会して3年以上経過していること
・受験を希望する臨床領域で超音波の経験が150例以上あること(レポート提出)
・日本超音波医学会認定超音波専門医の推薦が得られること(推薦状)
以上の項目を満たしていなければなりません。そのため、超音波検査士取得への道はまず学会入会から始まります。そして学会入会後3年間で超音波の基礎や特性についての勉強や専門領域にて症例を経験し、知識や技能の向上に努め、また、学会や講習会等に積極的に参加し各施設の先生方と交流を深めながら、認定試験に関する情報収集をおこないます。
 レポートは疾患別で症例数が決まっており、これらを所定のレポート用紙に150症例記入し、さらに記入した150症例中10例の超音波診断報告書抄録も提出しなければなりません。
 また、推薦状は全国に約1600名いる超音波専門医の先生に、人格および知識、経験、技術について評価していただき推薦状を書いていただきます。
試験内容
 機器の原理や音響工学等に関する基礎問題と各専門領域の臨床問題の2つに分かれていて、基礎の問題はいずれの領域を受験してもすべて共通であります。従来の選考方法は筆記試験と面接試験の両者行われていましたが、受験者数増加に伴って1991年から面接試験がなくなり、現在では筆記試験のみで選考しています。問題数は基礎、臨床とも35問で、試験時間は各70分であり、解答方法は5択もしくは4択のマークシート方式であります。現在の専門領域は体表臓器、循環器、消化器、泌尿器、産婦人科の5領域であり、この認定制度は1年に1領域しか受験できないため、これらすべてを習得しようとすると最低でも5年はかかることになります。
 基礎問題は物理、数学系の公式を使った問題が多数出題され、音響の原理や特性、診断装置や探触子、電気的安全性や保守管理など基礎問題は幅広く出題されます。
 臨床問題はシェーマや写真を用いた問題が多く内容としては日常業務をきちんと遂行し、専門書を熟読していればまず大丈夫であると思われます。
 試験対策としては、臨床問題より基礎問題に重点をおいて学習されたほうが良く、また問題数に比べ試験時間が短いため、わかる問題から先に解いていくと良いと思われます。
 合格率は約60%(?)程度と言われていますが、合格基準については今のところ日本超音波医学会より公表されてはいませんので、何点を取ったら合格するかは不明であります。ただ、これまでの合格者の意見を参考にすると、最低でも6〜7割の正解が必要であると思われます。
将来への展望
 医療の高度化・専門化が進む一方では、質の高い超音波検査が求められています。超音波検査士制度によりある一定の役割は果たされたと思われますが、実際の日常診療ではさらに高度な検査技術、的確な診断が求められています。
 超音波医学会による現在の超音波検査士に対する教育システムは充分とは言えず、特に検査士取得後の教育システムを確立されることが望まれます。定期的に超音波検査士に対する教育を行うには、日常診療に多忙な医師には検査士に対する教育には限界があり、それを補うために現状の認定検査士より、より高度な資格認定試験制度を整備して教育超音波検査士等を認定するのも一案と思われます。また、今後はチーム医療の一員として臨床や他部門との連携を強化し、高度な医療技術を身につけるだけでなく、医療の本質であります患者ニーズに対応した患者様の為の医療を目指す超音波検査士になれるよう心がけていかなければならないと思います。
 近年、医療における進歩はめざましいものがあり、そのニーズは多様化し、この著しい発展は年々変化を遂げています。
 私たち臨床検査技師はその進歩発展に常に対応し、資質の向上と高度な検査技術を身につけるため、日々研鑽に努めなければなりません。
 その代表的な目的の一つが、認定資格の取得であると言えます。
 超音波検査をはじめとする臨床検査の発展は、何事においても従来から常にチャレンジする目標があってこそ実現するものと思われます。

<<目次欄へ


施設紹介

君津中央病院 医務局 検査科


 11月を目の前にしたある日の午後、7月15日に新病院がオープンし、少しずつ落ち着きを取り戻しつつある国保直営総合病院 君津中央病院を訪ねました。個人的にですが、国道16号沿いにある新しく立派な病院を訪ねるのを心待ちにしていました。駐車場から中央玄関までのエントランスには池と小川が配置されており、なにかほっとするものがありました。屋上庭園や散策路も整備され、病室は4床室の4床すべてに窓があるなど快適な療養空間が整っているそうです。また、外来ではプライバシーの保護に重点が置かれ患者さまの名前を大きな声で呼んだりすることもないそうです。患者さまと職員の交錯も少ないようにそれぞれ専用の通路やエレベーターも設置されていました。
 新病院は、木更津市、君津市、袖ヶ浦市、富津市の4市の市民病院としての機能を持ち、病院理念として「良質で安全な医療を提供し、地域の皆様に親しまれ、信頼される病院」というものを掲げていました。災害拠点病院であるため免震構造を採用し、ヘリポートを設置してあるそうです。地下1階地上10階で、病床数は旧病院より80床多く、一般619床、結核26床、感染症6床あるそうです。
 検査科は医師2名、科長以下技師29名、臨時技師2名、委託2名、助手1名、業者派遣1名で構成されているそうです。各部屋の配置は、1階に採血・採
尿室と生理検査部門があり、2階に血液、一般、生化学、免疫がワンフロアに位置し、細菌検査室、病理検査室、輸血室が隣接していました。採血室と検体部門の受付、病理検査室と手術室がダムウェーター(検体搬送用エレベーター)で結ばれていました。
 採血室には常時2名の技師が専任として配置され、他に受付事務1名と看護師2名で行っているそうです。採血管の準備はBC ROBOで行われ、ラベルの貼られた採血管が一人分ずつセットされ採血台の下をベルトコンベアーで搬送されていました。また、上下可動式の採血台が1台設置されていて車椅子の患者さまなどに使用しているそうです。ここでもプライバシー保護ということで採血の順番は番号で知らせているそうです。
 生理検査部門は放射線科と隣接して配置され、心電図検査関係や脳波、超音波検査等を科長を含む8人で運用されているそうです。超音波検査室は心臓超音波室と腹部等の超音波室が別々に設置され、それぞれに専用の機器が配置されていました。また、超音波検査士の資格を積極的に取得されて、検査にあたっているそうです。
 2階にある血液、一般は4人で担当し、血液はSysmex XE2100を使用して血算と血液像の染色、カウントまで自動で行っていました。血液疾患が多いため血液像の見直しは結構あるそうです。一般も尿の分注、定性、有形成分カウントをUA ROBO600B、Cliniteck Atlas XL、日立 6800を使用して検査し、確認した後技師の眼で見直す検体も多いようです。
 生化学、免疫検査部門では、分注器からそれぞれの分析機器まで検体搬送システムCLINILOG(A&T)でつながっていました。搬送システムにオンラインしている機器は、血糖GA03U(A&T)、HbA1C G7(東ソ)、血清 アーキテクトi2000、凝固Coagrex-800、生化学 日立7700-010、日立7700-110でした。これらの機器でルーチン検体のほとんどをこなしているそうです。また、同じフロアに緊急検査コーナーもあり、夜間と緊急検体はそこで行っているそうです。このコーナーには、血液ガス(カイロン)、浸透圧(ARKRAY)、血算 Sysmex XT-2000i、生化学DADE Dimension RxL、凝固 Coagrex-800、血清 AXSYMが設置されていました。このフロアは5人で担当しているそうです。
 ドアを隔てて輸血検査室があります。検査はAuto Vue (Ortho)で自動化されていました。1日に約40〜50件の血型の依頼があり、担当は2人で製剤の発注、管理まで行っているそうです。
 細菌検査室は奥まったところに2重扉で隔てられていました。感染予防対策として他の検査室よりも陰圧になっています。まず、扉のロックを解除して中に入ると前室があります。2枚目の扉は1枚目の扉が閉まらないと開かないようになっていました。さらに、一般細菌検査室よりも陰圧になった結核菌検査室が設置されていました。主な設備は血液培養 BACTEC 9240、9120、同定・感受性 Walk Away (DADE)、Phoenix(BD)、安全キャビネット3台、結核培養 MGIT
960(BD)、結核PCR コバスアンプリコア(ロッシュ)、結核検査は月に300件近くありPCRは週に2回ほど行っているそうです。その他、院内感染対策の検査も行っていて、訪問した時には職員のMRSA保菌調査を実施していました。4人で担当しているそうです。
 病理検査は検体検査の広いフロアに隣接していて、行き来ができるようになっていました。病理医1人と臨時技師1人を含めた技師5人で担当しているそうです。部屋に入って驚いたことは、ホルマリン臭や染色液の臭いがまったくしないことでした。自動染色器を含めた染色はドラフトの中で行われており、
切り出しのコーナーもオープンになっていましたが、ホルマリンガスはコーナーの下のほうに設置された排気口に吸引されるようになっているそうです。 夜間緊急検査への対応は、輸血検査に1名と検体検査に1名の2名による当直体制をとっており、一人あたり月に2〜3回の当直を行っているそうです。
 検査システムはA&T社でオーダリングは日立のオーダリングシステムを導入したそうです。救急室からの救急患者についてのみオーダリングシステムではなくマークシート様式(OMR)の伝票で対応し、検査結果はFAXで至急報告されているそうです。検査科としてはいずれ全科、病棟、外来、救急ともにオーダリングシステムを採用し、検査結果については、端末画面表示で対応したいそうです。現在、報告書は入院患者の検査結果のみ、検査室で打ち出して各病棟へ配布しているそうですが、いずれなくす方向で考えているそうです。
 最後に相原検査科長に次のようなお話をしていただきました。 「業務が始まってからそろそろ4ヵ月になろうとしています(10月28日現在)が、今までのことを思い出すと、これは、というものはなく、ただひたすらやってきたなと言う感じです。業務日誌を開くと鮮明に思いだされます。新病院ではスケールの違いに戸惑いながら、開院当初は職員が迷子になりお互いに行き先を聞いて確かめ合う毎日でした。患者さまに聞かれてもサッパリ答えることが出来ませんでした。ここにきてようやく慣れてきた状態です。
 前置きが長くなってしまいましたが、旧病院の時は外来のみオーダリングでしたが、新病院は全館オーダリングシステムを導入、検査システムも日立からA&Tへと変更になりました。また、A&Tの搬送システムを導入、分析器については開院前からトレーニングに参加し、休日にシステムのトレーニングなどなど、システム上細かい部分で不具合があるもようやく現在軌道に乗ってきました。これも、それも、検査科職員がガンバッテくれたお陰です。搬送システムを導入したことにより職員は増員せず、逆に外来採血室を検査科で管理運営し、検体採取から検査まで一貫して行うようになりました。とかく検体と向き合う検査技師ですが、システム化された現在、働く職員が融通の利かないシステムとならないように、環境を変えることで世のため人のため、患者さまのために病院でなくてはならない検査室、あってよかった検査室、と言われるように精度、正確、スピードをモットーにがんばって行くつもりです。これからもよろしくお願いいたします。」

 最後に快く見学や撮影に協力してくださった検査科の皆さんにお礼を申し上げます。
(福田憲一、佐藤洋子)

<<目次欄へ