千臨技会誌 2008 No.2 通巻103

みて見て診よう 小児腫瘍の細胞診(3)
−肝芽腫 Hepatoblastoma−
千葉県こども病院 検査部病理科
有田茂実 (Shigenari Arita)
施設訪問 東京女子医科大学八千代医療センター
研究班紹介 血清研究班の紹介 千葉県立東金病院
森 川 一 裕



みて見て診よう!
小児腫瘍の細胞診(3)
−肝芽腫 Hepatoblastoma−
千葉県こども病院 検査部病理科
有田茂実 (Shigenari Arita)

【どんな疾患かみよう!】
 小児肝癌は,白血病を含めた小児悪性腫瘍の約2.5%を占める(図1)1)2).小児肝癌は,乳幼児にみられる胎児性腫瘍と,主として学童以上にみられる成人の肝癌に相当する腫瘍の二つに大別される.前者を肝芽腫,後者を肝細胞癌と称し,肝芽腫が約80%を占めている.肝芽腫は,小児三大固形悪性腫瘍のひとつで,神経芽腫,腎芽腫(ウィルムス腫瘍)に次いで多い.日本小児外科学会悪性腫瘍委員会によると,肝芽腫の2006年の登録数は18例で,過去20年間(1987〜2006)の1年当りの平均登録数は25例である
3).但し,実際にはこの倍以上の発生があるものと推測されている.

【臨床所見をみよう!】
 主に腹部膨満・腹部腫瘤として発見される.診断としては超音波,CT,MRIなどの画像検査(図2)と腫瘍マーカーの血中 -fetoprotein(AFP)値の検索が主軸となるが,最終診断には肝生検による病理組織診断が必要となる.血中AFP値は殆どの症例で高値を示す.治療は主に摘出術と術後化学療法であるが,最近では術前化学療法を行うことが多くなっている.5年生存率は約70%で,完全切除症例の予後は良好である.好発年齢は,新生児期から乳幼児期で,約90%は2才以下の発症である1)2).性差は男児にやや多い.病期は,局所進展度・血管侵襲・リンパ節転移・遠隔転移の有無などにより,T期〜W期に分類される.予後不良因子としては,特に占拠区域が重要で,腫瘍が全ての肝区域にある場合や,肝門部にある場合は切除不能で,その後の治療を困難にさせる.成人における肝細胞癌との大きな違いは,肝炎ウィルス(HBV,HCV),アルコール,薬剤などの後天的因子と関係しないことや肝硬変,黄疸を伴わないことがあげられる.


【組織像をみよう!】
 通常,腫瘍は圧排性増殖を示し,既存の肝組織との境界が明瞭な塊状型や結節型を呈することが多い.割面の肉眼所見は,小結節状を示し,線維性隔壁や出血巣など多彩な形状を示す.非腫瘍部の肝臓に肝硬変は認められない(図3)2).光顕的には,主として胎生期の肝細胞に似た上皮性細胞で構成され,これに種々の非上皮性細胞・組織が混在する.組織診断基準は,上皮成分の分化の程度により,高分化型,低分化型,未熟型の3つの組織型に分類される.
 高分化型(いわゆる胎児型)は,胎生期の肝細胞に類似した立方形〜多面形の均一な細胞で,大きさは正常肝細胞に比べて小さい.細胞質は豊富で,好酸性のものと淡明なものがある(図4,5).腫瘍細胞は2〜3層からなる索状構造を形成し,類洞様構造も認められることが多い(図4).造血巣やvascular lakeという血液を入れて拡張した腔がしばしば認められる.
 低分化型(いわゆる胎芽型)は,主に短紡錘形の細胞で,細胞質は少なくN/C比が高く,正常肝細胞に比べて小さいが,大小不同がみられる.核は濃染し,高分化型よりも分裂像が多くみられる.腫瘍細胞は管状あるいはロゼット様配列を示すが(図6),細胞間の結合性が乏しく,vascular lakeはしばしば認められる.
 未熟型(いわゆる未分化型)は,小型で特徴に乏しい円形〜卵円形細胞が,特定の組織構造を示さず密に増殖する.細胞質に乏しく濃染する核のみが目立つ.悪性リンパ腫や神経芽腫との鑑別を要する.
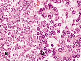
 時にみられる腫瘍内成分として,紡錘形細胞,類骨様組織などの間葉成分および髄外造血巣がある.紡錘形細胞は,線維芽細胞様の長〜短紡錘形細胞である(図7a).類骨様組織は,好酸性基質の中に多形性〜紡錘形の細胞が取り込まれ,類骨に似た組織像を示す(図7a).髄外造血巣は,胎児期肝組織によくみられる所見であるが,肝芽腫でも腫瘍内に散在性にみられ,赤芽球,骨髄球および巨核球などの幼若造血細胞からなる(図7b)
 免疫染色では,AFP抗体は低分化型に陽性所見が強く,高分化型および未熟型細胞では弱い1).また分化した肝細胞や高〜中分化型肝細胞癌に陽性のマーカーであるhepatocyte抗体は,肝芽腫では高分化型に弱陽性,低分化型および未熟型細胞では陰性であることが多い.

【細胞像をみよう!−上皮成分】
 高分化型では,平面的集簇ないし索状構造を示唆させる集塊などを形成する.パパニコロウ染色(Pap.染色)圧挫標本ではそれらの立体構造の観察もできる(図8).細胞質が豊富で,多くはライトグリーンに顆粒状に好染する.細胞質内のグリコーゲンや脂質が溶出して明るい細胞も混在するが,組織診標本(HE染色)ほど明瞭に識別はできない.細胞境界は比較的明瞭である.N/C比が低く,核小体はあまり目立たない
(図9)
 低分化型は,高分化型よりもさらに細胞サイズの小さい腫瘍細胞が主体をなす.N/C比が高く,細胞質の乏しい小型類円形細胞が疎結合性集団として出現し,時に管腔ないしロゼット配列を示唆する集塊を形成する.核は類円形で大小不同がみられる.クロマチンは細顆粒状で著明に増量している.核小体は明瞭であることが多い.細胞境界は不明瞭である(図10).高分化型,低分化型ともに殆どの腫瘍細胞は単核であるが,時に2核以上の多核細胞もみられる.

【細胞像をみよう!−間葉成分,その他】
 腫瘍内に時にみられる腫瘍内成分として,紡錘形細胞,類骨様組織などの間葉成分および髄外造血像があり(図11),組織診標本と同等に観察できる.

【細胞像のポイントをまとめよう!】
 正常の肝細胞に比べて細胞サイズが小さく,また成人肝細胞癌よりも多形性・異型性が乏しいのが特徴といえる
(図12).出現様式,細胞形態などの細胞学的特徴を把握する事で,上皮成分の分化の程度,種々の細胞成分が比較的明瞭に識別できる.

【細胞診の役割をみよう!】
 当院では術中迅速診断に役立っている.凍結組織切片は挫滅などのアーチファクトで細胞形態を掴み得ないこともあるが,細胞診では細胞形態が良好に保持されている上,組織診に比べ,標本作製が容易で迅速性に優れるという利点がある.またPap.染色圧挫標本では,立体構築の観察が可能で,組織診標本では得ることのできない情報を得ることができる.
 小児腫瘍は特殊で日常業務ではあまり目にする機会がないと思われる.また細胞像についての文献も非常に乏しいので,今後の知識として役立てていただければ幸甚である.


謝辞;
稿を終えるにあたり,ご助言をいただきました当院検査部部長堀江弘先生,検査科中山茂科長ならびに千葉医療センター永井雄一郎先生に深謝いたします.

参考文献;
1)新訂版 小児腫瘍組織分類図譜第4篇肝・胆・膵日本病理学会 小児腫瘍組織分類委員会 金原出版 1998.5
2)小児外科病理学 文光堂 1995.7
3)日本小児外科学会雑誌 第44巻 第1号 2008.2
〈図〉
図1 主な小児悪性腫瘍の発生頻度
日本小児がん登録:1969〜1988年(20年間)より
図2 造影CT画像
右葉S5,S6,S7を占拠する
直径120×80×80mm大の肝腫瘍
図3 肝芽腫の割面所見(図2と同一症例)
腫瘍は既存の肝組織を圧排性に増殖し,
境界明瞭な塊状腫瘤を形成.
割面は多彩で,暗赤色の出血巣が多数みられる.
図4 高分化型肝芽腫の組織像(HE染色,×20)
索状構造を主体とする.

図5 高分化型肝芽腫の組織像(HE染色,×40)
類円形の核および豊富な細胞質を有する.
核異型は目立たない.
細胞質は好酸性と淡明なものが混在する.
図6 低分化型肝芽腫の組織像
(HE染色,a×20,b×40)

管腔ないしロゼット様構造がみられる.
N/C比が高く,核小体が明瞭である.
図7 間葉成分の組織像(HE染色,a×10,×20)
a 紡錘形細胞および類骨様組織,b 髄外造血像
図8 高分化型肝芽腫の細胞像(Pap.染色,×20)
索状構造を示唆する集塊.
立体的構築が観察できる.
図9 高分化型肝芽腫の細胞像(Pap.染色,×40)
敷石状集団. 核は類円形.豊富な細胞質は
顆粒状で,ライトグリーンに好染する.
組織像ほど細胞質の好酸性と
淡明なものの区別は明瞭でない.
図10 低分化型肝芽腫の細胞像
 (Pap.染色,×40)

管腔ないしロゼット形成を示唆する集塊.
高分化型に比べ細胞質が少なく,N/C比が高い.
図11 間葉成分および時にみられる成分の
細胞像(Pap.染色,a×20,b×40)

a 紡錘形細胞,b 類骨様物質

図12 成人肝細胞癌(中分化型)の
細胞像(Pap.染色,×40)

腫瘍細胞は多形性を示す.肝芽腫と比較すると,
著しい大小不同性がみられ,
巨細胞,多核細胞もみられる.

<<目次欄へ


施設訪問
東京女子医科大学八千代医療センター

 今回の施設訪問は2月22日に東京女子医科大学八千代医療センター(以下八千代医療センターと略)を訪ねさせていただきました.所在は八千代市大和田新田に位置し,東葉高速鉄道八千代中央駅から徒歩9分程で小高い丘に真新しい病院が目に入ってきます.
 八千代医療センターは,東京女子医科大学の100年余りの歴史と,「至誠と愛」を基本理念とし,平成18年12月に開院されました.八千代市における急性期医療を担う総合的な病院として24時間365日体制の救急医療,小児医療では地域医師会医師との協力で夜間の小児急病センターを開設し,新しい試みでトリアージシステムによる診察を導入しています.また,総合周産期母子医療センターはMFICU,NICU,GCUなどの集中治療室を備えた病床数355床の高機能病院です.

病院全景 入院棟
4階会議室前ロビーから見た入院棟 3階リハ室前庭園

 まず,私たちは岩下宏宣臨床検査室長の案内で外来棟4階にある会議室で検査室の概要を伺いました.検査室は職員26名とMCMブランチ11名の37名で運営されているそうです.夜間,輸血検査(病院職員)は17:00〜翌9:00の勤務ですが,検体検査室(MCMブランチ)は8:30〜翌8:30までの24時間勤務だそうです.生理・輸血・病理・内視鏡・聴力検査を26名の職員で行い,検体検査は一般・生化学・血液・血清・微生物検査を11名のブランチで運営されているそうです.検査データは各部門のシステムから病院システムに結ばれ電子カルテ化せれています.また,チーム医療として院内のNSTグループ,糖尿病教室への協力も行っているそうです.

採血室 検体検査室
生化学自動分析装置 多項目自動血球分析装置

 最初に,採血室から見学させていただきました.広々とした採血室に採血台は7台設置され自動採尿採血準備システムで管理され4人の技師で1日150から170件の採血を行っていて,看護師は配置されていません.将来は,7台あるすべての採血台を稼働させたいそうです.また,検体の6割が診察前検査なので採血された検体は採血室から直ぐそのまま隣接された検体検査室で到着確認され,それぞれの検査に直ぐに入れるように搬送時間の無い構築になっています.検体検査は,2台の生化学自動分析装置,多項目自動血球分析装置,全自動血液凝固測定装置,全自動免疫測定装置,全自動血糖・グリコヘモグロビン測定装置,尿自動分析装置で行われていました.

自己採血室



 輸血検査は,3人で対応しているそうです.血液製剤は検査室で管理され,交差試験は全自動で行われていました.隣接された自己採血室では,手術予定患者様の採血を外来時に週4〜5件行っているそうです.

 微生物検査室は,バイオハザードに準じて前室から検査室に入室する構造になっています.同定・感受性検査・血液培養装置はシステム化されています.
 内視鏡検査室では,4人の臨床検査技師(内2名が有資格者)と2.5人の看護師で行われ,夜間休日は待機を実施し緊急時に対応しているそうです.検査技師が中心になり内視鏡検査介助を実施している施設は県内ではまだまだ少ないと思います.これからの検査技師の活躍する場所のひとつとして私たちも強く考えさせられました.

生理検査受付 生理検査室中待合
心電図室 超音波室

 生理機能検査は,心電図・運動負荷・ホルター心電図装着・超音波・脳波・筋電図・呼吸機能室にそれぞれの部屋に別れています.心電図室は心電図検査・トレッドミル運動負荷検査・ホルター心電図装着を3人で行っています.ホルター心電図の解析は,現在は解析センターにお願いしているそうです.超音波室は心臓エコー1名,腹部・体表エコー2名で行っています.装置は同じメーカーで統一されており,さらに院内の超音波機器はすべて同メーカーだそうです.統一することによって経済的・メンテナンス的にコストパフォーマンスが良いとのことです.筋電図検査・脳波検査・呼吸機能検査は,それぞれ1名で担当しているそうです.また,4月より睡眠時無呼吸症候群(SAS)の検査からCPAP導入等関わる検査もおこなうそうです.

自動免疫染色装置Bond-maX エンベディングコンソールシステム
 つぎに,手術室に隣接された病理検査に伺いました.手術室から直ぐに検体がとどき細胞診・病理迅速診断や臓器写真撮影,組織スライド標本作成を3名で行っているそうです.病理検査はシステム管理され,病理医の先生から顕微鏡を覗かないでシステムの画面上で診断ができるとお話を伺いました.これはマイクロスコープレス,バーチャルスライドといいスライド標本を高性能スキャナーで読み込み,画像上で診断できるシステムだそうです.解剖室は,1階にあり年間15例の症例だそうです.使用したキシレン・ホルマリンは環境を考えてリサイクル処理機にかけ再生利用しているそうです.

総合周産期母子医療センター
 つぎに,総合周産期母子医療センターを見学させていただきました.このセンターは,母体・胎児部門と新生児部門で構成されており,胎児から新生児への一貫とした診療を行うそうです.また,NICU・GCUには最新の医療システムが設備され高度専門医療を行うそうです.

検査室の皆様
 最後に,検査室の皆さんに集まっていただき検査室長を囲んで集合写真を撮りました.八千代医療センターの検査室は内視鏡検査・専門診療部の検査などを担当し,チーム医療の観点から積極的に現場に参加されている強い印象をうけました.
 今回はお忙しいところ訪問させていただいた岩下宏宣臨床検査室長をはじめ,検査室の皆様のご協力で無事に取材を終えることができ心から深謝いたします.
                          (小川 中,佐藤 洋子,平田 哲士)

<<目次欄へ


研究班紹介
血清研究班の紹介
千葉県立東金病院
森 川 一 裕

 今回で3回目となりました研究班紹介は、血清研究班を紹介させていただきます。
 血清研究班は、現在9名の班員で活動しており、4月から小鮒班長のもと新しい体制となりました。主な活動は2つあります。研修会の開催と千臨技精度管理事業です。
 研修会は年2回開催しています。今までにHBV、HCV、HIVなどの感染症や甲状腺の検査をはじめとした専門的な内容から、初心者にもわかりやすい免疫反応の基礎的な内容まで様々な研修会を開催してきました。また、研修会には多数の会員の方々に参加していただき感謝しています。これからも日常検査に必要な知識や最新情報の取得ができるような研修会の開催ができるように努力していきます。

研修会の様子
 続いて精度管理ですが、多くの施設からの参加をいただくためにHBs抗原、HCV抗体、梅毒抗体の感染症項目の精度管理を実施しています。毎年夏頃から準備が始まります。試料の調製は班員が1カ所の施設に集まり、測定・調製を繰り返し行い試料が完成します。精度管理実施後、各施設からの回答をまとめ、報告書を作成し終了となります。昨年度の精度管理の試料では、フィブリンが析出してしまい各施設の担当者に大変ご迷惑をおかけしました。この場をおかりしてお詫び申し上げます。
 最後になりましたが、血清研究班では随時班員を募集しています。血清検査を担当してなくても問題ありません。お手伝いしてくださる方がいましたら、是非近くの班員に連絡ください。お待ちしています。

平成18・19年度血清研究班委員
 

<<目次欄へ