千臨技会誌 2004 No.3 通巻92

会長挨拶 蒔いたものしか刈り取ることはできない 社団法人千葉県臨床衛生検査技師会
会長 才 藤 純 一

シリーズ

細胞レベルの病理学
28.ホジキンリンパ腫 (Hodgkin lymphoma)

千葉大学大学院医学研究院腫瘍病理学 
梅 宮 敏 文
千葉県がんセンター  中 山   茂
千葉社会保険病院  岸 澤   充

研  究

輸血関連業務の24時間一元管理体制構築の経験

千葉市立青葉病院 臨床検査科
矢 萩 直 樹

資  料

「日本医療機能評価機構の
  病院機能評価に求めるものは?」
  −病院機能評価の受審を終えて−

順天堂大学浦安病院 総務課企画管理 
川 島   徹 

活動報告

「性行為感染症(STD)・生活習慣病の撲滅キャンペーン」の開催

社団法人千葉県臨床衛生検査技師会 
駒 木 吉 伸

活動報告

「性行為感染症(STD)・生活習慣病撲滅キャンペーン」に参加して

株式会社サンリツ
高 木 慶 子

施設紹介

千葉県がんセンター
臨床検査部 輸血療法科 臨床病理部

 



会長挨拶


蒔いたものしか刈り取ることはできない

社団法人千葉県臨床衛生検査技師会
才 藤  純 一


 今年は異常気象によって度重なる台風の上陸で、日本各地での被害が深刻になっています。また、新潟において最大規模の中越地震が発生し、甚大な被害とともに幾人の方々が犠牲にあわれ御冥福を心からお祈りいたします。会員の皆さまは如何だったでしょうか、千葉県に上陸した22号の影響がかなりあったと思います。自然災害は我々人間の力が無力であることを痛感せざるを得ません。

 さて、15年度の定例決算総会も無事に終了しました。千臨技事業への会員の皆さまのご協力に感謝いたします。15年度から千臨技は新役員で船出をしましたが、2年目となりこの役員の力量が問われる年となりました。
 4月には診療報酬点数改訂となり、技師会では千臨技会誌前号に解析を掲載しましたが、もうすでに、検体のアウトソーシングに於ける検査の検査差益収入は望むべくもなく、物の評価より技術が評価され、収入増より収益増へと変化していかなければならない事が明確に打ちだされています。その為には病院でのわれわれ医療の専門職としての地位を築き、病院の一員としてチーム医療に貢献できる技師像を作る事が必要になります。
 日臨技では認定技師制度を発足させ、既に認定輸血検査技師、認定微生物検査技師などは衆知の通りです。また、今年度には認定血液検査技師の通常認定や認定病理検査技師制度が準備段階になり模索されています。又、治験コーディネーター(CRC)、糖尿病療法指導士など複数の団体による協働体制にあります。このような制度を是非活かして、日常の検査におけるスキルを研いていただきたいと思います。
 千臨技の今年度のテーマとして「一つの行動、それからの出発」を掲げています。当会としても、このような技術や知識を取得する仕組みを立ち上げようと思っています。このように、専門職を研く事によって、今、医療界にもとめられているチーム医療の一員としての信頼や、検査の質の向上に貢献していける技師であってほしいと願っています。
 また、DPCも特定機能病院から一般病院にも広げられ、平成18年の本稼動に向けてこれからの対応を求められていますが、医療に貢献できる技師像を作る事によって、施設での影響力を高め、クリニカルパス計画や第三者評価における病院評価機構審査、ISO15189などの準備などに、積極的に参加していく事が重要です。 

 昨今のこのような医療状況の中で、医療事故が毎日のように報道されていますが、特に求められているのが医療安全対策です。既に当会では「Evidenseに基づく患者安全行動、PSA(Patient Safety Action)推進」を掲げて医療事故回避をめざしています。また、日臨技でも各検査におけるPSAマニュアルをJAMTホームページに掲載し、患者への安全行動を強く訴えています。
 この度、当会の会員施設において平成15年12月と平成16年5月に患者の取り違え、検体の取違えにおけるABO不適合輸血事故が発生しました。1件は看護師による患者取り違えでしたが、2件目は明らかに技師による伝票と検体の確認ミスの事故です。このような事故は何時、自分の mistake,attentional siips,violation,memory lapses などによって起こるか解りません、決して他人事ではありません。技師会としてはこの事を重大に受け止め、今後このような事故が起こらない様に、会員施設に対して千臨技ニュース6月号で「輸血過誤防止に対する緊急アピール」を出しましたが、各会員は是非もう一度、体制の見直し、検査マニュアルの見直しを徹底される事をお願いいたします。また、どんなにすばらしいマニュアルがあっても、マニュアル違反があれば意味がありません。マニュアルの遵守をお願いいたします。

 変貌していく医療行政の中で、我々が生き残っていくためには、我々自身が医療専門職としてオンリーワンとしての技師になっていかねばなりません。当会は2002年に「chiringi dream plan 2010」を立ち上げ、2010年を目標にその基本目的に沿って事業を遂行しています。もう一度、概略を掲載しますので、目を通してください。そして、我々は行動を起しましょう、「蒔いたものしか刈り取ることは出来ない、そこに近道はない」これは自然のシステムの原則です。

千臨技 夢 構想(chiringi dream plan)2010の概略 ----------------
 主旨:明日を担う臨床検査技師の夢を育てるため、当会を基盤に「健康日本21政策」や「医療改革」に対応し、患者中心のチーム医療に参画し、県民の保健、医療、福祉に貢献する。

会員のchiringi dream plan 2010
1.医療改革は前向きに取り組むことによって活かす。
 ・ 臨床検査の適正な効率化を目指す。
 ・ 臨床検査は量より質の向上の転換期
 ・ 臨床検査技師の価値と地位をこの時期に確保する。
 ・ 科学的根拠に基づくデーターを診断へ提供する。

2.専門職としてのプライドと医療関連職種としての意識を持つ
 ・ 各職域で働く者がお互いの専門領域を尊重しあい協調する。
 ・ 臨床検査技師も患者中心の医療を考える。

3.臨床検査の業務範囲を検査室だけと限定しない
 ・ 臨床現場(病棟や外来、他部門)進んで進出する。
 ・ クリニカルパスへの積極的な取り組み

4.臨床検査の結果に付加価値を持たせる(臨床へのサービスの徹底化)
 ・ 患者や医師への結果を考察する。(コンサルテーションができる検査技師)
 ・ 検査情報の統計学的解析をし、積極的に臨床に還元する。
 ・ 検査値の共有基準範囲による結果の判断と確認方法を標準化する。

5.検査の中央化と分散化を図り臨床に役立つデーター(MUD)を提供する。
 ・ ベッドサイド検査(POC検査)の実施
 ・ 院内集中処理検査(検査室)の実施
 ・ 外部委託検査(アウトソーシング)も検査状況をみて実施

検査技師会の役割としての chiringi dream plan 2010
1.職能団体としての千臨技の役割
 ・ 生涯学習プランで専門職としての知識の修得と学習を習慣化させる。
 ・ 学会の開催により専門性を確立する。
 ・ 臨床検査の標準化と共有化を確立する。
 ・ 検査関連施設との協調を推進する。
 ・ 検査関連団体との連帯と情報交換を推進する。
 ・ 臨床検査の精度管理の精度保証を実施する。
 ・ 国民に臨床検査技師としての認知を徹底する。

千葉県臨床衛生検査技師会としての chiringi dream plan 2010
1.千臨技の事業
 ・ 生涯教育での研修会、勉強会、チーム医療考える・生活習慣病に関する講習会を開催する。
 ・ 学会を開催する。
 ・ 臨床検査を標準化する。
  (検査機器と試薬の適正な選択と推奨ブランドを決定する。)
 ・ 病院施設間差を是正する。
  (検査結果、基準範囲の一元化、各施設の標準法比較ファクターの公開)
 ・ 千葉県臨床検査統一化マニュアルの作成
 ・ 臨床検査の合理化と経費削減提案のコンサルテーション
  (千臨技ブランド一括購入など)

2.千臨技の今後の事業展開
 ・ 臨床検査基準範囲の統一と標準化推進
   チリトロール2000を用いた臨床化学検査のみ成らず、標準化された分野から積極的に設置していく。
 ・ 千葉県や県内医療関連団体との共同事業推進
   県や医師会を初めとする関連団体と協働し地域に根ざした活動を行う。
 ・ 研修所予定地の利用
   法人の自立を目指し、将来、検査センターの開設などの有効活用を視野にいれて、姉妹提携している北臨技の
   技師会センターの具体的な情報を収集し、運営活用方法等を模索していく。
 ・ 千臨技ブランド製品開発
   チリトロールを初めとする検査値統一化の為の管理血清を、千臨技認証品として開発を各企業との事業提携によって
   行いたい。
 ・ 千臨技検査技師連盟の発足
 ・ インターネット通信情報の有効活用
   chiringiホームページやE-mail を駆使し、積極的にIT 化を図り、広報や会員理事間の連絡や学術関連においても
   情報の迅速な伝達を推進する。


<<目次欄へ

参考文献


シリーズ


細胞レベルの病理学
28.ホジキンリンパ腫 (Hodgkin lymphoma)

千葉大学大学院医学研究院腫瘍病理学 梅 宮 敏 文
千葉県がんセンター 中 山   茂
千葉社会保険病院 岸 澤   充


はじめに

 ホジキンリンパ腫Hodgkin lymphoma(HL)は長い間、炎症なのか腫瘍なのかという論争が交されていた。腫瘍という確実な証拠が示されたのはごく最近のことである。免疫組織染色の普及や様々な手法を使っての検索が行われていたが、決定的な腫瘍としての証拠を掴んだのは高感度なPCR法の確立とともに個々の細胞の遺伝子学的検索によって、ホジキン病の腫瘍細胞と考えられていたHodgkin/Reed-Sternberg(H/RS)細胞がB細胞のクローナルな増殖であることが証明された。2001年に刊行されたWHO分類では本疾患をホジキン病からホジキンリンパ腫Hodgkin lymphomaと呼ぶようになった。


ホジキンリンパ腫の組織学的特徴】

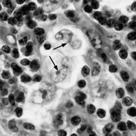
 HLの組織像は様々な炎症性背景に数の少ない、大型の特異細胞が散見されるのが基本像である。新WHO分類では典型的なHRS細胞の出現するclassical HL(CHL)とpopcorn細胞の出現するnodular lymphocyte predominance HL(NLPHL)とに大別され、CHLはさらにlymphocyte rich (LR), mixed cellularity (MC),nodular sclerosis (NS),lymphocyte depletion(LD)の4型に細分される。H/RS細胞は小リンパ球より大きい光輝性核小体がみられ、その周りに明庭を有する大きな核をもつ細胞で、単核のものをH(Hodgkin)細胞、2核以上のものをRS(Reed-Sternberg)細胞という(図1,2,3)。多分葉の核をもつ細胞をpopcorn細胞と言う(図4)。


図1. Hodgkin lymphoma光顕像 H.E染色
炎症性細胞が混在する背景に大型の特異細胞(腫瘍細胞)が散見される。

図2.Hodgkin細胞の電顕像 3000倍
細胞膜は平坦で、大型の核小体(矢印)を有する核(N)を認める。細胞質内には円形〜楕円形のミトコンドリアとひも状の粗面小胞体を散見する。

図3.RS細胞の拡大像(H.E染色)
   巨大な光輝性核小体に注目(矢印)。


図4.NLPHLにおけるpopcorn細胞
   核小体は小さく、明るい核質と多分葉核。

図5.免疫染色(CD30:BerH2抗体)
   CD30陽性のH/RS細胞が散見される。


1. CHL(Classical Hodgkin lymphoma)
  古典型ホジキンリンパ腫

1)

混合細胞型(MC:mixed cellularity)

様々な炎症性細胞を背景に典型的なHRS細胞が出現する(図3)。

2)

結節硬化型(NS:nodular sclerosis)

 膠原線維の束で分割された結節性の細胞集団が、正常のリンパ節構造を置換する。細胞性の結節には、小窩細胞(lacunar cell)と呼ばれる特徴的なHodgkin細胞がみられる。

3)

リンパ球豊富型(LR:lymphocyte rich)

 濾胞胚中心が残存し、その周りに拡大したmantle zoneの中に特異細胞が散見される。この型では、H/RS細胞をはじめとして、lacunar細胞やpopcorn細胞などさまざまな特異細胞が散見される。

4)

リンパ球減少型(LD:Lymphocyte depletion)

 特異細胞の絶対数が多く、背景のリンパ球は少ない。LD型はまれではあるが、ホジキンリンパ腫中、最も予後が悪い。

2.NLPHL(nodular lymphocytic predominance Hodgkin lymphoma)
  結節性リンパ球優勢優位型リンパ腫

 結節性増殖パターンを示し、多分葉核の非定型的ホジキン細胞(L&Hあるいはポップコーン細胞)が出現する。この結節はB細胞からなるが、腫瘍細胞はCD57陽性のT細胞で囲まれている(図4)。

3.ホジキンリンパ腫の免疫表現型(図5)

1)

NLPHL

CD15(−) ,CD30(−),CD20(+),CD45(+),EMA(+)

2)

CHL

CD15(+) ,CD30(+),CD20(−),CD45(−),EMA(−)


参考文献

1.中村英男ほか:リンパ腫1診断の意義と生物学的因子.病理と臨床Vol.21 No.2,2003

<<目次欄へ


研  究


輸血関連業務の24時間一元管理体制構築の経験

千葉市立青葉病院 臨床検査科   矢 萩 直 樹


はじめに

 日本輸血学会が実施したABO不適合輸血の実態調査1)では、1995年1月から1999年12月までの5年間に578施設のうち115施設(19.9%)で計166件のABO不適合輸血の経験があり、そのうち100件(60.2%)が時間外に発生し、時間外でかつ緊急輸血は61件(36.7%)を占めている。不適合輸血166件のうち18件(10.2%)に検査技師が関与しており、2件は血液バッグの取り違え、9件が血液型判定ミスであり、ほぼ全例時間外または緊急輸血であった。また、検査技師ではないが1件(0.6%)血液センターへの発注ミスという項目もあり、これから24時間一元管理をしようとしている我々にとっては不安の増すような調査結果であった。
 当院は2003年5月の新築移転を機に電子カルテを導入し輸血関連業務を臨床検査科に一元化した。日当直業務も従来の生化学検査などの緊急検査に製剤管理業務が加わったが、検査技師1名の体制のまま輸血検査および管理業務の24時間一元管理体制を開始した。
 今回、24時間一元管理体制整備の経緯と現在の状況および効果について報告する。


経 緯

 移転前の旧千葉市立病院当時より時間外業務は検査技師1名で行われていた。1980年度以前は待機制で1980年度以降は日当直が行われており、輸血検査の24時間体制はとられていた。しかし、血液製剤の保管や発注は薬剤部、交差適合試験や血液型検査など輸血検査は臨床検査科で行う二元管理体制であり効率が良いとはいえなかった。夜間休日は検査技師が一人しかいないために、検査技師による血液型のダブルチェックが行えず当直医師に確認を依頼していたが、多忙な当直医を検査室に呼ばねばならず、医師の負担になっていた。また、不慣れな血液型検査を行うことはかえって危険であり、形式的なものになってしまっていた。薬剤部は夜間当直を行っていなかったため、当直師長が代行して製剤の発注、払い出しなどを行っており、放射線照射などの業務も新たに増加し、未照射血を輸血する事故が起きた。
 輸血システムも導入されておらず、手書きの台帳と伝票による運用であったことや血液型検査や不規則抗体スクリーニングの結果を管理し、24時間利用できる体制ではなかったために、Type&Screen(以下、T&S)やコンピュータークロスマッチの導入は見送ってきた。


概 要

1.検査機器とシステム

 病院建設の都合により必要な機器、配置、寸法、電源を先に決定しなければならず、計画当時唯一の全自動輸血検査装置AutoVue(0rtho)を導入することにした。1名で他業務を行いながら輸血検査業務を行わなければならないことを想定し、当初より半自動機器は考慮しなかった。電子カルテ、輸血システム、AutoVueを組み合わせることで、24時間同じクオリティーを保ち、且つ人為的なミスを極力抑えるシステムの構築を目指した。

2.体制

 平日(月〜金)は8:30〜17:00までは担当者が行うが、それ以外の土・日・祝日の8:30〜17:00までは日直、17:00〜翌8:30までは当直各1名で全時間外業務を行う。輸血の業務は血液型、不規則抗体スクリーニング、交差適合試験、血液製剤の発注・保管・払い出しの4つを行う。血液製剤への放射線照射業務は血液センターから照射済みの製剤を購入することにより省力化した。

3.トレーニング

 血液製剤の発注・保管・払い出しの業務は誰も行った経験がなく薬剤部に数日間トレーニングにいったが、新病院で想定しているシステムとあまりにかけ離れていたために参考になったのは、血液センターとの連絡業務くらいであた。日当直を行う技師は全員試験管法による血液型検査、交差適合試験を行うことができた。しかし、検査はAutoVueで行うことにしたために操作方法を新たに習得しなければならなかった。新病院のすべてが新しくなった機器、システム、新規導入項目、血液製剤の発注・保管・払い出しの業務も覚えなくてはならないために、業務増大に対する不安が大きかった。そのため作業手順を詳細に記した写真や図の豊富なマニュアルを作成し、マニュアルのページの順番どおりに作業を行えば最後まで完遂できるものとした。移転当日から日当直が開始されるためトレーニングの時間は限られており、業務の合間に緊急ではない翌日輸血予定の患者検体を使用してトレーニングを行った。開始当初バックアップ体制は当直者に対しては輸血担当者が、土・日・祝日の日直に対しては前日の当直者が残り業務を補助した。

4.依頼方法

 電子カルテよりオーダーすることを原則とした。時間外や緊急でも24時間同一の運用で業務を行っている。24時間同一の運用とすることでオーダーする医師の混乱を避け、リストバンドを用いた患者認証システムを利用可能としている。


結 果】

1.検査件数
 輸血システムから集計した結果を表1に示す。オーダーは日により若干のばらつきはあるが、当直帯では平均1.3件の血液型検査等、平均1.5件の輸血を行い、日直帯では平均2件の血液型検査等、平均8件の輸血を行っていた。それは、全件数に対し血液型検査は13%、輸血は約18%に上っている。統計上17:00を1分でも過ぎたら当直の仕事になっているが、実際は担当者が行っていることが多いので、当直者の負担はこれよりも少ないと思われる。また、血液内科の輸血の予定は土・日・祝日でも組まれており日直帯の件数増加の一因と思われる。


2.廃棄率

 血液製剤の廃棄率の変化を調査した。購入単位数に対する廃棄した製剤の単位数の割合で示した。血液内科があるために外科系で使用されなかった製剤は転用され0.5%前後推移していたが新病院に移転した2003年度にはわずかに上昇し約0.9%だったが、2004年度4月〜6月は例年の割合であった(図1)。
 青葉病院移転時から千葉市の外科二次救急制度がスタートし血液製剤の備蓄を行うようになった。頻度の少ないAB型の備蓄が廃棄になることがあり、廃棄率上昇の一因と考えられた。
3.crossmatch/transfusion比 (C/T比)
 MAP製剤のC/T比についても調査した。徐々に減少傾向にあり輸血療法委員会の活動の成果が伺われる結果であった(図2)。

 血液内科があるために2000年度でも1.44であったが、2003年度は1.018、今年度は4〜8月の5ヶ月しか調査していないが、1.007と良好な数値であった。臨床検査科による一元管理になり、T&Sの導入や迅速に血液製剤が供給されることが浸透し、無駄な準備血がなくなったことが示唆される。


考 察

 24時間一元管理体制を構築するに当たり、原則としたのは血液型検査と輸血の依頼に対してABO式血液型を間違えないことであった。そのためには、コンピュターシステムによる管理(電子カルテ、患者認証システム、輸血システム)と全自動輸血検査装置(AutoVue)の導入は必須であった。それを24時間同一の運用で行うため、頻回輸血症例、ABOミスマッチ造血幹細胞移植症例がある当院の特殊性、時間外のことを考え@赤血球製剤のオーダーに対して患者血液型検査と交差適合試験をAutoVueでおこない、適合血を供給する。A新鮮凍結血漿、濃厚血小板は、血液型検査を2回以上行っていればコンピュータークロスマッチで適合血を供給する。以上の2パターンのみを想定しマニュアルも単一化しようと試みた。しかし、実際に運用が始まるといろいろなパターンに遭遇し、担当者も日当直者も戸惑った。操作に不慣れな上に、様々な問い合わせや時間外の緊急手術でも当初想定していなかったT&Sの依頼があり、技師の新たな理解が必要となった。また、緊急輸血の依頼に対し緊急度に応じた検査が実施できていないため、臨床側から「遅い」と指摘を受けることが度々あり、問題点としてあげられた。緊急度に応じ3段階にわけ試験管法を行う方法をマニュアルに掲載し輸血療法委員会に諮り周知したが、試験管法を行う機会が減少したので以前のレベルを維持できるか危惧される。
 血液センターから供給された血液製剤は臨床検査科の専用保冷庫に保管されるが、輸血のオーダーに対し“必要なときに必要な数量を取りにくる”(手術用の血液についても同様)ことを原則とし一度払い出しを行った製剤の返品は認めていない。そのため一般病棟には血液保冷庫を設置していないので不要となった製剤は廃棄となってしまう。初年度はこの運用が浸透していなかったために廃棄率の上昇があったものと考えていが、今年度の予想廃棄率は一元管理化以前の数値と変わらなかった。外科系の手術などで使用されなかったものは血液内科に転用されており元々低い廃棄率であったといえたが、さらなる低下を目指し手術室に払い出しされ温度管理された保冷庫に保管されていたものは、病棟で該当患者に投与することを原則に臨床検査科で一時保管することを検討中である。
 一元管理化、T&Sの導入によりC/T比は著しく改善されたが、東京都が血漿製剤適正使用の評価指標としている血漿製剤/赤血球製剤(使用量比率)は世の動向に反し悪化している(図3)。
 当院の2003年度の数値は「平成15年東京都輸血状況調査」から算出された平均値0.79を大幅に上回る1.50であった。当院の特殊性もあると考えられるが輸血療法委員会で不適正使用の調査を行い、使用量を抑制する方策を立てなければならない。
 輸血のイベントには、血液型や交差適合試験など検査と、製剤の払い出し、血液センターへの発注や製剤の受け取り、入庫する作業が付随する。さらに医師からのオーダーや電話に対する適切な対応を求められる。輸血検査業務は全輸血業務の25%に過ぎないという報告もあり6)その他の付随する業務量も多く日当直者にとって他の業務を行いながら輸血業務を行うことはかなりの精神的・肉体的負担となっている。輸血申込の締切時間を設けているが守られず、緊急性がないものも24時間オーダーできるため当直者が対応せざる得ない。そのために時間外の輸血業務が増大している一面もある。


終わりに】

 24時間一元管理体制構築にあたり、従来の生化学検査などの日当直業務に製剤管理業務が加わったが、検査技師1名の体制のまま輸血検査および管理業務の24時間一元管理体制を開始した。2003年度の血液製剤使用量は赤血球MAP約4300単位、FFP約6400単位、PC約17000単位、自己血約160単位であり、千葉県内の医療機関の中でも十指に入る使用量であった。日当直の業務量が大幅に増加したために、導入当初は否定的な意見もあったが、大きなトラブルもなく現在に至っている。@24時間同一の運用が行うことが出来るAC/T比の改善など一元化の成果が現れている部分もあるが、まだ多くの課題が残されている。血液製剤の保管場所が変わっただけに終わらないように、今後も引き続き改善を行い、より安全な輸血医療に貢献する24時間一元管理体制の構築を行わなければならない。


文 献】

1)柴田洋一ほか:ABO型不適合輸血の実態報告.日本輸血学会雑誌 46(6):545-564,2000
2)緒方洪之ほか:国立大学病院における赤血球輸血−現場で可能な対応を模索して−.日本輸血学会雑誌 46(6):540-544,2000
3)万木紀美子ほか:京都大学病院における輸血検査24時間体制の構築過程から学んだこと.日本輸血学会雑誌 49(5):673-677,2003
4)古川美津子ほか:当院における「輸血検査24時間体制」の構築.日本輸血学会雑誌50(3):436-443,2004
5)丹生恵子:コンピューターによる輸血管理−オーダリングシステムと輸血情報管理システムの血液製剤使用適正化へ利用.日本輸血学会雑誌 46(4):425-431,2000
6)古谷裕美ほか:自動輸血検査システムAutoVue導入による輸血検査24時間体制の現状と問題点.日本輸血学会雑誌 49(3):455-460,2003
7)山形 悟ほか:Type&Screen導入による血液製剤の保管短縮効果.医学検査 53(7):973-976,2004

<<目次欄へ


資  料


「日本医療機能評価機構の病院機能評価に求めるものは?」
    −病院機能評価の受審を終えて−

順天堂大学浦安病院 総務課企画管理 
   川 島   徹 


はじめに】

 財団法人 日本医療機能評価機構(Japan Council for Quality Health Care:以下機構と略す)が病院の医療提供体制に求める機能としては、以下のものがある。

1.患者の視点の尊重
  @医療に関する情報提供の推進
  ・医療機関情報の提供促進
  ・診療情報の提供促進
  ・根拠に基づく医療(EBM)の推進
  A安全で、安心できる医療の再構築
2.質が高く効率的な医療の提供
  B質の高い効率的な医療供給体制の構築
  C医療を担う人材の確保と資質の向上
3.医療の基盤整備
  D生命世紀の医療を支える基盤の整備
 これは、チーム医療の中での臨床検査(臨床検査・病理診断・輸血)を実施している病院検査室にとっても重要であり病院本体機能と整合性を取りながら整備する必要がある。
 今回、病院機能評価(V4.0)を受審した経験を基に審査の流れと対策および注意点について報告する。


病院機能評価の流れ】

 病院が受審申込みをしてから、認定証の発行までの流れについて説明します。
(※受審申込をしてから訪問審査までの最長期間は1年間となっております)
 病院機能評価のバージョンは、2年に1回改定され、年々要求項目が変化し整備されています。現在実施している新評価体系V4.0は、平成16年7月31日まで申し込みを終了し、8月1日以降の受審申し込みに関してはV5.0とさらに評価項目が整備されたものでの受審となります。またV5.0の審査開始は多くの申し込みのため、平成17年8月1日以降になるといった具合で、対応に苦慮している状態です。

@

4ヶ月〜1年前に郵送にて受審申込書を評価機構に送付する。(当院の場合も平成15年2月に申し込みましたがすでに10月以降の訪問審査であり、現在は1年くらいかかっています。)

A

受審申込後、受審病院説明会に参加し病院機能評価の概要を病院執行部が把握する。

B

説明会後2週間以内に受審病院登録票を評価機構に提出し、日本医療評価機構と契約書を締結する。

C

2ヶ月前までに書面審査調査票・病院資料を評価機構に提出する。(調査票は原本とそのコピーの2冊、資料は調査者数+機構分1部を提出する)

D

機構より調査票到着順に調査票の記入漏れミス等がチェックされ、病院側に返送されるので期限までにチェックし再度提出する。(修正は赤のボールペンを使用)

E

機構より、およそ1ヶ月前までに訪問審査日決定の通知が電話での病院への確認後、文書にて正式に通知される。

F

3週間前に、訪問審査当日の進行表を評価機構に提出する。

G

2週間前に、機構より書面審査サマリー(中間報告書)が送付されるので内容を把握し当日までに問題点の把握と改善されている点について書類作成を行う。

H

訪問審査(2〜3日間)
 施設規模(病床数)や区分(一般・療養・混合型病床)により、サーベイヤー(評価調査者)の人数訪問審査日数が異なる。
当院の訪問審査は3日間
1日目:午後より書類審査
2日目:午前に合同面接、領域別面接が実施され、午後より病棟や各部署の視察が行われた。
3日目:午前中病棟や各部署の現場審査が行われ午後に総括および講評が実施された。

I

機構にて、以下の手順で審査結果が纏められる。
・評価調査者による、審査結果報告書案のまとめ
・評価部会にて、報告書の検討、修正、および認定の可否の判定
・特別審査員による、審査結果報告書の最終案の作成
・特別審査員会議にて、判断に検討を要する事項の合議・判定
・評価委員会にて、審査結果、認定証の発行・留保について最終決定

J

機構より、2〜3ヵ月後に認定証の発行・留保が文書にて通知される。(当院の場合3ヵ月後に通知が送付されてきた。)

K

受審後4〜6ヵ月後に審査結果報告書が2部送付される。最終報告までに時間がかかる理由は、機構にて1.審査結果報告書の文言の確認、修正、統一化を実施。2.審査結果報告書の製本を行うためである。(当院では、6ヵ月後に報告書が製本され送られてきた。)
◇認定証発行の場合:認定証の有効期限は5年間。認定更新申請は、有効期限の1年前から6ヶ月前までに行い空白期間を作らないようにする必要がある。
◇認定証発行の留保:認定を受けるためには再審査が必要となる。再審査の申込は、審査結果報告書受領後1年以内に限定されている。


病院機能評価の枠組み】

1.審査は「受審病院説明会」からはじまる。

  病院機能評価受審の申込をした病院を対象に説明会が行われる。 実際の審査の流れや仕組みについて説明が行われた。このときに、「受審病院登録票」と「書面審査調査票」が渡される。

2.「書面審査」と「訪問審査」がある。

  評価は、「書面審査」と「訪問審査」から構成されている。
  書面審査は、病院が所定の調査票に記入・回答し、提出する。
  訪問審査は、第三者の立場で複数のサーベイヤーが病院を訪問して、それぞれの専門的な見地から規定評価項目について中立的・客観的」な判断・評価を実施する。

3.「書面審査」が事前に実施される。

  書面審査を先に実施し、その分析結果が事前の参考資料となる。次に実施される訪問審査時に書面審査と現状が一致していることがポイントとなる。
  書面審査は、「病院機能の現況調査」と「自己評価調査」から構成される。
  「病院機能の現況調査」は、病院の概況把握をするための資料で、構成は以下の項目になっている。
・施設基本票(患者数・職員数・病床利用率・平均在院日数など病院全体の基本的概要)
・部門別調査票(病棟部門・薬剤部門・臨床検査部門・病理部門・輸血部門など各部門の設備・機器整備・体制・運営状況など)
・診療機能調査票(各診療領域における主要な検査・手術の実施状況)
・経営調査票(収益および費用などの経営状況)
 「自己評価調査」は、体系的に準備された所定の質問票に病院の責任者が回答する。
 この自己評価の内容は、次に述べる訪問審査による第三者評価の内容と基本的に同一の内容になっている。 領域と評価項目数について説明する。大きく6領域に分類され、その中に評価項目が列記されている。(領域:大項目数/中項目数/小項目数の準で表記する。)                
1)病院組織の運営と地域における役割:10/24/70
2)患者の権利と安全:7/16/44
3)療養環境と患者サービス:8/26/90
4)診療の質の確保:27/63/202
5)看護の適切な提供:14/27/90
6)病院運営管理の合理性:6/22/81
  6領域を合計すると大項目数:72、中項目数:178、小項目数:577について各々エビデンス(根拠)に基づき詳細な評価が実施される。
 また、精神科に関する特有な病院機能:5/17/48さらに療養病床に特有な病院機能:4/9/29がある場合はさらに項目が追加されている。

4.「訪問審査」は、病院機能を客観的に評価・判定する手法の研修を受け、機構から委嘱されたサーベイヤーが病院を訪問して「訪問審査調査票」に基づき所定の項目について臨床現場や部署を直接訪問し、スタッフに質問し審査が行われる。

  複数のサーベイヤーが(診療・看護・事務)の各チームとなって審査する。
  訪問審査当日は、まず病院の基本的事項や全般的問題についてサーベイヤー全員が管理者等との面接を行い、その後それぞれの専門領域についての面接と病院の各部署の訪問調査が別れて実施される。
  訪問後にサーベイヤーは合議のための会議をもち、各自の評価結果を持ち寄って検討が加えられる。
  サーベイヤーの中の取りまとめ責任者(リーダー)が、その検討結果を踏まえて「審査結果報告書案」を機構に提出する。
5.「審査結果報告書」は評価委員会で承認が行われる。機構は提出された報告書案を点検・確認し、「評価部会」に諮る。「評価部会」、「特別審査員会議」での詳細な検討を経て、最終的には「評価委員会」において審査結果が承認される。


評価項目の構成と評点】

 評価項目と評価は以下の分類にて自己点検および訪問審査が実施される。
1)大項目:評価対象領域における枠組みを表す項目
2)中項目:直接の評価項目、評点項目     (1:存在しない、2:適切さにやや欠ける、3:中間、4:適切に行われている、5:他の模範となる)
3)小項目:中項目を的確に判定するための指標項目(a:可、b:中間、c:不可、NA:該当しない)


認定証の発行の考え方】

 日本医療評価機構の基本的な病院機能評価の考え方を以下のように取り決めている。
1)評点項目の中項目が“3”以上であること
2)改善を必要とする問題の緊急性や患者・住民への影響の程度を考慮する
3)発行留保の場合でも「改善要望事項」に対する再審査を経て改善が認められれば、認定証を発行する(再審査の申し込み期限は、再審査報告書受領後1年以内 95%合格する)
4)審査体制区分(精神・療養)
  病床の状況:精神病床のみ、療養病床のみ精神病床・療養病床が複合する場合とし、さらに審査体制区分(3区分):20〜199床、200〜399床、400床以上としている。


新評価項目の新たな視点】

 新評価体系v4.0では以下の項目を重視している。
・患者の安全確保( Patient Safety )
・医療情報化への対応
・ケアプロセス(診療・看護過程の評価)
・理念・基本方針の組織化とリーダーシップ
 安全確保の評価体系の特徴
・組織体制・組織文化の確立
・患者−医療者のパートナーシップの強化
・情報の分析・改善策の実施
・安全確保の臨床プロセス・手順の確立


病院運営や医療の質改善に向けた医療情報の有効活用】

 さらに、診療情報を統計学的に解析し、臨床指標(CI:Clinical Indicator)を作成し、改善に向けての方向性を示している。
・情報管理機能が整備され、活用されている
・病院の運営に必要な情報が収集され活用されている
・診療情報が適切に開示・提供されている
・医療の質改善に向けた医療情報の有効活用 
・改善課題と改善目標が設定されている
・診療情報が適切に管理され活用されている
・治療実績が纏められ、診療の質改善の指標となっている
・改善活動の成果をまとめ看護ケアの向上に反映している


ケアプロセス評価項目】

 臨床検査技師も患者のケアプロセスに関わる一員であり、在院日数の短縮が推進されている現状の中でいかに効率よく、外来・入院・在宅の検査が他部署との連携の中で組み込まれているかが重要である。以下に、ケアプロセス評価項目を列記する。
・診療(看護)の責任体制と記録の徹底
・入院診療の計画的対応
・検査の実施と診断の確定
・薬剤投与(与薬)の管理
・手術・麻酔・処置の適切性
・栄養管理と食事指導
・効果的なリハビリテーションの実施
・QOLへの配慮と緩和医療
・行動制限への配慮
・院内緊急時の対応
・療養の継続性の確保
・逝去時の対応
・診療の質の保証(CI)


理念・基本方針の組織化とリーダーシップ】

 病院管理者・幹部のリーダーシップが病院機能評価では重要視されている。病院の理念・基本方針に則して各担当部署の目標や理念・年度計画が作成されていることが重要である。リーダーシップを発揮するためには、病院職員の協力と理解が重要である。
・病院運営の基本方針や将来計画の策定に指導力を発揮している
・病院運営上の諸問題の解決に指導力を発揮している
・医療の質の向上や業務の効率化に向けた取り組みに指導力を発揮している


認定効果には何があるか】

 実際に機能評価を受審した施設からのアンケート調査によると、認定効果について多い順に以下の項目が挙げられている。
・職員の意識の向上
・組織活動の円滑化
・病院見学が増加
・患者・地域住民の関心度向上
・地域・医療連携の向上
・外部との関係改善
・経営状況の好転


機能評価の最近の論点と動向】

 病院評価での基本的な考え方のポイントと、留保される施設の問題点について列記する。
・法令順守:人員配置の標準、施設基準、委員会
・禁煙・分煙:喫煙場所、受動喫煙、全館禁煙
・病院の役割と診療機能:麻酔医・病理医・薬剤当直
・病院の相談機能と担当者
・認定病院の医療事故に関する問題
・行動制限のあり方
・痴呆性高齢者の医療上の処遇の問題


病院機能評価での検査室対応ポイント】

 病院機能評価においての検査室対応としては、マニュアルの整備に加え日々の機械の保守点検チェックリストの整備が重要である。さらに重要ポイントを以下に記載する。
・緊急・当直時の対応マニュアル
・職員の勤務表と役割分担表の共有
・検査室の理念・基本方針の周知徹底
・毒・劇物の施錠含めた管理体制整備
・災害時の検査室の対応マニュアル
・検査室各分野別(担当別)日報・月報・年報と責任者からの評価改善指導
・接遇や守秘義務・基本業務に関する教育指導体制整備
・医療安全対策と報告体制の徹底
・医療廃棄物の管理と処理体制の整備
・スタンダードプリコーションの徹底
・労働環境の整備(メンタルケア含め)
・検査情報の発信と情報伝達手段の整備
・生理検査のバリアフリーと安全対策
・輸血製剤の管理と過誤防止対策
・病理検査医配置と地域医療連携体制
・採血からの安全管理体制整備
・患者・検体のプライバシー確保
・業務改善の評価体制と人事考課制度
・業務分掌と責任者体制の徹底
 上記のマニュアルと現状が一致していることが重要である。


病院機能評価7つの理念(まとめ)】

 最後に、病院機能評価受審は、単に検査室の一員として参加するのでは無く、チーム医療の一員であるという観念から、患者に対していかに質が良く、満足が出来る医療を提供できるかということを基本理念として病院職員が一丸となって改善に取り組むことが重要と考える。
 また、顧客満足という点から、リピーター率60%以上というディズニーランドの7つの法則を引用しまとめとする。
・顧客が比べる全ての企業が競争相手:「ホスピタリティーとは」、「最良のもてなしとは」何かを考え、患者に対して最善のサービスを提供する。
・細部にこだわる:手抜きは、いずれ発見される。きめ細やかな対応が質を担保する。
・全ての人が、語りかける、歩み寄る:病院職員がみな患者に対して注意を向け、自分や家族に置き換えて対応し、挨拶や説明など言葉遣い接遇に心がける。
・全ての物が、語りかける、歩み寄る:院内掲示物や標識、設備が高齢者や障害をお持ちの患者さんに優しくなっているか巡視を絶えず行い改善を継続する。
・耳が多いほど、顧客の声はよく聞こえる:患者相談窓口、総合案内、患者サービス係、ご意見箱などにより患者の声を聞き入れ業務改善に役立てる。
・報い、認め、讃える:職員のよい行動に対しての評価を行う。病院理念や基本方針の周知徹底を絶えず実践する。
・誰もがキーパーソン:病院職員が一丸となって、自分ぐらいが抜けてもと考えない。誰一人抜けてもミスは防げず、いらない職員はいない。力を合わせることが重要である。

<<目次欄へ


活動報告


「性行為感染症(STD)・生活習慣病の撲滅
               キャンペーン」の開催

社団法人千葉県臨床衛生検査技師会   駒 木 吉 伸 


 「医学検査デー」はIFBLS(国際医学検査技師協会)International Federation of Biomedical Laboratory Scienceが1996年オスロで開催された第22回国際学会で毎年4月15日を「世界医学検査デー」と決定し、1997年から活動を開始した。
 (社)日本臨床衛生検査技師会ではその月を「医学検査デー」とすることを決定し事業活動を行ってきた。今年の「世界医学検査デー」のテーマである“Biomedical Laboratory Science in Public Health"(国民の健康を支える臨床検査)の趣旨に沿って、今回、関東甲信地区医学検査技師会(会長 才藤 純一)が委託を受け、「世界医学検査デー」にあわせ(社)神奈川県臨床衛生検査技師会(会長 金子 健史)がリーダーとなって「性行為感染症(STD)・生活習慣病の撲滅」を訴え、キャラバン隊を組織し、4月4日横浜駅を皮切りに各都県の駅構内でキャンペーンを展開した。
 このキャンペーンの最終日となった4月24日 日曜日は、晴天に恵まれ行楽客で賑わう東京ディズニーランドの玄関口、京葉線舞浜駅前にて千葉県の後援のもと担当県となった(社)千葉県臨床衛生検査技師会と(社)神奈川県臨床衛生検査技師会のメンバーによって実施された。
 会場では、生活習慣病を訴えるパネル展示、各種パンフレット配布や自己血糖測定が実演され、多くの市民の参加を頂いた。また、同時に行われた性行為感染症(STD)に関するアンケートならびに臨床検査技師に対する認識アンケート調査が、検査技師の手により実施され市民と直接接し臨床検査への関心を深めて頂く良い機会となった。
 行き交う市民の間からも「臨床検査技師だって」との多くの声が聞かれ関心を集めていた。また、マスコットとなったゴムちゃんは、子供たちや若者からかわいいと握手を求められるなどキャンペーンに一役かっていた。
 今回各都市で行われたキャンペーンでは市民に対して延べ5,000枚以上のパンプレットを配り、アンケート調査も約1,000名を突破し、日頃検査室内での業務を主とする検査技師が直接一般市民に接し病気への関心と、臨床検査技師の存在をアピールしたことは大変意義のある活動となった。同時にキャラバン隊を組織したことで他都県技師会との交流がはかれた事は、今後の技師会活動の発展に大きな成果をもたらした。

<<目次欄へ


活動報告


「性行為感染症(STD)・生活習慣病撲滅
                キャンペーン」に参加して

株式会社サンリツ   高 木 慶 子 


はじめに

 今回、日臨技事業の「医学検査デー」のキャンペーンとして関甲信地区技師会が委託を受け、「STD・生活習慣病の撲滅」のキャラバン隊が組織されました。その中で千臨技としては千葉県の後援をいただき、4月11日に千葉駅、4月25日に舞浜駅でキャンペーン活動を行うこととなり、私はその手伝いをさせていただきました。初めはキャンペーンの手伝いなんて面倒だと思っていましたが、千葉駅に着いてみるとすでにお揃いのジャンパーを着たキャラバン隊が、のぼりを立てたりアンケート用紙を準備したりといそいそと動きまわっていました。その様子を見ると私も俄然やる気がでてきました。
 「STD・生活習慣病撲滅キャンペーン」ということで、街の人に声をかけてアンケートに答えてもらうのですが、歩いている人に話しかけるのって、ただでさえ勇気がいることなのに、さらにその内容は「STD撲滅」ということで、ちょっと赤面してしまうような質問ばかりでした。最初は恥ずかしくて、すごく緊張しましたが、慣れてくると落ち着いて話せるようになりました。しかし、じっくり話を聞いてくれる人ばかりではなく、なかなか難しいなあと思っていると、なぜか人が集まってきました。そこには技師会のマスコット?の着ぐるみ人形が踊っていました!ピンクのかわいい着ぐるみは、子供や女の子に大人気で、触られたり携帯で写真を撮られたり、モテモテでした。(中身はおじさんだったりするんですけどね。)私も25日の舞浜駅では、着ぐるみに挑戦してみましたが、中は暑いし頭は重いし想像以上に大変で、30分ほどでダウンしてしまいましたが、すごく楽しかったです。
 このキャンペーンで、学生から年配の方までたくさんの人がアンケートに協力してくれました。一般の方と直接話せる機会はあまり無いので、とても良い経験になりました。
 実際に若い女の子達と話してみると、「学校の授業や雑誌などでSTDについてある程度は知っていても、実際に自分で不安なことや聞きたいことがあっても、誰にも相談できない。」、「婦人科に行くのは恥ずかしいし、怖い。」といった意見がたくさん聞かれました。STD撲滅のためには、このような疑問や不安に答えてあげられる場所が必要だと実感しました。日常業務にもこの経験を生かして、検体をただの検査対象として見るのではなく、一人の患者だと意識したいと改めて思いました。
 このような企画に参加させていただき、本当にありがとうございました。

<<目次欄へ


施設紹介


千葉県がんセンター
臨床検査部 輸血療法科 臨床病理部


 
 7月8日、暑い夏の午後に千臨技会誌の施設訪問としては初めての千葉県がんセンタ−を訪ねました。がんセンターは昭和47年11月、増え続けるがんの征圧を目的に、がん診療を行う病院部門と研究所を併せ持った施設として、県民のがん対策の中心的役割を果たすために建設されました。場所は千葉駅より車で20分程の緑に囲まれた静かな環境に位置しており、千葉社会保険病院、千葉東病院、県衛生研究所などの医療関連施設が多い地区でもあります。開所当時の病床数は200床でしたが、幾度かの増改築を経て現在は341床(平成15年より緩和ケア病棟25床も開所)に至っています。臨床検査部門も、高度専門医療に対応するため臨床病理部と輸血療法科が分離独立し、現在は3部門に分かれています。また、今年4月からは、県立病院の全てが公営企業法の全部適用となり、新たに病院局として集約され、収支改善、患者サービスなどの経営改善にも力を注ぐようになっているそうです。
 最初に2階の臨床検査部の麻生技師長を訪ね、検査部の概略をお話して頂きました。臨床検査部の技師は定数削減によって、現在は16名のスタッフで構成されており、休日夜間の緊急検査に対してはポケベルで対応しています。臨床検査システムは現在で4世代目となりますが、バ−コ−ドを利用したシステムを平成9年に初めて導入し、検体間違いの事故を激減させました。その後、平成13年2月からは診療予約システムとオ−ダリングシステムが稼動し、平成14年にはバーコードを利用したシステムとしては2世代目となる臨床検査システムの更新がおこなわれました。現在は、電子カルテとの連携についても検討を始めているそうです。一方、臨床検査部の技師による外来採血も、採血場所の新設に伴って今年から本格的に開始しました。採血室には、採血管準備システム(BC‐ROBO;テクノメデイカ)が稼動しており、外来分の採血管と夕方は翌日の病棟分の採血管の準備を行っています。採血室の担当は受付事務1名と技師2名、看護師1名が交代で行っていますが、午前中の混雑時には、担当日ではない技師も自発的に手伝いに駆けつけてくれるため、採血の待ち時間が無くなったと患者さんからの評判も上々とのことでした。

<臨床検査部>
 血液検査科は、通常の血算や血液像検査、凝固線溶検査に加え、一般の病院ではあまり行われていないフロ−サイトメ−タ;EPICS−XL(ベックマン・コールター)による白血病や悪性リンパ腫の細胞解析、PBSCTのための造血幹細胞測定、樹状細胞解析などを実施しています。また、末梢血や骨髄血に腫瘍細胞が少数しか出現せず、フローサイトメータでは解析できない症例は、免疫細胞化学染色を実施しており、各種血液疾患の早期診断と治療を実現しました。また、これらの経験から得られた学術的情報は積極的に学会発表や論文投稿を行っています。

生化学・血清検査科は、検体自動分注機;APS-3000(アロカ)により分注した検体を7600‐DP(日立)で測定しています。また、免疫検査部門ではARCHITECT−i2000(アボット)の導入により、多くの腫瘍マ−カ−を外注検査から院内検査に移行し、迅速報告による患者サービスに貢献しています。また、千臨技より検査値統一化のための基幹病院の指定を受け、チリトロールのデ−タ発信を行っているとの事でした。
 一般検査科の検体数はさほど多くありませんが、がんセンターということもあって、尿や穿刺液の検査でがん細胞の出現する検体が多く、疑わしい細胞が見られた検体については、より正確な診断結果を得るために、臨床病理部との連携も行われています。
 細菌検査科では、県内でも比較的早い時期にDNA増幅検査である抗酸菌PCR;コバスアンプリコア(ロシュ)を導入し、検出までの時間の短縮を図りました。また、抗がん剤治療によって引起こされる免疫不全状態では日和見感染とともに院内感染には十分な注意が必要ですが、検査報告の迅速化とともに院内感染防止についても積極的に関わっています。
 生理機能検査科では、平成13年に誘発電位検査装置;Neuropack  (日本光電)を導入し、手術室への出張検査も加えて神経機能検査を開始しました。また、がん治療での化学療法時の病態把握のための検査として心エコ−が必須の検査項目になってきており、技師も只今特訓中とのことでした。また、今後は電子カルテ化に伴った画像ファイリングの構築の検討も開始しているそうです。
<輸血療法科>
 1階にある輸血療法科を訪ねました。血液保存用の保冷庫、末梢血幹細胞・リンパ球保存用の冷凍庫等、所狭しと設置されているのが印象的でした。全ての保冷庫は手術室・ICUも含め、1台の温度管理システムで制御されていました。

 現在は、輸血認定医の医師1名(他科兼務)と稲田技師長を含めた認定輸血検査技師2名、臨床検査技師1名、事務員(嘱託)1名の5名で全自動のIDゲルステーション(オリンパス)でオーダリングによる血液型検査、抗体スクリ−ニング検査の他、洗浄赤血球・洗浄血小板の作成、PBSCT・リンパ球治療における連続血液成分採血装置のプライミング・細胞保存管理、自己血輸血の介助、MAP血作成、本年8月に認可された高度先進医療の肺がん患者に対する活性化自己リンパ球移入療法の細胞培養・細胞洗浄等も実施しているそうです。

 また、毎月、全医師向けに院内輸血情報を発行しており、手術に関しては約70%がT&Sで対応していました。夜間緊急輸血に対しては技師への緊急連絡網の他、できる限り0型MAP・AB型FFPで対応するそうです。平成12年からは全ての血漿分画製剤(アルブミン・グロブリン製剤等)の管理を薬剤部より移管し、同年から自己フィブリン糊の作成も行っているとの事です。また、日本でも数少ない輸血認定医研修指定施設、認定輸血検査技師制度研修指定施設として登録されており、毎年、研修医・研修生が勉強に来ています。 
 今後、千葉県の認定輸血検査技師の教育にも大きな役割があると考えました。

<臨床病理部>
 次に臨床病理部に伺いました。臨床病理部は研究所に属していた病理研究部の病理解剖部門と臨床検査部の細胞診を合併統合し、主に外科病理を担う事を目的として平成3年に設立されたそうです。スタッフは、病理医3名と玉山技師長を含めた臨床検査技師7名、医療助手2名で構成され、他に非常勤病理医3名となっています。
 作業スペースが分散しており組織標本作成と細胞診業務は地下1階、検鏡は2階、術中迅速標本検査に関しては、手術室と検査室との距離があるため     検体の運搬が大変!!とのことでした。平成10年に病理診断支援システム、平成14年に細胞診断支援システムが導入され病理デ−タがコンピュータ管理となり、各種診断デ−タの検索、カンファランスにおけるマクロおよびミクロ画像の利用や、精度管理に役立つほか、標本管理においてもシステム化が、有用とのことです。
 玄関ロビ−近くには、“ふれあい広場”のコ−ナ−があり、色々な病院行事の写真が張ってありました。“今月のナ−ス”の写真もかわいかったです。

 最後にお忙しい中、快く取材させて頂いた麻生技師長はじめ臨床検査部の皆様、輸血療法科ならびに臨床病理部の皆様有難うございました。
           (鷲津 正裕、児玉 明好)

<<目次欄へ