千臨技会誌 2007 No.3 通巻101

みて見て診よう! 小児腫瘍の細胞診
−腎芽腫Nephroblastoma(Wilms’tumor)−
有田茂実 Shigenari Arita検査科
 
研  究 腓腹神経における体性感覚誘発電位 木村 光栄1) 高橋 修1) 田中 麻衣子1)  小林 由紀子2) 赤星 和人2)
1)市川市リハビリテーション病院 臨床検査科
2)市川市リハビリテーション病院 リハビリテーション科
施設訪問 東京歯科大学千葉病院
研究班紹介 病理検査研究班の紹介 病理研究班委員 小野寺 清 隆
(帝京大学ちば総合医療センター 病理部)



みて見て診よう!
小児腫瘍の細胞診  −腎芽腫Nephroblastoma(Wilms’tumor)−
有田茂実 Shigenari Arita

【どんな疾患かみよう!】
腎芽腫(ウィルムス腫瘍)は,神経芽腫,肝芽腫に並ぶ小児三大固形悪性腫瘍のひとつで,小児腎腫瘍の90%を占める.発生学的には,後腎芽組織(腎が発生してくるもとの組織)に由来する腫瘍である.形態学的に,腫瘍性の後腎芽細胞(腎芽細胞),上皮および間葉成分の3種類の腫瘍細胞が基本構成で,これらが種々の割合で混合する腫瘍である.

【臨床所見をみよう!】
主に腹部膨満・腹部腫瘤として発見される.検査としては超音波,CT,MRIなどの画像検査(図1)が有用である.またまれに血尿を伴うことがあり,腎盂に発生した腫瘍が尿細胞診にて検出されることがある.現在指標となる腫瘍マーカーは発見されていない.治療は主に化学療法と摘出術を併用する.治療後の予後は非常に良好で,5年生存率は約90%である.性差はみられない.WT-1遺伝子異常や無虹彩症,尿路・外性器異常などの合併奇形を伴うことがある.

【組織像をみよう!】
通常,腫瘍は圧排性増殖を示し,既存の腎組織との境界が明瞭で,割面所見は灰白色調を呈し,部分的に出血・壊死を伴う(図2).まれに腎静脈や下大静脈に浸潤することもある(図3).
光顕的に腎芽細胞は,N/C比の高い小型細胞が特定の組織構造を示さず密に増殖し,時にロゼット形成がみられる(図4,5).上皮成分は,形態学的に尿細管や糸球体を模倣する(図4,6).間葉成分は,紡錘形細胞を主体とするが(図4,7a),しばしば横紋筋細胞への分化を示す(図7b).また腫瘍内に時にみられる成分として,通常は腎臓に存在しない骨,扁平上皮細胞の他,神経節細胞,脂肪,平滑筋などへの分化を示す細胞も出現する(図8).これは腎芽腫が多彩な分化能力を持っている細胞からなることを示している.
組織診断基準は,これら成分の優勢度により,腎芽型,上皮型,間葉型の3つの組織型に分類される(図4).

【細胞像をみよう!−腎芽細胞成分】

腎芽細胞は,N/C比の高い小型類円形細胞が孤立散在性〜疎結合性集団(平面的主体〜重積性集団)として出現し,時にロゼット配列を示唆する集塊を形成する.核は類円形で大きさが揃っている.クロマチンは細顆粒状で著明に増量しており,核縁肥厚はみられない.多くは裸核状であるが,乏しい細胞質はライトグリーンに淡染し,細胞境界は不明瞭である(図9).

【細胞像をみよう!−上皮成分】
上皮成分は,小型類円形細胞が上皮様結合を呈する小集塊を形成する.集塊形状は,@腺管状,A管状,B房状(腺管状・管状の集合したもの)などがみられる. 腎芽細胞とは,核所見など個々の細胞自体は類似点が多いが,結合のしっかりとした集塊を形成し,周囲細胞とは境界が明瞭な点で識別が可能である(図10).

【細胞像をみよう!−間葉成分】
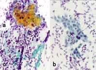
間葉成分は,紡錘形細胞が主体である.これらの多くは免疫組織学的にsmooth muscle actinおよびvimentin に陽性であることから,筋線維芽細胞の性格を持つと考えられる(図11a).また時に横紋筋細胞もみられ,強拡大で横紋が明瞭に観察できることもある(図11b).

【細胞像をみよう!−時にみられる成分】
腫瘍内に時にみられる成分として,類骨,扁平上皮,平滑筋への分化を示唆する細胞などを観察することもある(図12).

【細胞像のポイントをまとめよう!】

腎芽細胞成分;結合性の疎な集団として出現する.
上皮成分;結合性の強固な集塊を形成する.
間葉成分;紡錘形細胞が主体をなす.
その他の成分;時に多彩な細胞成分がみられる.
このように出現様式,細胞形態などの細胞学的特徴を把握する事で,各成分は比較的明瞭に識別できる.

【細胞診の役割をみよう!】
細胞診は組織像をよく反映しており,特に当院では術中迅速診断に役立っている.迅速組織診に比べ,標本作製が容易で,アーチファクトも少なく,脂肪や骨など,凍結切片の作製が困難な成分を含む検体においても観察が可能であるという利点がある.
小児腫瘍は特殊で日常業務ではあまり目にする機会がないと思われるが,今後の知識として役立てていただければ幸甚である.

謝辞;
稿を終えるにあたり,ご助言をいただきました当院検査部部長堀江弘先生,検査科中山茂科長ならびに千葉大学大学院医学研究院病態病理学永井雄一郎先生に深謝いたします.

参考文献;

1)新訂版 小児腫瘍組織分類図譜第1篇小児泌尿器腫瘍 日本病理学会 小児腫瘍組織分類委員会 金原出版 1988.9
2)小児外科病理学 文光堂 1995.7


図1 MRI画像 
右腎腫瘍
図2 割面所見(図1と同一症例) 
腫瘍は既存の腎組織を圧排性に増殖し,
割面は灰白色調を呈している

図3 割面所見  
腫瘍は腎門近傍より発生し,下大静脈内に
進展し,右心房にまで及んでいる
図4 腎芽腫の基本構成成分と組織型分類
 (HE染色)  
図5 腎芽細胞成分の組織像 (HE染色)   
a 特定の組織構造を示さず密に増殖,
b 矢印はロゼット形成(弱拡大)
図6 上皮成分の組織像(HE染色)  
a 尿細管模倣像,b 矢印は糸球体模倣像
図7 間葉成分の組織像(HE染色)  
a 紡錘形細胞,b 横紋筋細胞
図8 時にみられる成分の組織像(HE染色)  
a 骨・軟骨(類骨),b 扁平上皮細胞,
c 神経節細胞,d平滑筋・脂肪組織(弱拡大)
図9 腎芽細胞成分の細胞像(Pap.染色) 
a 結疎合性の集団,b ロゼット形成を
示唆する集塊

図10 上皮成分の細胞像  (Pap.染色)
a 腺管状,b 管状,c 房状(弱拡大)
図11 間葉成分の細胞像(Pap.染色)
a 筋線維芽細胞の性格をもつと考えられる
紡錘形細胞,
b 横紋筋細胞(強拡大)
図12 時にみられる成分の細胞像(Pap.染色)
a 類骨,b 扁平上皮細胞,c 平滑筋様細胞

<<目次欄へ


研   

腓腹神経における体性感覚誘発電位
木村 光栄1) 高橋 修1) 田中 麻衣子1)  小林 由紀子2) 赤星 和人2)
1)市川市リハビリテーション病院 臨床検査科
2)市川市リハビリテーション病院 リハビリテーション科

 T はじめに
体性感覚誘発電位(Somatosensory Evoked Potential;以下SEP)は、末梢神経に電気刺激などの感覚刺激を加えて、頭皮上などで誘発される微小な電位で、中枢および末梢神経により発生する電気的反応を平均加算法により記録することができ、この方法は、刺激伝導路である末梢神経から脊髄、脳幹、視床を経て大脳皮質第一感覚野に至る内側毛体経路の機能障害やそれらの障害レベルを推定する検査として用いられている。
今日、臨床において、上肢刺激SEPは正中神経や尺骨神経、下肢刺激SEPは脛骨神経で測定するのが一般的な方法であるが、腓腹神経刺激SEPもまれに測定されることもある。腓腹神経は純感覚神経であり、主として第一仙髄神経根(S1)に由来し、脛骨神経から分枝する内側腓腹神経より起こり、足関節に向かって下降したのち、外果の下方に沿い、外側皮神経となって足背外側を支配し、神経伝導検査においても感覚機能評価として利用されている1)。
下肢神経刺激SEPは、体動などによるアーチファクト等の混入が多く、上肢刺激SEPに比べてその導出が技術的な難易度が高いため、実際の検査施行頻度は低く、特に腓腹神経刺激SEP測定法について検討した報告は少なく、検査方法としても確立はしていない。しかし、臨床的に感覚機能評価に広く用いられている腓腹神経刺激SEPの測定は、中枢神経を含めた長い経路で感覚神経を検索でき、臨床所見や神経伝導検査との比較もあわせて、それらに関連する多くの疾病に応用できると考えられる。そこで今回我々は、腓腹神経刺激SEP検査方法の基礎的検討を行い、また、脛骨神経刺激SEPとの比較により、その臨床応用に関する若干の知見を得たので報告する。

U 対 象
対象は健常成人13名26肢であり、内訳は男性10名、女性3名で平均年齢33.4歳であった。被検者には予め本研究の目的および内容を説明し、神経疾患の既往がないことを確認した上で参加の同意を得た。

V 方 法
1.腓腹神経刺激SEPの検査方法
@刺激部位:腓腹神経は純感覚神経であり、運動神経が混在する脛骨神経のように電気刺激で、筋肉の収縮による確認ができないため、順行性の感覚神経伝導検査を行い、SNAP波形を用いて刺激位置を確認した。(図1)
A刺激電極および強度:刺激電極は、汎用されている1端子が直径5mmのフェルトを使用する電極間距離25mmの電極(以下通常電極)ではなく、フェルトの幅が20mm×5mm、電極間距離40mmの幅が広い電極(以下幅広電極)を使用した。また、刺激強度は運動神経が混在する神経では、その閾値を参照することが多いが、純感覚神経では、その方法を参照できないため、予備実験より、その幅広電極を用いた場合の疼痛限界値(平均28.8mA)の60%の強度(平均17.3mA)とした。
B記録方法:検査は室温を25℃に調整したシールドルームで施行した。被検者にはベッド上で閉眼覚醒状態を保つように指示した。計測には日本光電製Neuropack MEB-2216を使用した。刺激は、腓腹神経を上記の方法で詳細な部位を確認した外踝後方の足関節部で、持続時間0.2msの矩形波を用い、左右交互2Hzの電気刺激を行った。記録電極は、皿型円盤電極を用い、頭皮上の記録電極は国際10-20法に従い、Czの2cm後方点(Cz’)およびダイポール確認のため、Cz からC3、C4の中点の2cm後方点(C3’、C4’)の3ヶ所と脊髄末梢部での伝導性を確認するための胸腰椎部を含め、片側4チャンネルで合計8チャンネルのSEPを同時記録した。頭部の基準電極は両側耳垂とし、胸腰椎部は、記録電極を第12胸椎棘突起上、基準電極は第12胸椎棘突起上から椎体に沿った上部15cmに設置し、各電極の皮膚抵抗は3KΩ以下、周波数応答は、頭部で2〜2000Hz、胸腰椎部導出は50〜2000Hzとし、分析時間は刺激開始時から最大で190msまでとした。電気刺激は、左右交互2Hzで行い、それぞれ1000回平均加算し、再現性を確認するため、各々2試行記録し体動などによる大きなアーチファクトは自動除去した2)-4)。
2.脛骨神経刺激SEP
脛骨神経SEPに関しては、刺激部位は、脛骨神経は内踝後方とし、その強度は疼痛限界の60%(平均21.4mA)とした。記録方法は腓腹神経刺激SEPと同様とした。

図1 腓腹神経における刺激位置の確認
順行性の感覚神経伝導検査を行ない,図のような明瞭なSNAP波形が導出できる刺激点を,
SEP検査における刺激部位とした.

W 結果
脛骨神経刺激SEPおよび腓腹神経刺激SEPの全例でN19,P28,N30,P35,N42,P53の各成分6)が再現性も高く、良好な波形が得られた(図2)。Th12導出のN19における振幅は、脛骨神経刺激1.41±0.75?V、腓腹神経刺激0.51±0.26?Vと有意に脛骨神経刺激で大きかった(paired-T test)(表1)。また、潜時に関しては、N19では、脛骨神経刺激20.1±1.8msec 腓腹神経刺激 21.7±1.6 msec、P28,N30では、脛骨神経刺激で29.3±2.2msec、31.9±2.3msec腓腹神経刺激で31.7±3.7msec、35.4±4.3msec第一体性感覚野を反映すると言われているP35 の平均潜時は、脛骨神経刺激で37.8±2.6 msec 腓腹神経刺激で42.0±5.1msecであり、後方成分であるN42,P53もそれぞれ脛骨神経刺激で47.0±2.5msec、59.0±3.0msec、腓腹神経刺激で51.9±4.7msec、65.6±5.6msecと末梢から中枢まで全てのピーク潜時が脛骨神経刺激に比べて腓腹神経刺激の各頂点潜時が延長していた。中枢伝導時間(CCT)は、脛骨神経刺激で17.7±1.2msec腓腹神経刺激で20.3±4.0msecとなり脛骨神経刺激に比べ腓腹神経刺激で延長していた。(表2)

          図2 脛骨神経刺激および腓腹神経刺激によるSEP波形
   
図に28歳女性の両神経刺激により得られたSEP波形を示す。
   いずれもN19,P28,N30, P35,N42,P53の各成分が再現性も高く、良好な波形が得られた。

X 考察
誘発電位検査は波形そのものが微小であり、刺激強度が弱ければ出現する波形が導出されず病態などの解釈が困難となる。基本的には刺激強度が強ければ波形の振幅が増大し判読が容易となるが、必要以上に強度が大きければ、疼痛が原因となり、筋電図や体動などのアーチファクトが混入するため、刺激は適度な強度でなければならない。腓腹神経刺激SEPは、基礎実験において疼痛閾値を測定し、それぞれの測定値から適切な刺激強度を求めて検査を行ったことが全例で、主要なピークが出現する良好な波形を得ることができたと考えられる。 腓腹神経刺激SEPを測定する上で、幅広電極の使用は刺激強度を通常電極より上げられ、得られた値から疼痛や体動がほとんどない疼痛限界値の60%を刺激強度に設定したことが、結果として、一般的な刺激強度の必要条件とされる感覚閾値(予備実験では平均4.7mA)の3倍以上の刺激ともなり、安定した波形を得ることができたと考えられる。
波形分析においては、N19,P28,N30,P35,N42,P53の各成分が全例において、脛骨神経刺激SEP波形に比べ、腓腹神経刺激SEP波形において各頂点潜時が延長しており、また、N19における振幅の低下が観察された。通常の検査において、このような現象が起こりうる要因は、刺激強度が不十分、インピーダンスが適切な値まで低下していないこと、または、機器の周波数帯域設定が不適切であることなどが挙げられる。今回の基礎実験で腓腹神経刺激SEPは脛骨神経刺激SEPより疼痛閾値が低いため多くの被検者で脛骨神経刺激よりも刺激強度は低かったが、脛骨神経刺激と同じ刺激強度で腓腹神経刺激SEPを測定した例でも各頂点潜時の延長および振幅低下が観察されたことから、刺激強度による影響は考えにくい(図3)。また、インピーダンスの値は一様に3K?以下であり、また機器設定も脛骨神経刺激SEPと同様であるため,その要素は考えにくい。したがって、その相違は生理学的および解剖学的な要素により生じると考えられるが、今回の実験データのみからは明確な解答が導き出せず、今後の研究課題としたい。

表1 脛骨神経刺激SEPと腓腹神経刺激SEPにおけるTh12(N19)の振幅


腓腹神経刺激によるSEPのN19の振幅は、脛骨神経刺激によるSEPのN19の振幅より、
有意に小さかった。(paired-T test P<0.01)
表2 脛骨神経刺激SEPと腓腹神経刺激SEPによる各頂点潜時と中枢伝導時間

各潜時および中枢伝導時間(CCT)とも腓腹神経刺激SEPで統計学的に有意に延長していた。
(paired-T test P<0.01)

     図3 同等の刺激強度における脛骨神経および腓腹神経によるSEP波形の比較

 図に51歳男性の両神経刺激により得られたSEP波形を示す。いずれも各ピークが明瞭に導出されている。なお、本症例において刺激強度はいずれも20.0mAと同値であったが、N19の振幅の低下および、各ピークの潜時はいずれも腓腹神経刺激SEPで延長していた。
Y 結語
腓腹神経刺激SEPを臨床に応用できる検査法として確立させるため、基礎的検討を行った。今回の基礎実験で脛骨神経より腓腹神経が疼痛閾値は低く、その結果から適切な刺激強度を求めたことが、腓腹神経刺激SEPの全例において、良好な波形を得ることができたと考えられる。また、幅広電極を使用し、その電極における疼痛限界値の60%という刺激強度の設定は感覚閾値の3倍以上の刺激であり、また、再現性が良好で安定した波形を得ることができたことから判断して、各ピークの振幅を飽和させるには十分であったと思われた。
今回の基礎的検討で腓腹神経刺激SEPは、被検者に苦痛を与えることなく良好な波形を導出することができた。一般的に行われている脛骨神経刺激SEPでも下肢感覚機能の評価は十分であるが、検査法と正常値設定を確立させることで、脛骨神経による検査が不可能な場合に、腓腹神経を代用して得られる臨床情報が有用になるものと考えられた。

 本論文の要旨は、第28回千葉県臨床衛生検査学会において報告した。

■文献
1) 幸原伸夫 木村 淳:神経伝導検査と筋電図を学ぶ人のために,第一版,101-102,医学書院,東京,2003.
2) 才藤栄一 ほか:脳血管障害患者における体性感覚誘発電位‐感覚障害・運動麻痺との関係‐,リハビリテーション医学,1989;5:141−148.
3) 辻内和人:脳血管障害患者の下肢感覚機能と体性感覚誘発電位に関する研究,リハビリテーション医学別冊,2000;5:274-281.
4) 高橋 修 ほか:神経生理検査の基本手技,体性感覚誘発電位検査における記録法と臨床応用,医学検査,2006;5:672-675.
5) 園生雅弘:臨床誘発電位ハンドブック,第一版,116-117,中外医学社,東京,1998.
6) 柿木隆介:臨床誘発電位診断学,第一版,213,南江堂,東京,1990.

<<目次欄へ


施設訪問
東京歯科大学千葉病院

今回の施設訪問は、6月19日に東京歯科大学千葉病院に訪問させていただきました。
東京歯科大学は、1890年に高山歯科医学院として創設され、東京歯科医学院時代を経て、1946年に現在の東京歯科大学となった、100年以上もの歴史のある大学です。

(東京歯科大学正門より)
今回訪問させていただいた千葉病院は、1981年、大学の水道橋から千葉市美浜区への移転を機に併設されました。病床数は40床、1日の来院患者数は1000人弱で、歯科大学の付属病院として、良質で高度な歯科診療を行うとともに、地域歯科医療の中核としての役割も担っています。
さて、今回“歯科の検査室”を訪問させていただいたわけですが、『歯科に行って検査(?)』といまいちパッと来ない方がほとんどではないでしょうか。思い浮かんだとしても、口腔外科に関する検査くらいの方が多いはず。というわけで、今回は普段なかなかお目にかかることができない歯科医院の検査室を覗かせていただき、様々な特殊検査があることを教えていただいたので、あわせてご紹介したいと思います。
検査室は、1階の正面玄関から入って左手奥にあり、採血台や生理機能検査、病理検査を含め、ほとんどの検査機器がこの部屋に揃っていました。スタッフは、副医院長兼臨床検査部長で病理医の井上孝先生のもと、才藤純一技師長以下男性2人女性3人(パート1人含む)の計6人の臨床検査技師が各担当に分かれ、検査室内検査から出張検査まで、すべての検査を担っていました。
(臨床検査部 入口 田村美智技師)
患者の8割以上が一般歯科治療目的で、残り2割弱が口腔外科・内科の患者で、検査は主に後者の患者さんから出されるそうです。
検体数は1日60件程度なものの、少人数で幅広くこなさなければいけない大変さを感じました。
また、採血業務は当初より臨床検査技師がすべて行なっており、病棟採血もローテーション制で、毎朝1人7時半に来て採血をし、9時半までに検査結果を病棟に返し4時半に帰るという体制をとっているそうです。
続いて検査室内の紹介に移りたいと思います。採血室は検査室の入口に隣接されており、採血はすべてオーダリングシステムを導入し、検査結果もほとんどオンライン化されていました。
血液検査ではADVIA120(バイエルメディカル)、凝固検査はCoag-A-Mate MTX(ビオメリュー)、生化学検査はDimensionAR(デイト・ベーリング)を使用しており、血液検査・生化学検査に関しては、夜間検査が出た場合、臨床医が使用できるようになっています。
(血液検査中の萩田恵子技師)
また、免疫学検査はBN ProSpec(デイト・ベーリング)を用い、この機器でプレアルブミンを測ることにより、高齢者等の栄養状態の検査も行なっているそうです。さらに、千葉県で初めて導入されたLumipulse S(フジレビオ)では、HBs・HCV・HIV・梅毒の検査が行なわれていました。
生理機能検査では、心電図と呼吸機能検査の機器が採血台の後ろに隣接されていました。
(採血台(手前)と生理機能検査(奥))
また、検査の中で比較的多く割合を占めているのが病理検査で、細胞診は年間1000件、組織診は水道橋病院のものも送られてくるので、合わせると年間2500〜2600件あり、その他にもSRLと提携して全国から口腔領域の病理検査が送られてきているそうです。
(病理検査 包埋中の秦暢宏技師)
術中迅速診断では、手術室とモニターでつながっていて、マクロ像とミクロ像の送受信ができるようになっており、結果を口答で伝えるとともに、相互に画像を確認できるシステムになっていました。
そのほかに、口腔領域の特殊検査として、むし歯予防検査(カリエスリスク判定試験)・根管内培養検査・味覚検査・ドライマウス検査・歯科金属アレルギー検査等がありました。これらの多くは井上先生と才藤技師長が長年にわたって開発してきたものだそうです。
むし歯予防検査(カリエスリスク判定試験)は、患者の唾液を採取し、pHや流出量、その中に含まれるウイルス・細菌・真菌等を調べ、総合的にむし歯のなりやすさなど口腔内の状態を検査しています。
根管内培養検査は、歯と歯肉の間にペーパーポイントという紙を入れ培養し、感受性試験を行ないます。これによって歯の根っこの中にいる細菌の種類を調べ使用する抗生物質の種類を決めています。
味覚検査は、技師が外来等患者の下へ出向いて、出張検査を行なっています。味覚異常は、体内の亜鉛の減少によって起こることがあると言われていますが、特に高齢者の方など、低栄養の状態の患者に対しては、通常の舌での検査以外にも、血中の亜鉛量の測定も行なっています。
ドライマウス検査は、唾液の分泌量を測定します。ドライマウスは、ストレスや加齢、各種疾患で起こり、唾液の量が減少したり、その性質の変化によって生じるそうです。唾液量の減少はむし歯の増加や歯周病の原因、さらには口臭や味覚の異常を生じる場合もあります。また、唾液とともに、涙液の分泌量も測定することにより、膠原病やシェーグレン症候群などの全身疾患の発見にもつながるそうです。
歯科金属アレルギー検査は、皮膚科同様パッチテストを行います。現在ルーチンで行われているのは、17種類の金属だそうです。年間1000人ほどがこの検査を受けていますが、歯科金属アレルギーによって、扁平苔癬や掌蹠膿疱症などの全身的な疾患を引き起こす可能性もあり、皮膚科から送られてくるケースもあるそうです。
今回施設訪問させていただいた折に、井上先生と才藤技師長に歯科領域の検査の現状について、たくさんお話を伺うことができました。
(井上孝先生(左)と才藤純一技師長(右))
歯科は、内科・外科に次ぐ3番目に多い診療科です。また歯科の特徴として、自費率が非常に高い診療科でもあります。東京歯科大学千葉病院では3割強の自費率だそうです。
井上先生と才藤技師長が開発した歯科特殊検査も、現在そのほとんどが自費で行われています。これらの検査をより広めるためには、保険適応の認可を得なければなりません。
そこで、全国の歯学部で初めて臨床検査学教室を作った東京歯科大学を中心に『口腔検査学会』を立ち上げようと、現在準備が進んでいるそうです。井上先生は、この学会を立ち上げ、開発した口腔特殊検査が保険適応の認可を得ることができれば、さらに歯科特殊検査が普及し、患者の『歯医者に来て何で検査するの?』という考え方も徐々に変わっていくだろうとおっしゃっていました。
歯科領域の検査は、これからニーズが高まっていくものです。その中で、井上先生と才藤技師長が考える口腔検査の将来への展望は、開業医を通じて検診事業を行うことだそうです。ほとんどの人がかかったことがあり、簡単に行くことのできる歯科医院で検診を行うことにより、虫歯予防や癌検診だけでなく、全身の疾患の発見にもつながります。そしてそれが医科の中での歯科の使命だと井上先生はおっしゃっていました。
また『インプラント』の普及により、感染の危険性などから、開業医が臨床検査技師を雇うケースも増えてきおり、地域の歯科医院でも、高度で良質な検査の提供も可能になってきています。さらに、高齢化時代に対応して、安全な治療のための管理や、味覚障害から亜鉛不足が発見されたなど、高齢者の栄養管理にも口腔検査が役立ってきます。
これから、東京歯科大学が口腔に特化した検査の発信地となり、さらなる口腔検査の発展・普及を私自身も願っています。
(校舎裏グラウンドからの全体像)
最後にお忙しいところ訪問させていただいた、井上孝先生、才藤純一技師長をはじめ、臨床検査部の皆様ありがとうございました。 (白井 三友紀、丸子 孝之)




<<目次欄へ


研究班紹介
病理検査研究班の紹介

病理検査研究班は、井浦 宏班長(千葉市立青葉病院)以下11名の委員と歴代班長・委員経験者はじめ、県内約50施設の病理検査担当の会員の協力の下、活動しています。活動の中心となる研究班の委員構成も、今期は若干の交代があり、多少若返った印象があるのではないでしょうか?(写真の方をご参照ください。)

続いて、実際の活動について紹介したいと思います。活動内容は大きく2つ、研修会の計画・開催と千臨技精度管理が挙げられます。
 研修会は、@病理検査の基礎・技術的な内容、Aひとつの臓器をとりあげ、疾患と病態・細胞像・組織像等の臨床的な内容(生活習慣病予防に関する講習)、B精度管理報告と主に年間3回を計画しています。多くの施設では病理・細胞診は1つの検査室で行われているのが実際であり、病理組織と細胞診の双方からの見方・考え方を理解することを目的として、これら3回の研修会は、細胞検査研究班との合同開催の形をとっています。
 先日6月23日(土)には、『ミクロトーム』と『自動染色装置』をテーマに、第1回の研修会を開催しました。今回は、フェザー安全剃刀とサクラファインテックジャパンの御協力で、効果的なミクロトーム替刃の使い方や薄切時の問題と対策、最新の自動染色装置の性能や開発段階での検証等について、私達の日常業務に密接した内容で講演して頂きました。自動染色装置は、会場の市立青葉病院検査室の実物を見ながらの説明もあり、充実した内容の研修会だったと思います。第2回研修会は、生活習慣病予防に関する講習として臨床的な内容で、10月20日(土)の予定です。多数の参加をお待ちしています。
 そして・・・たっぷりと勉強した後には、『お楽しみ』もなければなりません。私達、病理検査研究班最大の特徴・・・研修会には(ほぼ)もれなく懇親会がセットで付いてきます。『そっちがメインなんだろ?』という声も聞こえてきそうですが・・・敢えて否定はしません。この懇親会は、若い方からベテランの方まで年齢関係なく、病理検査をこよなく愛する者の交流の場です。酒を飲んでバカな話をするだけではなく、『日常業務に関してのチョッとした事』とか『こんな時、他の施設ではどうやっているの?』とか、『あらたまって電話して聞くほどではないんだけど・・・』というような事も気にせずに聞ける、貴重な情報交換の場でもあります。かつては、話が盛り上がって気付いたら夜が明けていた・・・なんて事もあったそうですが、最近は終電を意識しつつ楽しんでいます。(・・・と書きながらも、ちゃんと終電で帰っているかどうかは不明です。)
精度管理は千臨技の一大事業ですが、研究班にとっても、秋の試料発送に先立って、使用する検体の準備に始まり、標本の回収・染色の評価・結果の報告会・・・と、夏から年明けまでの長く大きな活動です。病理部門の精度管理(染色)は他の検査とは異なり、結果は数値で表すことが困難ですが、客観的な評価をする為、染色性等の評価項目に基準を設けて点数化し、評価・集計をしています。しかし、最終的には精度管理報告をテーマにした研修会(毎年2月頃の予定)で、参加者全員で標本を観察して評価しています。実際に他施設の標本を見て、また使用する試薬・調整方法や染色手順等を参考にすることによって、染色性が改善した事例もありました。勿論、染色法だけでなく固定〜包埋・薄切等についても精度管理の一環としてデータを集めていますので、色々な施設からアドバイスを受けることが出来ます。病理研究班では、第1回から現在まで多数の施設の参加・御協力により、大きな成果を挙げています。

 以上、簡単ではありますが病理検査研究班の紹介をさせて頂きました。当研究班では、『会員同士のつながりを大切に』をモットーに日々活動しています。普段は病理を担当していない方でも興味のある方大歓迎!です。また、『仕事の都合で研修会には間に合わない』という方、もちろん懇親会だけでもOKです!
 またこの他、(当番制なので年によっては主催者側にもなりますが)関東甲信地区医学検査学会や関東甲信地区病理検査研究班の講習会への参加の際には、ツアー(?)を組んだりもしていますので、興味のある方は是非、近くの研究班委員に声をかけて頂きたいと思います。
<<目次欄へ