千臨技会誌 2004 No.2 通巻91

シリーズ 細胞レベルの病理学
27.線維肉腫(Fibrosarcma)
千葉大学大学院医学研究院腫瘍病理学  梅 宮 敏 文
千葉県がんセンター 中 山   茂
千葉社会保険病院 岸 澤   充
研  究 当センターにおける
非溶血性輸血副作用の現状と対応
            −2002年〜2003年−
千葉県がんセンター 輸血療法科 1)臨床検査科
伊藤 道子 森本さちこ 佐藤 美智1)
三橋 由美1) 稲田  豊 酒井  力
資  料 新精度管理NEQAS
(National External Quality Assessment Scheme)について
(社)日本臨床衛生検査技師会
理 事 川 島   徹
施設紹介 船橋市立医療センター  



シリーズ
細胞レベルの病理学
27.線維肉腫(Fibrosarcma)
千葉大学大学院医学研究院腫瘍病理学 梅 宮 敏 文
千葉県がんセンター 中 山   茂
千葉社会保険病院 岸 澤   充

はじめに
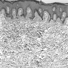
 軟部腫瘍である線維肉腫(Fibrosarcma)は、主として線維芽細胞の増殖からなる悪性腫瘍で、その組織診断が困難な腫瘍の一つである。また紡錘形細胞よりなる肉腫の多くは線維肉腫類似像を示す。したがって、一般的には種々の腫瘍の除外がなされて、最終的に診断される。ここでは、隆起性皮膚線維肉腫症例を提示して組織学的、電顕的特徴を解説する。
図1 分化型線維肉腫の組織像
H・E染色紡錘形細胞束は不規則に交錯を示す。
松綾状(herring bone)構造を認める。
図2 隆起性皮膚線維肉腫の組織
H・E染色紡錘形細胞束は不規則に交錯を示し、
低分化な腫瘍細胞が増殖している。
【組織学的特徴】
 組織学的に線維肉腫は分化型と低分化型に分けられる。分化型は線維芽様細胞の束状増殖で、細胞、核異型は少なく、間質の膠原線維も豊富である。侵襲性線維腫症のなかに高分化型線維肉腫との鑑別がきわめて困難なものがある。
低分化方は細胞成分が多く、紡錘形細胞束は不規則に交錯し、ときに、松綾状(herring bone)構造を示す(図1)。ときに核の多形成および核分裂像の増加がみられる。
 本症例(図2)の光顕的所見は、皮下の基底部は境界明瞭で、その基底部下層に腫瘍を認める。線維芽部細胞の増殖が強く、核の多形成および核分裂像の増加がみられる。また、紡錘形細胞束は不規則に交錯を示し、膠原線維束間に低分化な腫瘍細胞が増殖している。組織学的に鑑別すべきものとして悪性神経鞘腫、悪性線維性組織球腫、滑膜肉腫があげられる。

電顕的特徴
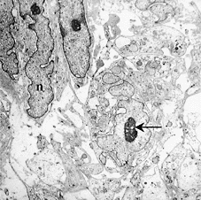
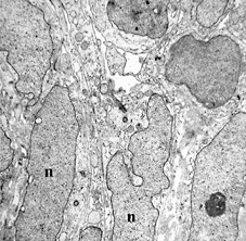
 線維肉腫(低分化型)の電子顕微鏡像は紡錘形ないし一部類円形化した腫瘍細胞の増殖を示している。核は核縁の切れ込みが目立ち、明瞭な核小体を有している(図3矢印)。核クロマチンは核内(n)に均等に分布しており、細胞間には膠原線維が認められる(図4)。細胞膜は部分的に突起を示し、細胞内には一部、不規則に拡張した豊富な粗面小胞体がみられる。この粗面小胞体には無構造ないしは顆粒状物質を入れている。
 さらに紡錘形細胞には、豊富な6nmないし10nmの細線維構造が観察される。この細線維のなかにはfocal densityを有した、筋線維芽細胞(myofibroblast:mf)の出現がある(図5)。この筋線維芽細胞には基底膜様物質(図5矢印)を伴い、光顕的には免疫組織化学的にdesmin、muscle actinの局在を示す。筋線維芽細胞の出現は、線維肉腫に特有ではない。
図3 線維肉腫の電顕像 4000倍 図4 線維肉腫の電顕像 4800倍 図5 線維肉腫の電顕像 4800倍

鑑別診断
 線維肉腫と悪性線維性組織球腫は組織学的にときにきわめて類似している。したがってMFHでも免疫組織化学的には筋線維芽細胞を見出すことができるが、電顕的には未分化間葉系細胞が目立ち、線維肉腫ほど筋線維芽細胞の出現はみられない。また線維肉腫でも未分化間葉系細胞が多数みられることもある。
 したがって、必ずしも電子顕微鏡的には線維肉腫と悪性線維性組織球腫の鑑別が容易になされるとは限らない。

参考文献
1.病理組織診断における電顕の有用性:病理と臨床臨時増刊;1992.文光堂 東京
2.澤井高志他:エッセンシャル病理学5;156.2000 医歯薬出版 東京
3.F. N.Ghadially:Ultrastructural Pathology of the Cell and Matrix v2,1215-1290 1988

<<目次欄へ


研  究
当センターにおける非溶血性輸血副作用の現状と対応
                  −2002年〜2003年−
千葉県がんセンター 輸血療法科 1)臨床検査科
伊藤 道子 森本さちこ 佐藤 美智
1)
三橋 由美
1) 稲田  豊 酒井  力

key words:「安全な血液製剤の安定供給の確保等に関する法律」
「改正薬事法」  非溶血性輸血副作用
抗血漿タンパク質抗体
はじめに
  平成15年7月より、「安全な血液製剤の安定供給の確保等に関する法律」および「改正薬事法」が施行された。「安全な血液製剤の安定供給の確保等に関する法律」では主に、
 1. 血液製剤の適正な使用に務めること
 2.血液製剤の安全性に関する情報の収集及び提供に努めなければならないこと
また「改正薬事法」では主に、
 1. 患者に対し、特定生物由来製品に係わる有効性と危険性の説明
 2.特定生物由来製品の使用に関する使用記録の作成と保管(20年間)
 3.感染症発生時等、使用対象者に係わる情報の製造承認取得者等への提供
 4.重篤な副作用等発生時の厚生労働大臣への報告が医療関係者の責務として明記されている
1)。これにより医療機関における輸血後副作用の把握等が法的により強く義務付けられた。
 当センター輸血療法科では、輸血後副作用の有無を正確に把握し、以後の輸血に適切に対応することにより、輸血医療の安全性の向上に務めているが、今回、輸血後副作用のうち、非溶血性輸血副作用の発生状況について調査・集計した。

対 象
 2002年1月より2003年12月に実施した同種血輸血のうち、非溶血性輸血副作用が報告された症例について、使用製剤とその副作用の種類を年度別に集計し、その内容を調査した。
 副作用の有無については、輸血実施時に観察者である看護師が、輸血実施後にサインとともに副作用の有無を一製剤ごとに記載した輸血伝票を、全て輸血療法科へ返伝するシステムにより把握でき、輸血を実施した全症例、全製剤について副作用の有無を確認している。
 副作用が報告された場合には、輸血室から現場の観察者へ問い合わせをし、詳細な症状の報告を求めた。また、主治医から指示があった症例については日本赤十字社へ精査を依頼し、精査結果を解析した。
 なお、対象期間内に溶血性副作用、輸血後GVHD、輸血が原因と確定された細菌・ウイルス等による感染の報告はなかった。

結 果
1.非溶血性輸血副作用発生割合の年次変化
 2002年の同種血輸血実施総件数2,899件のうち、非溶血性輸血副作用が報告されたのは99件(3.41%)だった。また、2003年の総件数2,940件のうち、非溶血性輸血副作用が報告されたのは125件(4.25%)だった。副作用増加の傾向を比較するため、2000年、2001年のデータと共にグラフに示した(図1)。グラフから、同種血輸血実施総件数がやや減少しているのに対し、非溶血性輸血副作用の発生する割合が、年々増加していることが判明した。
図1 非溶血性輸血副作用発生割合の年次変化

表1 製剤別副作用発生件数と割合
              副作用発生件数/輸血実施件数
                 (製剤別副作用発生頻度)
2.副作用発生製剤の種類と件数
 副作用が発生した製剤の種類と件数を表1に示す。2002年の副作用99件のうち血小板製剤による副作用が76件で、2003年では125件のうち血小板製剤よる副作用が89件で認められ、血小板製剤による非溶血性輸血副作用は増加傾向を示した。また、凍結血漿による副作用についても増加傾向が認められた。
 製剤別に見た副作用発生頻度は、血小板製剤が最も多く、2002年で7.14%、2003年で9.63%であったのに対し、凍結血漿製剤では2002年で2.94%、2003年で5.48%、またMAP製剤では2002年で0.95%、2003年で0.54%だった。製剤の種類によって、副作用の発生する頻度に大きな差があることが判明した。


3.製剤別副作用症状

 製剤別に見た副作用の症状の内訳を表2に示す。全般的に発疹が多く、血小板輸血では副作用全体の9割以上を占めており、また、MAP血輸血では副作用全体の3割程度に発熱が認められた。そして、発熱の症状が現れたMAP血輸血は、全て白血球除去フィルターを使用していなかった。また、血小板輸血では、全症例に白血球除去フィルターが使用されていた。
表2 製剤別副作用症状   件数(発生割合)


4.日本赤十字社による副作用精査

 日本赤十字社による副作用の精査の内容は、表3に示すような抗血漿タンパク質抗体と、血漿タンパク質の欠損の有無、抗HLA抗体、抗血小板抗体の有無についてである2)。当センターで副作用が認められ、主治医からの指示があった症例については、日本赤十字社へ精査依頼をした。
表3 日本赤十字社による副作用精査項目


5.精査依頼件数の推移と精査結果

 日本赤十字社への精査依頼件数と、副作用の原因と思われる結果が得られた件数の推移は、図2に示す通りである。精査依頼件数の増加傾向を見るため、2000年から2003年の件数を示した。
 精査依頼件数に対し、副作用の原因と思われる結果が判明した件数の割合が、年々増加していることがわかる。
 日本赤十字社への精査依頼件数は、2002年は13件で、副作用の原因と思われる結果が得られたのは5件だった。また、2003年の依頼は12件で、結果が得られたのは2002年と同じく5件だった(表4)。
図2 精査依頼数の推移 表4 日本赤十字社による精査結果

考 察
 日本赤十字社より発行されている輸血情報によれば、医療機関から報告される非溶血性輸血副作用は年々増加している3)が、当センターにおいても、報告件数は増加傾向にある。非溶血性輸血副作用は発生の予測が困難なことから、今後も輸血の際は充分な観察が必要である。
 副作用の発生を製剤別に調べてみると、血小板製剤が最も多く、次いで凍結血漿製剤、MAP製剤の順だった。また、副作用の症状は発疹が最も多かった。白血球除去フィルターを使用しなかったMAP製剤では、発熱の副作用が他製剤に比較して多く認められ、製剤に含まれる白血球が発熱反応に関与していることが示唆された。
 日本赤十字社に精査を依頼した症例のうち、副作用の原因と思われる結果が判明した件数の割合は年々増加している。このうち、抗血小板抗体陽性であった2例については、以後も血小板輸血が必要であったことから、日本赤十字社にHPA適合血小板の供給を依頼し、適合血を輸血することができた。
 日本赤十字社は、抗血漿タンパク質抗体と輸血副作用との関連性については、IgA欠損症などの一部の場合を除いて現在までのところ必ずしも明確になっていない
4)と述べている。抗血漿タンパク質抗体陽性患者に輸血後副作用が再現するかどうか不明な点もあるが、今回精査結果が得られた患者のうち、抗セルロプラスミン抗体+抗プロテインS抗体陽性例の凍結血漿輸血において、繰り返し副作用が認められたことから、当センターでは安全性を考慮し、以後の輸血は血小板製剤やMAP製剤については洗浄血を調整することで対処した。
 また、今回精査結果が得られた抗血漿タンパク質抗体陽性患者は、全症例とも輸血歴があったことより、以前の輸血と何らかの関係があったのではないかと考えられるが,タンパク質の欠損については、全症例とも認められなかったことから、これらの抗体の産生機序の解明については今後更なる検討が必要である。

結 論
 「安全な血液製剤の安定供給の確保等に関する法律」および「改正薬事法」の施行により、医療機関には血液製剤の適正使用の推進や、副作用等の報告がより強く義務付けられた。副作用発生状況の調査・原因の究明・副作用防止のための洗浄血の調整など、安全な輸血医療のために輸血部門が果たすべきことは多く、日本赤十字社の協力を得るとともに、更なる努力が必要である。

【引用文献】
1)高木 滋:血液新法と輸血療法.第51回日本輸血学会総会ランチョンセミナー.2003
2)日本赤十字社中央血液センター医薬情報部:血液安全監視体制 年報.5−6,2003
3)日本赤十字社中央血液センター医薬情報部:輸血情報.0310−78,2003
4)日本赤十字社中央血液センター医薬情報部 精査結果報告書

【参考文献】
1.日本赤十字社編:第11回赤十字血液シンポジウム 血液と医療の新時代.2−16,2003
2.日本輸血学会認定医制度審議会カリキュラム委員会編:改訂版 日本輸血学会認定医制度指定カリキュラム.264−265,2003
3.松橋浩子ほか:一大学病院における即時型輸血副作用の現状.日本輸血学会雑誌,48(2).198,2002
4.宇津木和幸ほか:非溶血性輸血副作用における抗血漿タンパク質抗体の臨床的意義について―抗血漿タンパク質抗体検出例の追跡調査からの考察―.日本輸血学会雑誌,49(2).330,2003

<<目次欄へ


資  料
新精度管理NEQAS
(National External Quality Assessment Scheme)について
(社)日本臨床衛生検査技師会
理 事 川 島   徹

【はじめに】
 日本臨床衛生検査技師会(以下日臨技)をはじめとして現在多くの精度管理調査が毎年実施されている。以下は、臨床検査室の外部精度管理評価の統一化事業の推進と臨床検査室の認証/認定システム構築に関する研究、日医総研ワーキングペーパーY90、平成15年9月10日、日医総研客員研究員 河野均也先生の出筆より抜粋した。
 日本医師会(以下日医)では、昭和42年以来37年にわたって臨床検査の質の向上を目的として国内で臨床検査(検体検査)を実施している施設を対象とした外部精度管理調査を実施してきた。その結果、わが国における臨床検査の質は検査機器の自動化や、検査試薬のキット化の推進に伴い昭和45年頃より飛躍的な質的向上を見せ、わが国における医療の質の担保に大いに貢献することが出来るまでになった。
 しかしながら、臨床検査の外部精度管理調査については、数多くのものが実施されているものの、各調査はそれぞれが実施機関ごとに独立して実施されており、調査項目はもとより調査方法・評価方法についても統一された方式で実施されてはいない。したがって、多数の外部精度管理調査に参加したとしても、これらを総合した評価を受けることはできないという問題が潜在している。さらに、多くの調査は年一回のみの調査に終わっており、年間を通じての経時的な質の保証を担保するわけではなく、個々の調査結果を検査室の認証/認定のための資料として用いることにも問題が残されている。これらの点に関し、米国、欧州連合、オーストラリア・ニュージーランドなどの臨床検査に関する国際的な動向を踏まえ、日医では「外部精度管理調査の標準化に関するプロジェクト委員会」を設置し、日医、日本臨床検査医学会、日臨技および日本衛生検査所協会(以下日衛協)の同意を得て、国際的に通用する共通外部精度評価事業(National External Quality Assessment Scheme: 以下NEQAS)の実現を期待するとの報告書をすでに平成13年3月提案を行っている。

【目 的】
 検査室の認定/認証を行う際の基礎資料となる外部精度管理調査については、わが国では非常に多くの調査が実施されているにもかかわらず、標準化された方式に基づいた全国組織の共通外部精度評価事業(NEQAS)として実施されているものはない。しかも、それぞれの調査は年1回のみの調査に終わっているものが殆どであり、実施された年1回の調査に失敗すればその年度は低い評価に止まってしまう事になり、適正な技能試験(proficiency testing:以下PT)として評価を行うことはできない。しかし、登録衛生検査所が医療機関から臨床検査の委託契約を受ける際には入札時に、各検査施設の質の評価に外部精度管理調査結果やCAPの施設認定の有無がしばしば問われており、公正な立場から検査室の質の評価が行える調査法の開発は緊急の課題であると考えられる。

【検討事項】
 米国においては臨床検査室の質の改善に関する法律CLIA'88が施行されてから、FDAが承認した複数の認定機関による認定が義務付けられ、CAPおよびCOLA(Community Hospital Laboratory Accreditation)等による大規模認定が行われている。
 わが国においても1995年以来、医療関連サービス振興会が日衛協加盟の登録衛生検査所の認定を開始しており、現在までに250施設以上を認定しているが、本認定は登録衛生検査所に限定されており、一般の検査施設の認定は行っていない。本振興会では、ISO 15189に適合したチェックリストを作成し、本年度から審査を開始することになっているが、医療関連サービス振興会は世界的な認定機関としての認証を受けた機関(ILAC,APLAC)への加盟機関ではなく、医療関連サービス振興会からの認定は国際的に通用するものではない。

【評価方法】
 わが国で実施されている調査結果の評価方法についても、実施されている調査機関ごとに統計学的な手技や評価の方法が異なっている。日医調査や日衛協、全国労働衛生団体連合会の調査のごとく調査項目毎の集計結果を基に参加施設の測定結果を点数化して評価している調査がある一方で、日臨技のごとく、各調査項目についての集計結果を提示して参加施設には、それぞれの施設における測定結果が調査のどこに位置するかを平均値からの偏りを持って表現し、自己評価することによって検査技能の改善に益することを目標としている調査も存在している。また、日本総合健診医学会の調査では、平均値からの偏りの程度をA〜Eの5段階に分けて評価している。さらに、米国CAPの調査のようにacceptable,to be improved,not-acceptableなどの評価を行っているものなど、国内・国外いずれの調査においても評価の方法は様々であり、統一された方法はないのが現状である。

【調査費用】
 外部精度管理調査に要した費用については、日医、日臨技および日衛協の実施しているいずれの調査においても最も多くの費用を費やしているのは試料代であり、総費用の45ないし55%を占めている。日臨技および日衛協の集計は現在、電子媒体を利用して実施されていることもこの両者の集計費用の低減に益していると考えられ、本事業の推進にあたって集計に電子媒体の利用が不可欠のものであることを示しているようである。

【NEQAS実施機関に関する検討】
 NEQAS事業を全国規模で、しかも可及的広範な参加を得て、より効率的かつ有効な形で実施するためには、日医「外部精度管理調査の標準化に関するプロジェクト委員会 報告」の案にもあるように、1.事業を計画・立案・審査する組織(仮称:臨床検査精度保証機構)と、2.事業を実施する組織(仮称:NEQAS機関)を置くことが必要である。1.の本事業を計画・立案・審査する組織については、日医の中に置き、必要に応じて本事業に賛同する団体の代表者および臨床検査精度保証についての学識経験者、などよりなる委員会を設置し、NEQAS事業について計画・立案することを日医、日本臨床検査医学会、日臨技、および日衛協の間で既に同意を得ている。しかし、2.のNEQAS実施機関の形態については、当分の間は日医総研内に設置することが妥当であるという意見で合意を得た。

【共通外部精度評価実施項目の検討】
 共通外部精度評価の実施項目については、臨床検査項目を厚生省科学研究「外部精度管理調査の標準化に関する研究」2)、および日本臨床検査標準協議会による「外部精度評価(EQA)標準化のためのガイドライン JCCLS GP2-P1」3)において分類されている中で、基幹調査項目(第1類:測定体系が確立されている検査項目で学会などが推奨する勧告法が存在し、それに対応する標準物質が存在する項目、第2類:標準物質、勧告法は存在しないが、広く日常臨床検査として利用されており、施設間変動の少ない(CVが5%以下)の項目、および第3類:第1、2類以外で日常臨床的な使用頻度の高い検査項目)を中心に実施することが検討された。特に、本調査の実施に賛同を得た日医、日臨技、および日衛協の実施してきた調査項目について、それぞれの項目に対する施設毎の参加比率なども調査して実施項目の選択を行うことにした。

【部門別研究班における検討結果】
 本研究班の討議結果を踏まえた上で、1)臨床化学・免疫学研究班、2)血液学研究班、3)微生物学研究班、および4)情報処理研究班の4研究班を設け、個々の調査内容について検討を行った。

1.臨床化学・免疫学小委員会より以下の構成を提案することとした。
◆基幹検査
 ・一般生化学J:凍結乾燥試料
 蛋白・非蛋白性窒素:TP、ALB、CRP、TB、GLU、UN、CRNN、UA、酵素:AST、ALT、LD、 -GT、AMY、CK、ALP、(CHE)
 ・一般生化学K:液状試料
 脂質・電解質:TCHO、HDL-CHO、TG、IP、Fe、Ca、Na、K、Cl HDL-CHOではなく、LDL-CHOとする事を親委員会に提案する。
 ・血清検査:凍結乾燥試料
 感染症:HBs抗原、HCV抗体、梅毒検査(STS、TPHA(TPLA))
  これらの項目を同一風袋とする事の可能性を確認する。
◆オプション検査
 ・生化学III:凍結試料
 血液ガス検査:PCO2、PO2、pH
 ・生化学VI:凍結乾燥試料
 CHE、P-AMY、CK-MB、LIP
 ・生化学V:凍結試料
 HbA1c
 ・血清検査II:凍結乾燥
 腫瘍マーカー:AFP、CEA、CA19-9、PA(PSA)
 ホルモン:TSH、FT4
 免疫グロブリン・補体:IgG、IgA、IgM、C3
  試料の数が多くなるので、取りまとめることを提案する。
以上について委員会案とすることとした。
2)さらに、今回の調査の全体的事項について委員会案を提案することとした。
◆使用試料の条件
 ・ヒト血清あるいはヒト血清と同じ反応性を有する試料とする。
 ・調査対象はすべて日常検査法である。患者血清を用いた日常検査法での測定値に互換性が得られることが必須である。したがって日常検査法でヒト血清と反応性が異なる調査試料は用いてもまったく意味がないことになる。
◆多数試料のランダム配送
 ・臨床治験での経験もあるので、実施を前向きに検討されてはいかがか。
◆試料の配送
 ・ランダム配送が可能な場合は年3回の調査毎に試料を配送する。
 ・従来どおりの試料配布では、凍結乾燥品については一括して送付することも可能である。
 ・液状試料と凍結試料に関しては調査時に配布しなければならない。
◆評価について
 ・許容範囲を設定する
 ・基本セット項目の許容範囲(調査試料に目標値)
2)基準範囲の中央値付近の目標値:目標値に対する相対誤差が?ア20%以内。
3)基準範囲の上限値以上の目標値:目標値に対する相対誤差が?ア10%以内。
4)注:SDやCVによる評価を止める。なぜなら明確な基準があるから。
 ・オプション項目についても同様の調査試料目標値を付ける。
 (評価については、生化学・免疫学小委員会から上記のような提案がなされているが、実施に当たってはさらに詳細な検討が必要になると思われる)。
3)サーベイの円滑な運営を図るために、メーカーのIDコードに関して以下のコード大系の構築を提案することとした。
 ・日医調査でのメーカーを五十音順に並び替えた新しいコード表を作成する。
 ・会社の合併や吸収、消滅に際してはコード表からのコード番号を欠員にする。

2.血液学部門研究班
1)共通精度管理調査実施に関する基本的コンセプト
 従来の日医サーベイの問題点が討議され、委員会としては試料の選択を重視すべきであり、血液検査サーベイは新鮮血で行うこと、凝固線溶検査サーベイは患者検体が基本である。
 将来、検査室の認定・認証事業に用いられる方向性であることを踏まえ、質の高いサーベイの実施を目指す。とくに、試料の選択と評価法が重要である。
2)具体的実施案
 (1)血液学検査
 (A)基幹項目:Hgb、RBC、Hct、MCV、Plt、WBC、網状赤血球、血液像5分画については17年度以後、新鮮血を使用した場合行うことを目標とする。赤血球恒数についてはMCVのみとしMCH、MCHCは測定しない。MCVは従来参考調査項目であったので慎重に審議を行う。
 (B)試料の選択
 新鮮血サーベイの準備が整うまでは、加工血液使用はやむを得ない。
HP-5(Streck社)
HP-5は全てのメーカー、機種(測定原理)に適合したヒト新鮮血と同様の特徴を有する加工血液で、濃度の異なった5種類の試料を選択できる。また、世界
中の精度管理血球の35%を占め、日医、日臨技の精度管理事業にも採用実績がある。調査開始当初は2濃度のHP-5を使用することが望ましい。
 (C)共通精度管理実施の回数
化学検査などとも整合性を持たせ、予定の年3回が妥当と思われる。
 (D)実施にあたっての問題点およびその他
 初回の共通精度管理実施は、時間的な制約から、加工血液による実施でやむを得ないが、本来のサーベイは新鮮血で行うべきである(各メーカーの機種に対して同一条件の試料となり、また1検体で血算・網状赤血球・5分画全てが可能)という意見で一致した。初年度以降の実現化を目指して、新鮮血サーベイにおける問題点が審議され、今後も審議を継続することとなった。
 @法律で制定された採血量が1人400mlと限られているため、約2800〜3000施設に2濃度(1試料2ml)の試料を配布するためには、新鮮血での精度管理を最低年1回行うにしても約14〜15名の継続的な血液提供ボランティアの確保が必要。新鮮血で年3回行うか否かは継続審議とされた。
 A2濃度試料の作成。低濃度試料の作成については赤血球成分のみをある程度取り除くなどの方法をとり、希釈試料は用いない。
 Bボランティアに対しての謝礼については法的な問題のクリアが必要。
*この問題に関しては福武班員より、現在の法律では社会的常識範囲内であれば問題がないことが確認された。
 C採血場所の確保。
 D採血時の抗凝固剤の均等混合と採血後の分注技術が重要課題。
 E試料の発送についての問題。他の試料と同様に発送が可能か否か。室温か冷蔵か、単独で発送する場合はコストの問題が生じる。
 F採血から発送・到着・測定までの時間的な問題。
 日本中隅々まで(離島も含め)試料が到着するにはどのくらいの時間が必要か。送付に時間のかかる離島などでは加工血液にしてもよい。ただし、この場合n数の少ない機種は評価対象外となる可能性がある。統計的学的に全国評価が可能かどうか問題。
 G新鮮血での実施が可能となった場合、採血から測定までの時間的な問題。全ての血液学検査項目において採血から測定までは一定時間で行うことが望ましく、とくに血液像5分画では特定機種により測定値が乖離するデータが報告されている。
 以上のように新鮮血使用については種々の問題点もあるが、血液サーベイには最適のものであり、問題点を解決し実施を前提とし継続審議を行う。また、実施に際しては、日医総研で困難な場合は企業などへの委託が望ましい。
 (2)凝固・線溶検査
 (A)項目
基幹項目:PT(INR含),APTT,Fbg
オプション項目:FDP・D-ダイマー・ATL
参考調査項目:TT・HPT
 (B)試料の選択
 @凝固検査試料:凍結乾燥血漿を使用
 AKコントロール(国際試薬)
 PTのINRの集計にはAKコントロール(低濃度域:ワーファリン血漿)が最適とされ、CVが収束することが東京都の精度管理事業においても実証されている。本委員会では精度の充実した凝固検査精度管理を実施するために、正常濃度域血漿および低濃度域血漿(ワーファリン血漿)を推奨することとした。
 A線溶検査試料:凍結乾燥品を使用;イアトロセーラ(ダイアヤトロン)FDPは人工的に作製したフィブリン分解産物が添加されていて、正常域濃度(レベル J)、異常域濃度(レベルK)をオプションとして当面使用。患者血清または血漿による異常域検体の使用も将来的には考慮。
 (C)共通精度管理実施の回数
 血液学検査などとも整合性を持たせ、予定の年3回が妥当と思われる。
 (D)実施にあたっての問題点およびその他
 凝固検査精度管理のうちAPTT、Fbgの試薬別においてバラツキが大きく、その評価方法については情報処理部門の市原小委員長も含めて充分討議する必要がある。FDPはオプション項目であるが血清FDP定性、血清FDP定量および血漿FDP定量とに区別される。これらの評価についても継続審議が必要と思われる。

【まとめ】
 わが国における外部精度評価事業の統一化事業の推進と臨床検査室の認証/認定システム構築に関する研究を行うにあたり、日医、日本臨床検査医学会、日臨技、日衛協の協力を得て次のような結論を得た。

1.共通外部精度評価事業(NEQAS)の推進
 1)NEQASの実施団体および開始時期;臨床検査の外部精度管理調査に関しては、わが国においても日医や日臨技などによる40年におよぶ歴史があり、非常に大きな功績を挙げてきた。しかし、統一化した共通外部精度評価事業については世界の動きに遅れており、出来るだけ速やかにNEQAS実践に向けた取り組みを行う必要があると考えられる。本事業の実施に関しては、既に日医、日本臨床検査医学会、日臨技、および日衛協の同意を得ているところである。その実施団体としては、新しく立ち上げる法人組織、株式会社等を念頭に置いて協議されたが、当分の間は日医総研が担当して行うことが妥当であろうとの意見の一致を見た。また、統一化した臨床検査外部精度評価の実施時期については、平成16年度の開始を目標に、可及的速やかに実施する方向で進めることで意見の一致を見た。
 2)外部精度管理調査の範囲、調査試料、および回数;調査の範囲ならびに調査回数については、従来実施してきた外部精度管理調査の実績を参考に、参加施設の70%以上が参加している項目を基幹項目とし、それ以外の項目についてはオプショナル項目として実施することが妥当であるとの結論に達した。なお、日医の調査では現在中断している微生物検査についてもオプショナル項目として実施すべきであるとの結論を得た。
 調査に用いる試料については、各小委員会ともに臨床検査室では人体から得られる試料を分析していることから、人体由来の試料と同様の反応性を示す試料を用いた調査でなければ調査の意味がないことが強調されており、調査の実施に当たっては試料の調整に慎重を期すべきであるとされた。なお、調査の実施回数については、本研究にあたり独自に検討した試料作成費をなどを参考に小委員会において検討した結果、基幹項目については年3回、オプショナル項目については状況に応じて1〜3回の実施が必要であるとした。
 3)集計方法ならびに評価法;集計については、情報処理小委員会において検討し、電子媒体(フロッピーディスクあるいはe-mail)を利用した報告方法を取り入れることで検討を開始し、既にかなりの部分でソフトが組上げられている。日臨技における平成15年度の外部精度管理調査の実績を参照すると、既に90%前後の施設からの報告が電子媒体を用いて行われていることから、電子媒体を利用した集計を行うことは、特に複数回実施の際の人件費の削減、調査結果の迅速なフィードバックを行う上で重要であると考えられ、また実施当初からの一部採用も可能であると考えられた。評価方法については、小委員会からの報告にもある通り、従来の各種外部精度管理調査の実績も考慮しながら、さらに詳細に部門ごとに検討する必要があると考えられた。

2.NEQAS事業の将来展望
 臨床検査室の質の認定については米国、欧州連合、オーストラリア圏などで実施され、アジア・東南アジアにおいても既に開始されている国が少なくない。わが国においても1995年以来、医療関連サービス振興会が日衛協加盟の登録衛生検査所の認承を開始してはいるが、本認承は登録衛生検査所に限定されており、しかも国際的に通用するものではない。
 また、認定/認証事業に係るSurveyor, Inspectorの教育、および審査マニュアルの策定等も早急に開始しなければならない課題であるが、ここではとりあえず共通臨床検査外部精度評価の実施についてのみまとめた。日医、日本臨床検査医学会、日臨技、および日衛協の合意を得て実施するNEQAS事業が速やかに軌道に乗って実施され、臨床検査の認定・認証に有用な資料として用いられる日が一日も早いことを期待する。

<<目次欄へ


施設紹介

船橋市立医療センター

船橋市立医療センター
 2月20日、JR船橋駅からバスで約10分の船橋市立医療センターを訪ねました。1983年10月オープン以来幾度かの増築を経て現在(17診療科、426床)に至ります。この施設は開院当初より東葛南部医療圏の第三次救急医療施設として24時間体制の医療を期待され、また、全国初のドクターカーの運用や市内医療機関と連携したオープンベッドシステムを採用するなどリソースを有効活用することにより地域と密な連携を取ってきました。また館内は至る所に患者さんに優しい配慮−例えば階段の一段の高さが低い、廊下が広く明るいなど−の工夫が施されていました。
 私たちはまず、開院当初検査科設立から携わられた井田喜博技師長を訪ね、検査科の生い立ちを聞かせていただきました。検査科のスタッフは当初15人で、オープンから当直による24時間体制をとってきました。また、院内感染対策委員会の立ち上げにも積極的に関わり、タイムロスを防ぐために輸血用製剤の窓口も検査科内に設置しました。輸血用製剤に対し当時では珍しかった感染症の検査を行い、製剤からの感染の危険性を訴え、後に制度化されるきっかけを作りました。オープンから20年経った現在ではスタッフも34名に増え2人体制の当直となったそうです。

井 田 技 師 長

<検査システム>
外 来 検 査 室
 PC-LACS(NECソフト)を使用。検査オーダー時に緊急度を“緊急”、“即現”、“通常”の3つのグレードに分けることができます。“緊急”は検体が届いてから30分以内に結果を報告、同様に“即現”は60分以内に報告、“通常”は当日中に結果報告する仕組みになっています。“緊急”の検体検査は輸血・緊急検査室で行ないます。また、何らかの理由で規定時間内に結果をオーダ側へ報告できない場合、その理由(再検中、トラブル発生中)が仮報告され、医師が端末に掛かる時間を少しでも少なくするような工夫がなされています。このシステムでは一般細菌検査のオーダリングも可能で、オーダー時に臨床症状、化学療法、検査材料などの情報を入力してもらい、検査システムに入るようになっています。

<中央採血室>
 外来患者の採血は全て看護部のスタッフが行っています。採血管発行システムのトラブル発生時やメンテナンスは検査科が行います。採血管発行システムは2台のBC-ROBO(テクノメディカ)を入院、外来によって使い分けています。日中は外来患者、午後はそこに入院患者の翌日採血分の発行が加わります。隣接して外来患者の点滴処置などのためのスペースがあります。ここで採血、採尿された検体はダムウェイター(小型のエレベータ)により2階の臨床化学検査室とつながっています。

血 液 検 査 室
血 清 検 査 室
<臨床化学検査室>
 尿一般検査部門、血液検査部門、生化学・免疫検査部門が集まり臨床化学検査室を構成しています。
1)尿一般検査部門では尿定性や尿沈渣、便潜血、妊娠関連検査、脳脊髄液検査などを行っています。尿沈渣分析機の導入(1995年〜)により尿沈渣の処理速度が向上し、ピーク時1時間当たり70検体のほとんどを検体到着から結果返却まで30分以内で行なう事が可能となっています。特に泌尿器科、婦人科の診察は尿定性、沈渣の結果待ちとなることが多いため、速く正確な結果の提供を常に心がけています。主な分析装置:尿定性分析機 SA 4230(アークレイ)、尿沈渣分析機 UA 2000(シスメックス)、浸透圧測定機 AUTO&STAT(アークレイ)、ホルモン(妊娠反応)測定機 LPIA 200(三菱ヤトロン)
2)血液検査部門では血球計数、白血球分類、網赤血球数測定、凝固・線溶検査を行っています。多項目自動血球分析装置(SE 9000)、自動網赤血球測定装置(R-3000)、塗抹標本自動作成装置(SP1)をシステム化したHST 300(シスメックス)は導入後10年近くになります。PC-LACSを導入後、結果報告時に必要となる患者時系列データや異常値のチェックが簡単に出来るようになり、入院、外来の至急検体は検体到着後1時間以内に結果報告が可能となっています。血液疾患の専門外来が無いため特に血液疾患の疑いのある患者に対しては見逃しの無いよう、最大限の注意を払い、仮に見つかった場合は即、主治医へ直接連絡するよう心がけています。又、全自動血液凝固分析装置 Coagrex 800(シスメックス)は血漿一本でFDPやDダイマーを含む凝固・線溶検査全10項目を効率よく迅速に測定しています。
3)生化学部門では日立7600-110S型自動分析装置で36項目を測定しています。他の部門同様、入院検体、外来検体もほとんどが即現検査であるので“迅速”がモットーであり付加価値を付けたサービスを心がけています。特に市民健診や企業健診を見込んでの分析機の選定がセンター内で迅速化につながっているのではと思われました。その他の主な分析装置は、蛋白分画測定装置 AES 310(オリンパス)、コレステロール分画測定装置 REP(ヘレナ)、ヘモグロビンA1c測定装置 DM JACKK(協和メディックス)。
  免疫血清部門では昨年10月、感染症や腫瘍マーカーの診察前検査への対応、甲状腺機能検査の院内導入を目的にARCHITECT i2000SR(アボットジャパン)を導入しました。さらに前回値により自動希釈測定を行い、その希釈倍数を掛けてオンラインで取り込むシステムを構築し、業務の迅速化、効率化が図られています。本機導入により結果報告時間が約15分短縮され、甲状腺機能検査は従来の2倍の検査依頼数となりそのほとんどが至急検査となっていることから臨床側のニーズを改めて感じたということです。その他の分析装置は、Axsym(アボットジャパン)、BN-K(デイドベーリング)。

細 菌 検 査 室
<微生物検査室>
 手術室を改装して造られたという微生物検査室は、日常的に病因遺伝子や薬剤耐性遺伝子検査を導入し、院内感染防止や薬剤耐性菌検出に大きな役割を担っています。また、リアルタイムRT-PCR法でのSARSウイルス遺伝子検査も可能な体制を取っています。遺伝子解析装置も設置されており、ここで発見した病因、薬剤耐性遺伝子もいくつかあるそうです。ともすれば雑然となってしまう検査室内を、限られたスペースを有効に活用できるよう、様々な機器の配置に工夫がなされていました。主要機器:マイクロスキャンWalkAway96SI(デイドベーリング)、遺伝子増幅装置(SmartCycler System、ThermalCycler MP;タカラバイオ)、パーソナルスキャニングイメージャーPDSI(アマシャム ファルマシア)、パルスフィールドゲル電気泳動装置、その他。






生理機能検査室
緊 急 検 査 室
<生理検査室>
 ここは大きく3つの部屋に分かれています。まず、心電図・神経生理検査室では、心電図、負荷心電図、ホルター心電図、イベントホルター心電図、呼吸機能、脳波、誘発電位などの検査を行っています。心電図の年間17,000件のうち、約20%が負荷心電図です。心エコー室では小児以外の経胸壁エコー、経食道エコー、術中経食道エコー検査を行っています。年間約3,500件です。腹エコー室では腹部エコーを中心に乳腺、表在、血管系エコー、そしてABIを行っています。総数で年間約10,000件です。主要機器:心電計;MAC-15(マルケット)、ホルター心電図解析装置;DSC3300(日本光電)、呼吸機能測定装置;CHSTAC-55V(チェスト)、脳波計;EEG4518(日本光電)、心エコー診断装置;SNOS-2500(フィリップス)、腹エコー診断装置;SSD-5500(アロカ)、LogiQ7(GE横川)、ディジタル画像ファイリングシステム(コニカ)など。

<輸血・緊急検査室>
 緊急オーダーされた検体はこちらへ運ばれます。場所も救急外来の近くに配置され、極力時間的ロスを省くような工夫がされています。血算、凝固、生化学、血液ガス、血中薬物などの検査に24時間対応しています。また、ここでは輸血用血液製剤の管理、血液型検査、交差適合試験のほか、血液製剤への照射を含め輸血業務全般をこなしています。主要機器:血算;K4500(シスメックス)、生化学;日立7070、血中薬物;ディメンジョンArx(デイドベーリング)、血液ガス;ABL725(ラジオメータ)、凝固;BCT(シスメックス)、血液照射装置;IBL437c(CIS)など。

<病理検査室>
 専任の病理医2名と検査技師6名で病理検査を担っています。消化器、乳腺、婦人科、泌尿器、呼吸器などの手術材料と消化器、気管支の内視鏡的材料の昨年度組織診件数は約4,300件。細胞診件数は年々増加の一途をたどり同8,200件あったそうです。術中迅速報告診断はほぼ毎日提出され、組織診断で387件、細胞診断で341件で全国的に見ても多いそうです。土曜日も剖検があれば当番制で行い、一症例を大切にすることが定期的に行なわれる臨床とのカンファレンスに重要な役目を持っているそうです。

※SARSなどの感染症疑いの患者さんのための初期診療施設(感染症検査室を含む)も隣接しておりました。

 最後になりましたが、お忙しい中、快く取材させていただいた井田技師長はじめ検査科の皆様に御礼を申し上げます。
(児玉 明好、佐藤 洋子)

<<目次欄へ