千臨技会誌 2010 No.1 通巻108

みて見て診よう 超音波検査で脂肪肝を,みて,見て,診よう(4) 旭中央病院 中央検査科
関根 智紀
研  究 当センターにおける抗酸菌の分離状況と薬剤感受性試験について 千葉県がんセンター 臨床検査部
尾 郁子
施設紹介 千葉市立海浜病院 中村  卓 
研究班紹介 臨床化学検査研究班 末吉 茂雄
コーヒー
ブレイク
実際に経験した“受け入れ拒否” 匿名会員



みて見て診よう!
超音波検査で脂肪肝を,みて,見て,診よう(4)
旭中央病院 中央検査科
関 根 智 紀

【はじめに】
 最近,肥満や糖尿病さらに高血圧そして脂質代謝異常などメタボリック項目が注目されている.身近なところでは,お腹に手を当ててみると少々気になるのが脂肪肝である.脂肪肝にはさまざまな原因があるが,一般的には飲酒によるアルコール性脂肪肝と単純性脂肪肝(非アルコール性)に大別される.アルコールに由来しない単純性脂肪肝はnon-alcoholic fatty liver disease(NAFLD)と総称されるが,このNAFLDの中に炎症と繊維化を伴い肝硬変そして肝がんにいたる進行性の病態であるnon-alcoholic steatohepatitis(NASH)もある.
 今回は,超音波検査で非アルコール性の脂肪肝を取りあげ,超音波検査で脂肪肝の一体何がわかるのか?「みて,見て,診よう」について触れてみたい.

【脂肪肝を“みて”みると】
 肝臓は茶褐色を呈し,正常でも重量比で約2〜3%の中性脂肪が含まれているが,HE染色標本において有意な脂肪化の変化は見られない(図1.2).この中性脂肪の含有量が一定以上に増加すると脂肪肝となり,肝臓は黄色調が強く,割面は膨張して小葉構造は不明瞭となる.HE染色標本では脂肪滴として観察されるようになる(図3.4).正確には,アルコールによる脱水処理の際に中性脂肪が溶出し,空胞となった部分を脂肪滴としてとらえている.病理組織学的には,このような空胞が肝小葉の1/3以上を占めるものを脂肪肝と診断している.
 次に,血液生化学検査のデータをみてみると,脂肪肝では50〜90%に共通してASTとALTの上昇がみられる.肥満による脂肪肝では主として門脈域が障害されるのでAST<ALTとなる.逆に,アルコール性脂肪肝などでは肝小葉中心が障害されるのでAST>ALTとなるが特異的な検査値とは言い難い(図5).
 超音波検査を進めるとき,どんなに前情報がなくても目の前には患者がいる.超音波の探触子を握って検査前に患者を“みて”みると外見は容易にわかるものである.体型的には,@痩せている,A普通,B太っている,に3分類されるが,これだけでも検査前の情報としては十分である.一般人の,太っている,の体型では脂肪肝の可能性が高いからである.超音波検査による脂肪肝の観察は,「患者をみる」この時点からスタートしている.
 ピットホールは,痩せている,の体型であり,この痩せているにも脂肪肝が存在することがある.

【超音波検査で脂肪肝を“見て”みると】

 超音波検査による脂肪肝の特徴的な所見を“見て”みる(表1).
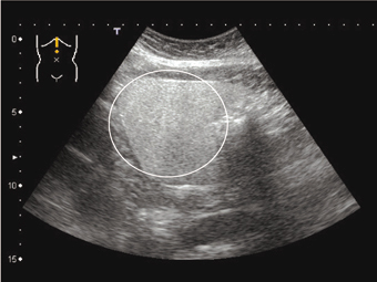
 超音波検査では,@高輝度な肝実質,A肝腎コントラスト,B肝内脈管の不明瞭化,C肝深部のエコー減衰,の所見が判読の主体になる.超音波検査での観察は,肝腎コントラストのみ陽性の場合は脂肪化の可能性が示唆されるが,超音波検査で脂肪肝と判読そして診断するには他の所見もみられた場合となる.
1.高輝度な肝実質
  肝細胞内への多数の脂肪滴が音響学的な反射体となる.このため,肝実質に微細な高エコースポットが増加して肝実質全体が高輝度となって観察される(図6.7).
  ピットホールは,腹壁の厚い症例においても高輝度になりやすいことがある.
2.肝腎コントラスト
  肝臓と右腎を同一画面そして同一深さに表示してエコーレベルの相違を見る「肝腎コントラスト」という評価法である.肝臓への脂肪沈着があきらかにある場合は,そのエコーレベルの差が肝腎コントラスト陽性となり,脂肪肝をみていくうえで重要な所見である(図8.9).
  ピットホールは,胆汁うっ滞,うっ血肝,急性肝炎の回復期などで肝実質のエコー輝度が上昇している場合がある.
3.肝内脈管の不明瞭化
  肝内には,肝静脈,門脈などが描出され,通常ではこれらの脈管は肝実質との境界が明瞭である.脂肪肝になると高エコースポットの散乱により,肝静脈,門脈の壁および内腔が不鮮明となりやすい(図10.11).
  ピットホールは,慢性肝障害で脈管の口径不同および狭小化が生じていると境界明瞭な描出が困難となりやすい.
4.肝深部のエコー減衰
  肝臓に強い脂肪の沈着が生じると超音波の散乱が著しくなり,肝の浅い部分では実質が高エコーとなるが,深い部分ではエコーの減衰がみられるようになる.(図12.13).
  ピットホールは,減衰の程度は脂肪化の量とほぼ相関を示すが,最近の装置の進歩(multi-frequency probe)により肝深部の診断能が飛躍的に向上した代わりに,軽度の脂肪肝では深部のエコーの減衰が得られなくなってきていることに注意する.逆に,皮下脂肪が厚いときには肝臓の脂肪化がなくても深部にエコーの減衰が生じるので注意する.

【超音波検査で脂肪肝を“診て”みると】

 肝臓の脂肪化は,一般的にはびまん性に生じるので超音波検査で判読そして診断することが容易である.しかし,脂肪の沈着も非びまん性として@区域性・不均一な脂肪化,A限局性低脂肪化域,B限局性脂肪化域,としてみられることがある.超音波検査で非びまん性脂肪肝をみると,ときに肝腫瘍と紛らわしいものがある.これらの症例においては,肝腫瘍との鑑別のためにも超音波検査で脂肪肝を“診て”みる判読力が求められる.
1.非びまん性脂肪肝
1) 区域性・不均一な脂肪化
  肝静脈を境とした区域性(segmenta1)に広がるもの,あるいは肝全体に不均一な地図状(geographic)に分布するものなどがある.軽度から中等度の脂肪肝に認められることが多い(図14).
2) 限局性低脂肪化域 (focal spared area)
  広範な脂肪化の中に低脂肪部が残存する.この部分の境界はやや不整の低エコー領域として観察される.軽度から中等度の脂肪肝にみられることが多い.好発部位は,胆嚢床近傍(胆嚢静脈流入部),門脈水平部腹側(右胃静脈流入部),肝静脈周囲などで門脈血流が欠如した部位にみられる(図15).
3) 限局性脂肪化域(focal fatty change)
  肝実質内に限局性の脂肪沈着を示すもので高エコー領域として描出される.肝円索に隣接してみられることも多く,同時に右胃静脈の還流領域である内側区でもfocal fatty change をみることもある(図16).
2.肝腫瘍との鑑別
  区域性の脂肪肝では脂肪の沈着が肝静脈を境に明確となり肝腫瘍との鑑別は可能である.しかし,不均一な脂肪肝では多発性の肝腫瘍などと区別が求められる.
  限局性低脂肪化域は広範な脂肪化の中に低エコーとして描出されるので低エコーを呈する肝腫瘍性病変との鑑別が問題となる.病変部内に門脈枝を示唆する血管構造の確認,造影エコー,後血管相で肝実質と同等の染影所見などから鑑別する.
  限局性脂肪化は高エコー腫瘍のように描出されるので,血管腫,肝細胞癌,転移性肝腫瘍との鑑別が問題になる.腺腫様過形成や肝細胞癌では脂肪沈着を伴うこともあり,特に肝硬変で限局的な脂肪化を伴う高エコー結節が観察されたら単なるfocal fatty changeと判読するより高分化型の肝細胞癌で脂肪沈着を生じている可能性があるので,他の画像検査で積極的に診断を進めることが求められる.
3.NASH(non-alcoholic steatohepatitis)
  超音波検査で単純性脂肪肝の中で予後不良とされるNASHを鑑別することは現時点で無理かと思われる.同様に,血液生化学検査においてもASTとALTが高い,血清レプチンが高い,インスリン抵抗性が高いなどの検査上の特徴は報告されているが,確診には肝生検による組織学的診断に頼らざるを得ない.しかし,超音波検査は最初の検査として単純性脂肪肝の拾い上げの役割が大きく,最近では肝機能が正常のNASHが問題となってきていることも考慮すると超音波検査はNASH診断の糸口になるかも知れない.

【まとめ】
 生活習慣病が深刻化しているなか,脂肪肝に目を向けて「みて,見て,診よう」を考えてみた.脂肪肝はあまりに身近な良性疾患であり,超音波検査でも診断が容易であるが,NASHまで考えると奥深い疾患で注意が必要である.
(ご協力を頂きました当院病理部に深謝致します)

表1 超音波検査による脂肪肝の特徴的な所見
図1 正常の肝臓
図2 正常肝のHE染色標本
図3 脂肪肝
図4 脂肪肝のHE染色標本
図5 トランスアミナーゼについて
図6 正常な肝実質
図7 脂肪肝での高輝度な肝実質
図8 正常な肝腎コントラス
図9 脂肪肝での肝腎コントラスト
図10 正常な肝内脈管
図11 脂肪肝での肝内脈管の不明瞭化
図12 正常な肝深部のエコー輝度
図13 脂肪肝での肝深部のエコー減衰
図14 区域性の脂肪肝
図16 限局性脂肪化域
図15 限局性低脂肪化域

<<目次欄へ


研  
当センターにおける抗酸菌の分離状況と
薬剤感受性試験について
千葉県がんセンター 臨床検査部
尾  郁 子  里 村 秀 行

Key words:非結核性抗酸菌,薬剤感受性試験

序文

 1970年代まで順調に減少してきた我が国の結核罹患率は,1980年頃よりその減少速度が鈍化を示し,1999年に「結核緊急事態宣言」が発表された.その後は再び減少している.それに対して,非結核性抗酸菌nontuberculous mycobacteria(NTM)症は増加傾向にあり,1997年国立療養所共同研究班の調査では新患の2割がNTM症であったと報告された1).近年の報告では結核の減少とあわせて抗酸菌症の30〜40%を占めるほどになった2)といわれる.また,基礎疾患のない中高年の女性に肺Mycobacterium avium complex(MAC)症が急増している.
 当センターでは,感染症の検査及び腫瘍との鑑別目的で抗酸菌検査が依頼される.今回,その分離検出状況について検討したので報告する.また合わせて感受性試験結果についても報告する.

方法
 検出状況は2000年〜2005年の依頼検体について,感受性試験は1999年6月〜2006年8月までの検出菌(128株)についてまとめた.培地は工藤PD培地(日本BCG),MGIT(BD),同定はコバスアンプリコア(ロシュ),DDHマイコバクテリア(極東),感受性はウエルパック培地A,B,P,S(日本BCG)を使用した.

結果
1.検体数・陽性率
 検体数は6年間で4043検体,そのうち抗酸菌陽性は184検体で,陽性率は4.6%であった.年別の陽性率は3.1〜6.1%,増減の傾向は認められなかった.
2.菌種別症例数
 年別の症例数は,2000年〜2005年でそれぞれ26,26,29,13,18,29例で,図1に菌種別割合を示す.特定菌種の増減の傾向は認められなかった.

図1 年別症例割合
3.6年間の全症例の内訳
 表1,図2に2000年〜2005年の全症例の内訳を示す.症例は全体で139例で,Mycobacterium(M.)tuberculosisとM.aviumの症例がそれぞれ3割,4割をしめていた(図2a).NTMは土壌や水中に存在し,また気道への定着もあるため,日本結核病学会非定型抗酸菌症対策委員会から出されている「肺非結核性抗酸菌症診断に関する見解−2003年」3)の細菌学的診断基準をあてはめると,59例となり,7割がM.tuberculosis,NTMが3割でおよそ4人に1人がNTMであった.NTMのうちM.aviumが最も多く,症例全体の2割を占めていた(図2b)
表1 2000〜2005の全症例の内訳
図2a 2000〜2005の全症例
図2b 2000〜2005の細菌学的診断基準を満たす症例
4.塗抹陽性検体数
 6年間で塗抹陽性は72検体(1.8%),その菌種別割合を図3に示す.菌種別ではM.tuberculosisと M.aviumが4割ずつを占めていた.72検体を,細菌学的診断基準を満たす症例にまとめると,図4に示す4菌種で52検体41症例となり,全体の3割がNTMであった.
図3 塗抹陽性 2000〜2005 72検体の内訳
図4 細菌学的診断基準を満たす塗抹陽性症例の内訳
5.細菌学的診断基準を満たす症例の性別と年齢分布(図5)
 M.tuberculosisは20歳代〜80歳代に分布し,男性に多く認められたのに対し,M.aviumは60歳代の女性に多く認められた.
図5 細菌学的診断基準を満たす症例の性別と年齢分布
6.陽性検体の菌種別材料内訳(表2)
 NTMはすべて呼吸器系材料から検出されていたが,M.tuberculosisは各種材料から検出されていた.
表2 陽性検体の菌種別材料内訳
7.感受性試験
 表3に感受性率(%)を示す.ウエルパック培地A・B,P・Sでは薬剤濃度が異なるため,別にまとめてある.感受性が良いと考えられるグループでは高い感受性率を示していたが,感受性が悪いと考えられるグループでは感受性率は低かった.また,多剤耐性結核は認められなかった.
表3−1 感受性率(%) ウエルパック培地A・B
表3−1 感受性率(%) ウエルパック培地A・B
表3−2 感受性率(%) ウエルパック培地P・S
考察
 年別で見ると陽性率や特定菌種の増減の傾向は認められなかった.2000年〜2005年の6年間の細菌学的診断基準を満たす症例の内訳は7割がM.tuberculosis4),3割がNTMで,我が国の現在の症例割合と一致していた.また塗抹陽性の割合も3割がNTMであり,これは2003年の日本結核病学会非定型抗酸菌症研究協議会調査5)の報告と同様の結果となった.すなわち,喀痰抗酸菌塗抹(ガフキー)陽性を結核と即断することはできない.はっきりとした増加傾向は認められなかったものの,当センターでもNTMの割合が多いと考えられ,今後もその割合が増えていく可能性はある.M.tuberculosisは各年齢層に認められ男性が多かった.NTMのうちM.aviumが最も多く検出され,60歳代の女性に多く認められた.現在肺MAC症は特に基礎疾患のない50代以降の女性の症例が60%以上を占めている2)といわれる.当センターでも中高年女性のMAC症の増加が推測された.M.kansasiiは30歳代〜40歳代の喫煙男性に多いと言われている.結果には示さなかったが当センターでは50歳代の男性に認められた.
 感受性試験の結果では,感受性が良いと考えられるグループでは,結果からも抗結核薬の併用療法により治療効果が期待されると考えられた.一方で感受性が悪いと考えられるグループでは,結果から治療薬の選択をするのは困難と考えられた.実際,その治療は臨床経験の集積やガイドラインに基づいて行われており,迅速発育菌では抗結核薬は選択されない.NTMに対して感受性試験方法が確立されていない現状では,臨床医から依頼があれば結核用の感受性試験で代用せざるを得なかった.アメリカ胸部疾患学会American Thoracic Society(ATS)からは固形培地を用いた薬剤感受性試験はM.kansasiiに対するリファンピシン(RFP)以外は信頼性はないと提唱され6),M.kansasii感染症に対するRFP,MAC感染症に対するクラリスロマイシン(CAM)以外のNTMに対する薬剤感受性検査の臨床的意義が疑問視されていた7).CLSI M24-Aにはそれらに対する試験的な勧告法が示された.結核菌検査指針20074)にはATSのNTMに対する薬剤感受性検査について紹介され,MACについては抗結核薬に対する感受性検査を推奨せず,マクロライドでの治療に成功しなかった場合にCAMの検査をする.M.kansasiiについてはRFPに対する検査のみを行う.迅速発育菌については抗結核薬に対する検査は行わない,と記されている.また,小川培地を用いる比率法は結核菌ならびにM.kansasiiのRFPに対する感受性を知るための検査法であり,M.kansasii以外のNTMについては小川培地を用いる薬剤感受性検査は行わないことが明記された.
 我が国では保険適応薬が少ないために,NTMに対する感受性試験法が開発されないという意見もある.微量液体希釈法によるNTMに対する感受性試験薬が発売されており,CAMのMICの測定(CAM耐性のMAC症は菌が陰性化しにくい8)といわれる),耐性化の監視,多剤耐性菌の解析に応用される9)ようである.多剤併用療法がとられることが多いため,単一の薬剤のMICから治療効果を予想するのは難しいと考えられる9).今後併用効果の評価が可能になるような試験法の開発が待たれる.
 NTM症は治療が困難であり,またHIVに関連した症例や免疫抑制剤の使用,悪性疾患等易感染者の増加などにより,今後もNTM症が増えていくことが予想される.NTMに対して,治療に有効な薬剤感受性試験方法の確立と,さらに有効な治療薬の開発が望まれる.

結語
 当センターでもNTMの増加,中高年女性のMAC症の増加が推測された.
 NTMに対する薬剤感受性試験の確立が望まれる.

 本稿の内容は第28回千葉県臨床検査学会(2007年)にて発表した.

文献
1)吉田耕一郎,ほか:非結核性抗酸菌の診断と治療.第52回日本医学検査学会モーニングセミナーT記録,2003
2)鈴木克洋:非結核性抗酸菌症.Medical Technology Vol.36 No.2:165-169,2008
3)日本結核病学会非定型抗酸菌症対策委員会:肺非結核性抗酸菌症診断に関する見解-2003年,2003
4)日本結核病学会抗酸菌検査法検討委員会:結核菌検査指針2007,2007
5)小川賢二,ほか:非結核性抗酸菌症の現状と展望.第17回日本臨床微生物学会イブニングセミナー4記録,2006
6)河原伸,ほか:抗酸菌の薬剤感受性試験.第12回日本臨床微生物学会モーニングセミナーV記録,2001
7)日本結核病学会非定型抗酸菌症対策委員会:非定型抗酸菌症の治療に関する見解-1998年,1998
8)白井正浩,ほか:クラリスロマイシン耐性のM.avium complex症の背景因子について.第81回日本結核病学会総会抄録,2006
9)山根誠久,ほか:Middlebrook合成培地での抗酸菌薬剤感受性試験(第4報)Nontuberculous Mycobacteriaを試験対象とする微量液体希釈法BrothMIC NTMの開発評価.臨床病理 50:381-391,2002




<<目次欄へ


施設紹介

千葉市立海浜病院

地域医療の充実をめざして
千葉市立海浜病院長 廣瀬 彰

今回は千葉市の千葉市立海浜病院を訪問させていただきました.

地域医療の充実をめざして
千葉市立海浜病院長 廣瀬 彰

 本院は,下記の基本理念等に基づき,充実した医療サービスを提供するために必要な診療機能を整え,患者様の「納得のいく医療」,市民のための病院をモットーに診療して参ります.

【病院理念】
これまでも〜納得のいく医療〜これからも
病 院 全 景
千葉私立海浜病院は千葉市の北西部に位置し,JR総武線新検見川駅より南に約4km,JR京葉線検見川浜駅より約1.5km,国道14号線から海岸へ向って約3kmの地点にあります.病院の西側には幕張メッセ,幕張新都心を臨み,病院に隣接して人工海浜検見川の浜が広がっており晴れた日には東京湾の向こうに富士山の姿を見ることができます.
施設は昭和59年10月12日に一般病床185床で開院し,昭和61年より301床の総合病院として現在に至っています.
 救急指定の施設として二次救急を輪番で受持ち,内科は月に7回,小児科は月の2/3を,残り1/3が二次救急のバックアップ施設として担当しているため毎晩フル稼働の状態です.また平成15年から千葉市夜間 外科系救急医療体制を開始し,後方支援病院として現在週3回の夜間緊急手術に対応する体制を整えています.

 まず施設の特色について特に臨床検査科に関わりの深い千葉市立海浜病院内 夜間救急初期診療部(以下,夜救診と略します)と産科・新生児科についてご紹介します.

夜救診
 夜救診は昭和46年4月から開設し,千葉市立海浜病院の中に設置されており市民の皆様
には「海浜病院の夜の救急」,「24時間営業の海辺の病院」として有名です.
 診療科は内科と小児科で,医師は千葉市医師会に所属する内科,小児科の医師(約210名)と,大学病院などの医師(約40名)が当番制で夕刻から朝方までの診療を担当します.千葉市医師会・千葉市薬剤師会・千葉県放射線技師会と地域の医師に加えて千葉市立海浜病院スタッフが協力して運営する部門です.
 ここでは急病の患者さんに対する初期の応急処置を行っており一日平均で約100名,年末年始には200名以上もの患者さんが受診されるとのこと.全国的に見ても他に類を見ないほど充実した夜間救急 初期診療機関と思われます.
 夜救診から提出される検体の全てを担当するのが臨床検査科の当直者で,数年前まではインフルエンザの抗原検査が一晩で100件を超える日もあったとか.
 しかしここ数年は見直しされて負担は軽減傾向にあるとのことでした.
夜 救 診
産科・新生児科
 千葉市立海浜病院は,産婦人科と新生児科の両科を有する千葉市内で唯一の病院です.
 産科では,新生児科と密に連携し,低出生体重児の出生が予測される妊婦さん(切迫早産,前期破水,多胎妊娠,合併症妊娠等)や,胎児に問題があると考えられる妊婦さんを重点的に診療しています.他院で未熟児の出生が予期されるなど,当院での診療が必要と思われる場合は,分娩前に母体を当院に搬送していただき,当科で分娩後直ちに新生児科医の診療が行える体制をとっています.また,妊婦さんがより安心してお産に向かうことができるように,平成20年4月より助産師さんが妊婦健診を行う助産師外来を開設しました.
 新生児科は,病気や未熟性をもって生まれた赤ちゃんの治療をする科で,生まれてから産婦人科を退院するまでのお子さんを対象として入院を受け入れています.ベッド数はNICU(重症児の治療室)12床,GCU(回復した児の治療室)30床,計42床です.医師6名,看護スタッフ約40名で治療にあたり,年間約300名(人工呼吸器使用110例)の入院を受け入れています.
 未熟児を出産することが予想される妊婦さんや,お腹のお子さんに何らかの病気が疑われている妊婦さんについては,産婦人科と協力してあらかじめ入院して頂き,出産の時点から治療を開始できるように努めています.また,院外で重症のお子さんが生まれる場合には救急車で医師と看護師が出向く,お迎え搬送を24時間体制で行っています.当院には小児外科や脳神経外科がないため,お子さんに手術を必要とする病気が見つかった場合には,千葉県こども病院,千葉大学附属病院などに搬送しています.
 入院中は,お子さんが家族から離れて治療を受ける事になるため,カンガルーケアという方法でご両親とお子さんの間の,きずなの形成に努めています.また,保育日誌を利用してご両親とのコミュニケーションを図っています.退院後の臨床心理士による発達検査やカウンセリングも行っています.
NICU
新生児 患者さん
それでは臨床検査科の紹介です.スタッフの内訳は常勤職員17名,非常勤技師2名,検査助手1名,BMLによる部分ブランチ6名の21人で構成され,それぞれが各検査部門と他分野を兼任し,2名の当直体制で業務を行っています.
 それぞれの部門で働く方にお仕事の紹介をしていただきました.
 施設の一階には生理検査部門と外来検査室,耳鼻科検査部門があります.
生理検査のみなさん
生理検査(熊川主任技師)
 生理検査室は正職員4名と非常勤職員1名の5名で業務にあたっています.
 主な業務として心電図(安静時,マスター負荷,トレッドミル負荷,負荷心筋シンチ時,ホルター解析等),呼吸器機能検査,PWV/ABI検査(心臓血管外科の,閉塞性動脈硬化症患者が主な対象),超音波法骨密度検査(外科乳腺腫瘍患者の,化学療法患者が主な対象),超音波検査(心臓,腹部,頸動脈,下肢静脈等),脳波検査等の検査があります.
 腹部超音波では,消化器内科で経過観察中の肝炎患者の検査が大部分を占め,慢性肝炎,肝硬変,肝腫瘍の経過観察,治療後(経皮的ラジオ波灼熱法・エタノール注入療法・肝動脈塞栓療法後)の経過観察が大部分を占めます.
 心臓超音波検査は循環器内科,心臓血管外科の手術前後の患者がおもな対象で心臓血管外科の弁膜症手術前後の評価などの検査も実施しています.
 下肢静脈超音波検査は下肢深部静脈血栓症の診断のため,緊急対応がほとんどです.
 脳波検査は小児神経科のてんかん患者の経過観察症例が多く,オープンシステムの一環で開業医から検査だけの依頼件数も全体の1/3程度を占めています.
 産科病棟新生児とNICU病棟患者に対する新生児聴覚スクリーニング検査,聴性脳幹反応(ABR),脳波検査も行っています.これらの検査は特別な場合を除き,睡眠導入剤等の使用をしないで,授乳後の自然睡眠時に検査を行うためタイミングを合わせるのがとても苦労するところです.(検査にいって何もできずに戻ることも多いです)
 心臓血管外科から依頼され,術中運動誘発電位(MEP)を今年度から始めました.また,臨床工学技師が忙しい場合,心臓カテーテル(PCI)検査にスタッフの一員として心電図モニター・心内圧測定を行うこともあります.
 海浜病院は開院から25年を超えるため検査スペースが狭く,患者プライバシーや機器の設置場所に苦心しています.
脳波検査中の荻原さん
心電図解析をする鎌田技師
外来検査室(佐藤副科長)
 外来検査室は施設1階の外来の合間に位置し,採尿室と検査室に分かれています.
 通常1名が常駐し,尿一般検査,便潜血検査,妊娠反応,HCG定量検査を実施しております.
 担当技師は2名で,外来検査と耳鼻科検査を交互に受け持ち,耳鼻科担当時には朝の外来採血も応援しています.
外来検査室
耳鼻科外来部門(庄野主任技師)
 耳鼻科検査部門では海浜病院が新生児聴覚スクリーニング精査機関ということもあり
OAE,ABR,AABR,ASSR,BOA,COR等の検査を実施しています.
 その他,各種聴力検査,補聴器外来,ENG検査,誘発筋電図,夜間睡眠無呼吸検査(PSG)
なども行っています.
 チーム医療の一環としてNSTラウンドへも参加し,今年度から発足したNST外来で栄養全般,PEG,摂食嚥下の評価・相談なども行うようになりました.
佐藤・庄野技師
次にご紹介するのは2階の中央検査室です.
受  付
中央検査室には大きなフロアーに採血室,生化学・免疫・感染症,血液検査室がありそれに隣接して細菌検査室,病理検査室の個室があります.
採血室のみなさん
採血しましょうか?
採血室(牧野副科長)
 臨床検査技師による採血は,当初,外来採血部門への応援から始まり,検査室で採血が行われるようになったのは2003年5月からです.
 現在の人員は輸血部門と血液部門から各1名,受付事務に検査助手1名の3名で主に行っており,朝は耳鼻科検査担当の時限補助,人手の足りない時には細菌部門から応援をお願いしています.設備は自動採血準備装置BC・ROBO−888を検査システムCLINILAN LRP Suiteと接続し,上位の電子カルテシステムと連携運用中です.
 業務は外来部門の採血,OGTT,病棟患者さんを含む出血時間検査,ピロリ菌呼気テストなどが主です.さらに海浜病院では新生児科外来が週に2回あり,新生児科を退院した卒業生達の血算,ビリルビンの毛細管採血を診察前に行う事もこの部門の大切な仕事になっています.採血患者数は開始当初に比べ2倍近くに増えており,現在は月平均2000人程度です.
生化学・免疫検査(鈴木ラボ長)
 生化学検査,免疫検査の担当は中央検査室内に部分ブランチとして6名のBML職員が常駐しています.日勤帯は3名で,検体受付,生化学,免疫に各1名が担当し,当直帯が1名です.生化学は日本電子のBM6050をメイン機とし,当直帯にはBM6010を使用します.検体数は約150本/日ですが,新生児科の毛細管など微量検体を扱う時は一苦労することが有ります.その他の機器として血糖がGA05(A&T),BNPではAIA360(東ソー)を使用しています.
 免疫では緊急対応として感染症4項目,腫瘍マーカー3項目,ホルモン検査3項目をARCHTECTi1000(アボットジャパン)で測定し,用手法の免疫検査も行っています.
BMLスタッフ
BMLスタッフ
生化学検査中の池浦さん
免疫検査をする本田さん
血液検査(溝口主任技師)
 血液検査室には技師が3名配属されており,そのうち1名は交代で採血業務を行っています.使用装置は多項目自動血球分析装置のメイン機器としてXE- (XE‐5000,SP-1000i),新生児用微量血球計数機pocH‐100iを2台,夜間・日直用にXT-2000i(いずれもSysmex),血液凝固検査には2台のコアプレスタ2000(積水メディカル)が活躍中です.
 海浜病院は救急医療を主体とする施設であることから24時間測定が止まることのないよう完全にバックアップできることを考慮したラインナップになっています.
 検体数は血算が月3000〜4000件,凝固検査のPTが750〜800件ほどです.それ以外の検査項目としては血沈検査,骨髄検査や血小板凝集能検査,溶血検査(Parpart法)等も依頼に応じて行うほか,脳脊髄液検査,精液検査,穿刺液検査なども血液検査室で担当です.また,外部から血液専門医の先生に月2回来ていただきコンサルタントや骨髄像の鏡検診断をお願いしています.
血液検査スタッフ
鏡検中の溝口技師
輸血検査室(村澤副科長)
 輸血検査室では,血漿分画製剤有を除く輸血用血液製剤を一元管理しており,自己血貯血の保管管理も多くあります.輸血検査室には2名が配属されていますが,輸血検査業務は全自動輸血検査機器AUTO VUE Innovaを稼動して1名で担当しており,もう1名と採血室業務を一週間交代のローテーションで行っています.
 海浜病院は,未熟児・新生児や小児科が多い病院なので,機器に乗らない検査も多く,手作業の検査になる事もしばしばあります.また,心臓血管外科の手術が週2回ほど予定されており,大血管手術の際には一症例で100単位〜150単位程度使用する事も多いため他部門の職員も協力して遅滞ない血液供給に努めています.
輸血検査スタッフ
輸血検査中の松家技師
細菌検査(静野主任技師)
 細菌検査室は常勤職員3名と非常勤職員1名で担当し,採血や生理検査,一般検査も一部兼任し,一日平均40〜50件程度の検体を扱っています.迅速で有用な検査結果を提供するために,塗抹検査では緊急塗抹検査項目を設けて臨床側に(患者さんの治療に直結する)迅速な検査結果を提供できる体制をとっています.寄生虫卵,原虫検査も当院では細菌検査室が担当し,抗酸菌検査では小川培地による培養に加え,液体培地による培養も実施して迅速な結果報告を目指していますが,PCRの検査はコスト面の理由で外注検査として扱っています.細菌検査のシステムには日本ベクトンディッキンソン社のシステムを導入し,院内感染対策として感染情報レポートを週報と月報単位で作成して感染対策委員会で報告を行っています.また,入院患者で特定の病原体保有者を院内感染マップに表示し,電子カルテ上で確認できる体制をとっています.また,月2回行われるICTラウンドに参加するなどの活動を行っています.
細菌スタッフ
培地に向かう静野技師
病理検査(佐々木技師)
 病理検査室は検査技師3名で業務を行っています.院内に病理医が不在のため帝京大学ちば総合医療センターから2名の非常勤医師を週2回ずつ交互に派遣していただき診断をお願いしています.
 昨年の検体数は,組織診2,000件,細胞診3100件,剖検2件で,一昨年と比較して組織診で500件,細胞診では1400件ほど減少しています.これは周産期医療の充実が求められる当院の特色から,婦人科領域の検体が減少したためと考えられます.
 病理検査室は,切り出し,染色,鏡検室と3つの部屋に分かれています.切り出し室にはホルマリン対策として光触媒環境浄化装置を設置しています.また,担当技師が特定化学物質作業主任者の資格を取得し,局所排気装置導入の準備を進めています.環境対策の一環として,昨年12月には高純度有機溶剤リサイクルシステムを導入しキシレンとエタノールの再生を行っています.これにより購入量,廃棄量ともに約半分となりました.
病理検査室の皆さん
切り出し作業中の佐々木技師

最後に今回の施設訪問にたいへん快くご協力いただいた郡技師長にお話しを伺いました.
郡検査科長
 当院臨床検査科では千葉市の市立病院として,病院に与えられた役割に検査室側から「どのような貢献ができるか」をいつも念頭に置いて考えながら業務にあたっています.
 今年度の目標は「学会や研修会等に参加して発表および論文投稿を積極的に行い,常に最新の情報や技術の習得・提供に努める事」としました.
 臨床検査技師が限られた人員の中で日進月歩する特殊医療や社会情勢に伴うニーズの変化に対応するためには,検査の専門性充実のみに捉われずに複数部門の兼業体制と新規業務の開拓が不可欠で,当直業務の充実にも継続的に取り組んできました.
 また,院内では各種委員会で多くの主要な立場を担い,感染対策チーム(ICT),栄養サポートチーム(NST),医療安全制御チーム(SCT),臨床病理検討会(CPC)等にも積極的に参画しています.
 一昨年度からは学生実習の受入れを始め,年間4名の学生を指導しています.
 当然,日々の厳しい業務のなかで当直の大変さなどに音を上げる科員もしばしば見受けられますが,そんな時は部門ミーティング(「飲み会」とも言います)を開き,互いの志気を高め合っています.
 業務には全く関係のない事ですが,海浜病院は海を望む立地のため,東京湾に沈む夕陽が非常に美しく,四季折々見事な夕焼けを見ることができます.
 科員や施設を含め,美しい景色も千葉市立海浜病院の自慢のひとつであることを皆様にご紹介しておきたいと思います.
[終わりに]
 今回の「施設紹介」にあたり多くのご協力をいただいた郡検査科長とスタッフのみなさんに御礼申し上げます.
 また,本稿掲載にあたり,御校閲と御助言を賜りました千葉市立海浜病院院長の広瀬彰先生,副院長 宇津木誠先生,診療局長 太枝良夫先生,事務局長 入江稔様に深謝いたします.

<<目次欄へ


研究班紹介
臨床化学検査研究班の紹介
千葉県循環器病センター
末 吉 茂 雄 

研究班紹介も連載が始まり,既に多くの研究班紹介が紹介されてまいりました.臨床化学検査研究班も,他の研究班の活動とあまり違ったことはなく,極々普通に精度管理調査や研修会を企画し活動しています.・・・・・と,書いてしまうと,この先,話が続かなくなってしまいますので,少し我々が研究班活動を通じて考えていることを触れさせていただきたいと思いますので,お付き合いください.
 「臨床化学」というと,ただ検体を分析装置にのせて,たくさんの数字が勝手に出てきて,その数字を医師に報告する,とても容易な検査と思われがちです.確かに,分析装置,測定試薬,その他にもたくさんの周辺環境が整ってきています.現在では多くが容易に検査できるようになってきたと思いますし,これから先,きっともっと容易に検査ができるようになり,ゆくゆくは検査技師なんて要らないなんて言われるようになってしまうのではないかと危惧される方もいらっしゃるかもしれません.でも,果たしてそんなことになるでしょうか?どんなに分析装置などが発展しても,あくまでも機械は機械であって,考えて動くことはできません.しっかりと考えて行動することは,これから先も必ず我々がやっていかなければならないことと思っています.そこで臨床化学検査研究班では,日々の検査業務において考えて行動するためにどうしたらよいかと,日々悩み苦しめられています.そのための答えは見つかっておりませんが,一つの突破口として解らないことがあったら相談できる仲間,みんなで一緒に考えることができるようにがんばっています.そのかいあってか,私を始めとして,日常業務は「化学」でなくなっても研究班員を継続する仲間たちが大勢います.そのため研究班員は12名と大所帯の研究班ですが,これでもわからないことだらけで,日々毎日が勉強と感じております.ご興味のある方,お悩みのある方,一緒に考える一因として大歓迎です.どうぞ一度研修会にでも参加してみてください.(勉強やボランティア活動ばかりやっているわけではありませんよ,飲ミニケーションも適度にやっています)




<<目次欄へ


コーヒーブレイク
実際に経験した“受け入れ拒否”
病院勤務     
匿 名 会 員 

救急医療をテーマにしたTVドラマは多い.我が家では欠かさず見ている.特にお気に入りだったのが“救命病棟”江口洋介演じる,外国帰りの進藤先生,従事する松嶋奈々子演じる小嶋先生,「あんな先生はいないよぉ.」なんて言いながら見ていた.このドラマの良い所は,絶対に受け入れ拒否をしない点である.どんなに忙しくても,患者で込み合っていても,ホットラインが鳴ると『すべて受け入れます!』と答えていた.
 最近は目にしなくなったが,少し前は毎日の様に「たらい回しの末,死亡」「何箇所も受け入れ拒否」「救命医不足」など等,新聞やTVで取り上げられていた.関心はあったが,自分とは関係無いとも思っていた.ところが,まさか自分が,受け入れ拒否に会うとは・・・.
 ある日曜日,硬式野球をやっている息子が練習試合中に,打球を目の上に受けた.鈍い音がして,その場に蹲った息子の目の上,眉毛のあたりが見る見る腫れて,拳くらいに腫れあがった.すぐに氷で冷やし,安静にしていた.元気だったので,病院には行かず,様子を見ていた.しかし,当たった所が頭なのでと心配してくれる声が多く,念のため外科の当番病院へと連れて行った.初診だったので,申込用紙に記入し,順番を待っていた.しばらくすると『申し訳ありませんが,今日は整形の先生しかいないので診れません』との事.(当番病院なのに? 整形の先生は何だったら診てくれるの?)と言いたかったが,診れないと言う以上,ここにいても仕方ないので,グランドへ戻った.事情を説明していると,保護者の中に,救急隊の方がいて,『やはり病院で診て貰った方が良いですよ』と救急車の手配をしてくれた.息子は迎えに来た救急車の中へ入り,私は外で事の成り行きを見ていた.
『三次救急のK病院に聞いてみます』『K病院も医師がいないので診られないとの返事です』『今,他の病院に聞いています』『K病院が何処も受け入れない場合,もう一度電話してくださいと言っています』 かれこれ30分,救急隊の方が,あちこちの病院へ電話交渉をしてくださった.しかし,受け入れOKの病院は見つからず,最悪,私の勤務している病院へ連れて行こうかと思っていた矢先,救急隊の方が,『これからK病院へ向かいます.とりあえず連れて行っちゃいます』とサイレンを鳴らしてK病院へと向かった.帰りを考えて,私は車で後を追った.
 遅れて救急外来へ到着した私を救急隊の方が迎えてくれた.
『CTとレントゲンを撮っています』『受け入れて貰えたんですか?』『最近,この病院は受け入れを拒否するんですよ.我々は困ってしまいます.今も無理やり連れて来ました』との事,救急隊も不満を口にする様では,三次救急病院の役割は果たされているのか心配である.病院側にも医師不足,過酷な労働,言い分はあると思うが,ここは病める市民の最後の砦ではないのか? 我が身にふりかかって初めて,怒り,憤り,不満を覚えた.しばらくして,結果説明のため,診察室へと呼ばれた.すると,医師が3人もいるではないか! 診る先生がいないと言った受付の女性は,どういう理由でそう言ったのか? 帰りに『先生いるじゃないですか』と言いたい気持ちを我慢して『ありがとうございました』とお礼を言った.
 精算をする際も,『今日は日曜日なので預かり金10000円を頂きます.1週間以内に会計へ精算に来てください』『1週間以内ですか? 来れない場合はどうなりますか?』『代理の方に来て貰ってください.来れない場合は返金出来ません.追加徴収の場合は連絡致します』???会計まで患者の立場を考えていない体制になっていた.
 我が息子に降りかかった出来事が故に,この様な愚痴を並べた文章になってしまったが,これを契機に,自分に置き換えてみたい.当直帯(夜間・深夜)に検体が提出されても,自分の家族の検体だと思って,忙しくても,眠くても,心を込めて検査をしようと改めて思った.病める人にとって,病院は最後の駆け込み寺なのだから・・・.