千臨技会誌 2012 No.1 通巻114

みて見て診よう 小児腫瘍の細胞診 (5)
−神経芽腫 Neuroblastoma−
千葉県がんセンター
 臨床病理部 病理検査科
有田 茂実 Shigenari Arita
研 究 第31回 千葉県臨床検査学会 学術奨励賞受賞 
血液培養の検出状況と問題点
千葉県済生会習志野病院 検査科
      赤 間 陽 太 ・ 丸 山 英 行
 施設紹介 総合病院国保旭中央病院         小 川   中
研究班紹介 血清検査研究班の紹介 順天堂大学医学部附属浦安病院              吉 本 晋 作



みて見て診よう!
小児腫瘍の細胞診 (5)−神経芽腫 Neuroblastoma−
千葉県がんセンター 臨床病理部 病理検査科
有田 茂実 Shigenari Arita


【どんな疾患かみよう!】
 神経芽腫は,白血病や脳腫瘍に次いで多い小児がんであり,胎児性腫瘍の代表的疾患である.
 日本小児外科学会悪性腫瘍委員会による神経芽腫の年間登録数3)をみると,ある時期を境に大きく異なる.2003年までの平均は約200例であるが,2004年以降は100例前後で推移している.これは2003年度をもって休止したマススクリーニング(集団検査)事業の影響を反映していると考えられる(図1).これにより近い将来好発年齢,予後をはじめとする統計学的データに変化が表れることが予想される.
 神経芽腫の最大の特徴は,良性腫瘍である神経節腫へと自然に分化・成熟するものもあることで,他に例をみない特異な性質といえる1)2).

【臨床所見をみよう!】
 原発部位は副腎が最も多く(50%),次いで後腹膜(30%),その他(20%)である1).病期は,局所進展度,リンパ節転移・遠隔転移の有無などにより分類される.現在,国際病期分類(INSS)が用いられることが多く,stage1〜4に分けられる.好発年齢は,新生児期から乳幼児期.1歳以下の発症が最多で,大部分は5才以下で発見される1)2).1.5歳を境に急激に予後不良となる傾向がある1)2).主訴は腹部腫瘤として発見されることが多いが,転移による症状で発見されることもある.
 転移巣としてはリンパ節,骨,眼窩,骨髄,肝臓,皮膚などが代表的である.特に骨転移は予後が悪い.治療は切除の可否により決まり,外科的切除術と術前・術後の化学療法や放射線療法の組み合わせで行われる.

【検査についてみよう!】
 尿中のバニリルマンデル酸(VMA),ホモバニリン酸(HVA)などの代謝産物の値が診断の指標となる.このVMA,HVAは90%以上の症例で高値を示すことが知られており,これをもとに以前は国家事業として6ヶ月児に対するマススクリーニング(1984〜2003年度)が行われていたが,現在は休止となっている.他に超音波,レントゲン,CT,MRIおよび核医学などの画像検査が役立つが,最終的には生検による病理組織診断が必要となる.

【予後についてみよう!】
 予後因子として,臨床病期,発症年齢,組織学的な分化度,N-myc遺伝子の増幅の有無および染色体数などが重要である.これらの因子をもとに予後良好群と予後不良群に分ける方法が確立されており, 生存率に明らかな相違がみられる.3年生存率は予後良好群では90%以上,予後不良群では約30%である.国際神経芽腫病理組織分類(INPC)(図2)および組織型と予後との関連についての詳細(図3)を表に示す1).

【発生母細胞をみよう!】
 神経堤 neural crest由来の腫瘍で,副腎髄質や交感神経節を形成するもとの神経芽細胞の分化・成熟過程の異常により発生すると考えられている1)2).また腫瘍化した細胞においても,その分化・成熟能が保持されている.

【組織像をみよう!】
 組織型(INPC)は,腫瘍の分化・成熟過程に沿って分類されている.神経芽腫,神経節芽腫および神経節腫に大別され,これらは神経芽腫群腫瘍と総称される.神経節腫は良性腫瘍であり,神経節芽腫は,神経芽腫と神経節腫の混在する腫瘍である.
 分化型〜低分化型神経芽腫(神経節芽腫を含む)では,小円形の神経芽細胞の増生が主体である.神経細線維が非常に豊富である(図4,5).時にロゼット構造(Homer Wright型ロゼット)がみられる(図6).また神経節細胞への分化傾向を示す大型細胞やシュワン細胞様紡錘形細胞が混在することがある(図7).
 未分化型神経芽腫では神経細線維はみられず,細胞密度が非常に高い.また核の mitosis や apoptosisの所見を高頻度に認め,核分裂・核崩壊指数 Mitosis Karyorrhexis-Index (MKI)が高度である(図8).

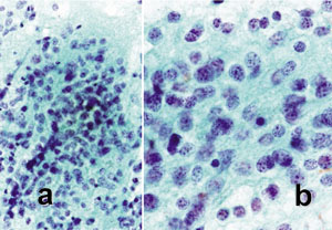
【細胞像をみよう!】
 分化型〜低分化型(神経節芽腫を含む)の細胞像は,神経細線維が非常に豊富である.神経細線維は背景にみられるライトGに好染する物質である.核の mitosis や apoptosis の所見は目立たない(図9).しばしば神経節細胞様細胞,神経節細胞への分化傾向を示唆する大型細胞やシュワン細胞様紡錘形細胞などが混在し(図10),多彩な細胞像を呈す.これに対し未分化型では,神経細線維は殆どみられず,神経芽細胞のみで構成される単一な細胞像である(図11).また核の mitosis や apoptosis の所見を高頻度に認め,MKIが高度であることが示唆される(図12).我々の経験では,後者の殆どは予後不良であった.

【細胞像のポイントをまとめよう!】
 分化型〜低分化型(神経節芽腫含む)の細胞像;@神経芽細胞,A分化した神経節細胞様細胞,B神経節細胞への分化傾向を示唆する大型細胞,C豊富な神経細線維,Dシュワン細胞様紡錘形細胞などが種々の割合で出現し,多彩な像を示す.
 未分化型の細胞像;@殆ど神経芽細胞のみで構成される単一な像.A腫瘍細胞のN/C比は極めて高い.B神経細線維は殆どみられない.C mitosis やapoptosis の所見を高頻度に認める.

【細胞診の役割をみよう!】
 細胞診は組織像をよく反映しており,当院では術中迅速診断や生検時において,検体の適否のみならず質的診断にも役立っている.凍結切片の作製が困難な脂肪成分を含む検体(リンパ節,皮膚),骨などにおいても骨髄のような血性検体であっても観察が可能であるという利点がある.また細胞診は組織診に比べ,標本作製が容易で,アーチファクトも少ない為,組織診と組み合わせることでより正確な情報を得ることができる.
 小児腫瘍は特殊で日常業務ではあまり目にする機会がないと思われるが,今後の知識として役立てていただければ幸甚である.

謝辞
 稿を終えるにあたり,ご助言をいただきました千葉県こども病院病理科堀江弘先生ならびに検査科中山茂科長に深謝いたします.

文献
1)小児腫瘍組織カラーアトラス第2巻 神経芽腫群腫瘍 日本病理学会小児腫瘍組織分類委員会 金原出版 2004.3
2) 小児外科病理学 文光堂 1995.7
3)日本小児外科学会雑誌 第47巻 第1号 2011.2

図1 神経芽腫登録数(日本小児外科学会悪性腫瘍委員会2011年報告)
2003年度のマススクリーニング休止を境に,登録数が半減した状態が続いている.
 
図2 国際神経芽腫病理組織分類
International Neuroblastoma Pathology
Classification (INPC) 
   
 図3 組織型(INPC)と予後との関連 図4 低分化型神経芽腫の組織像
(HE染色,×10)
小円形細胞が豊富な神経細線維を伴って増殖している. 
   
 図5 低分化型神経芽腫の組織像(HE染色,ラ20,図4と同一症例) 図6 低分化型神経芽腫の組織像
(HE染色,×40)
ロゼット構造がみられる(Homer Wright型ロゼット)
   
 図7 神経節芽腫の組織像(HE染色×20)
神経節細胞様大型細胞やシュワン細胞様紡錘形細胞が混在してみられ,多彩な細胞像を呈している
図8 未分化型神経芽腫の組織像
(HE染色,×40)
神経細線維はみられず,細胞密度が非常に高い.矢印は核分裂像.
   
図9 低分化型神経芽腫の細胞像
(Pap.染色,aラ20,b×40)
a 背景にはライトGに好染する神経細線維が豊富にみられる.
b 核の mitosis や apoptosis の所見は目立たない 
図10 神経節芽腫の細胞像
(Pap.染色,a,b×20,,c×10)
a 神経節細胞への分化傾向を示唆する大型細胞
b 神経節細胞様大型細胞
c シュワン細胞様紡錘形細胞
   
 図11 未分化型神経芽腫の細胞像(Pap.染色,×20)
殆ど神経芽細胞のみで構成される単一な像.背景には神経細線維は殆どみられない.
図12 未分化型神経芽腫の細胞像(Pap.染色,×40,図11と同一症例)
核の mitosis (矢印)や apoptosis の所見を高頻度に認め,MKIが高度であることが示唆される.
   










<<目次欄へ


研  究

     第31回 千葉県臨床検査学会 学術奨励賞受賞 
     
        血液培養の検出状況と問題点
 千葉県がんセンター 臨床病理部 病理検査科
有田 茂実 Shigenari Arit


Key words:血液培養,抗菌薬,全身性炎症反応症候群
       (systemic inflammatory response syndrome:SIRS)

T.はじめに
 敗血症は血液培養にて菌が証明され,発熱,悪寒,頻脈,低血圧あるいはショック,白血球増多症などの臨床症状や検査所見があるものと定義されている.近年,細菌感染を伴わない熱傷や多発外傷でも全身の炎症反応を起こすことが明らかとなり,細菌感染の有無に関わらない全身性炎症反応症候群(systemic inflammatory response syndrome:SIRS)という概念が確立し,敗血症は感染症に起因したSIRSという位置づけとなっている.1)
 血液培養検査は敗血症や菌血症の診断,治療のための抗菌薬選択には必要不可欠な検査であり,正確性と迅速性が求められる.そこで当院における血液培養の提出状況および陽性率,分離菌種の成績把握.また報告菌種の違いによる抗菌薬の使用状況の変化について調査したので報告する.

U.対象と方法
 2005年6月から2009年12月までの期間に提出された血液培養検査5,296件を対象とした.培養装置はBACTEC 9050(日本ベクトン:BD)を使用し,同定・薬剤感受性測定はWalkAway 40si及び40plus(SIEMENS)を使用した.培養ボトルは92F好気ボトル,93F嫌気ボトル,94F小児用ボトル(BD)を使用し,35℃で7日間培養を行った.
 また,血液培養陽性の報告後,使用抗菌薬がどのように変化したのかを把握するため,検出頻度の高い腸内細菌,methicillin resistant Staphylococcus aureus(MRSA),coagulase negative Staphylococcus (CNS)に絞り,検出菌ごとにランダムに20症例を選択しカルテ検索を行った.
 腸内細菌とMRSAについては使用抗菌薬に感受性があるものを“適正”とし感受性がないものを“不適”として,感受性があり報告後も変更がないもの,使用抗菌薬に感受性がなく報告後も変更のないもの,報告後に感受性がある抗菌薬に変更したもの,感受性がない抗菌薬に変更したもの,上記4パターンに合致しないものを判定不能とし5パターンに分け調査した.
 CNSは汚染菌として検出される頻度が高い菌種であり,コンタミネーションであるか否かの判断は重要であるため,血液培養以外の検体で起炎菌の発育がなく血液培養で好気・嫌気双方のボトルで発育の認められたコンタミネーションと断定できない20症例と,片方のボトルからのみ発育したコンタミネーションの可能性が高い20症例とに分けて調査した.またCNSは菌種により感受性が異なるため,分類を血液培養陽性の報告後も他の抗菌薬に変更しなかったもの,報告後に抗菌薬を変更したもの,抗菌薬を中止したものの3パターンに分けて検討した.

V.結 果
 2005年6月から2009年12月の4年半の間に提出された血液培養検査件数と血液培養陽性率を図1に示した.全検査件数5,296件における陽性率の平均は19.0%で,年次別では,2005年血液培養検体数460件(陽性率14.1%),2006年938件(20.0%),2007年1,138件(22.3%),2008年1,421件(18.4%),2009年1,339件(17.7%)で検査件数は2009年に若干減少したが全体的に増加する傾向を示した.
 1ベッド及び1,000患者/日あたりの血液培養提出状況は2005年,2006年の平均病床数のデータが得られなかった為,2007年からの3年間のデータであるが,1ベッドあたりの年間血液培養件数の平均は4.5件,1,000患者/日あたりの提出数は平均13.4件,1,000患者/日あたりの陽性率は平均0.7%(表1),2セット採血率の平均は8.0%であった.(表2)
 診療科別の陽性率は救急外来が30.8%と最も高く,泌尿器科,整形外科,消化器科などでも高い傾向であった.提出数では血液内科が2,153件と最も多かった.(表3)
 検出菌では各年とも大きな変動はなく出現頻度はCNS,腸内細菌,Staphylococcus aureus(MSSA/MRSA),ブドウ糖非発酵菌の順で,検出菌全体の70%を占めており,そのうち腸内細菌は26.7%,Staphylococcus aureus(MSSA/MRSA)は12.0%,CNSは26.4%を占めていた.(表4)
 血液培養陽性報告後の抗菌薬使用状況は,腸内細菌では報告前はカルバペネムやセフェム,キノロン系抗菌薬の使用が多く,報告後も抗菌薬にほとんど変化は見られなかった.(表5)MRSAの場合,報告前に多く使用されていたカルバペネム,セフェム系抗菌薬は,報告後には感受性のある抗MRSA薬に45%と半数近くが変更されていた.CNSは,双方のボトルから発育した場合では,50%が抗菌薬を変更,セフェム系抗菌薬の使用が減り,抗MRSA薬が25%増加していた.CNSが片方のボトルのみで発育した場合は,70%で抗菌薬の変更がなく,変更は20%にとどまり,変更したものではペニシリン系薬・キノロン系薬が減り,抗MRSA薬に変更されていた.(表6)


図1 血液培養件数と菌陽性率の年次経過

 表1 1ベット及び1000患者/日あたりの血液培養提出状況
 

 表2 血液培養2セット採血施行状況

表3 診療科別陽性率 
 









 

表4 年次別検出菌出現頻度 
 

表5 結果報告後の抗菌薬変更状況 
 
 
表6 結果報告後の使用抗菌薬の変化
 

V.考 察
 2005年6月から2009年12月の4年半に提出された血液培養検査件数は増加する傾向にあったが,2009年に若干の減少が見られた.これは当院において2009年4月から導入されたDPCの影響を受けたためと考えられる.
 2010年にBD社が調査した同社社内資料2)によると本邦における1ベッドあたりの年間血液培養件数は4.99件とされており,当院では4.5件と本邦平均をやや下回っていた.
また,米国におけるCumitech Blood Culturesによると1,000患者/日あたりの提出数は103〜188件,1,000患者/日あたりの陽性率は5〜15%の間にあるのが望ましいとされている3).この指標による適切な提出数と比較すると当院の提出数は1割程度にしか満たない状況であった.この目標値は米国の医療制度下のものであるため,本邦にそのまま適応することは難しいと考えられるが,本邦には同様の目標値は存在しないため,参考指標としての意味合いは大きい.2セット採血の施行状況は,検査件数,採血率,共に徐々に増加傾向にあるが,全体の1割程度の実施率であった.
 診療科では救急外来の陽性率が高かったことから,初診時に発熱を伴う場合では血液培養の重要性が特に高いことを示す結果であった.また提出数の多い血液内科ではコンプロマイズド・ホストにおける感染症の監視的意義も高いと考えられる.
 血液培養陽性報告後の抗菌薬使用状況は,腸内細菌,MRSA共に報告された菌種に対して,いずれの場合も起炎菌との認識のもとに積極的な治療が行われたと考えられた.
 CNSにおいては,双方のボトルから発育した場合は,コンタミネーションと判断できない事が多く,MRSAなどの耐性菌を想定して治療薬を変更していると考えられたが,片方のボトルから発育した場合は使用抗菌薬にほとんど変化が認められなかった.その理由としてコンタミネーションの可能性が高いと医師が判断し,現状のまま様子をみているものと推察された.もうひとつ考えられる理由としては,カテーテルを起因とする血流感染が考えられる.カテーテルを起因とするCNSによる血流感染の場合,カテーテルを抜去することで解熱等の改善を認めるケースが多いため,抗菌薬の使用または変更に関して特定の傾向が認められなかったと考えられる.しかしカテーテル等のデバイスを使用していない患者や,カテーテル培養で細菌の検出がなく血液培養からのみCNSが検出された場合は起炎菌であるかどうかの判断は極めて難しくコンタミネーションと判断されることも少なくない.
 血液培養陽性検体におけるコンタミネーションの割合に関する報告で,一般的にCNSはコンタミネーションの頻度が高いとされているが,全米で行われた調査ではCNSは起因菌の第1位として検出されており1)4),起因菌か否かの判断は最終的には臨床症状を併せて考える必要がある.またCNSなどの皮膚常在菌であっても複数回検出されれば起因菌としての可能性が高いと判断できる1).
 コンタミネーションを回避するには,皮膚消毒,静脈穿刺,および血液を血液培養ボトルに注入する各プロセスにおいて細心の注意を払うことで,最も効率的に汚染を予防できる.しかしながら,さらなる対策を立てて汚染を防いだとしても,その発生率を全体の2%以下に抑えることは困難とされている3).
 血液培養は複数セット採取で検出率を向上させることが可能であり,Weinsteinらは敗血症もしくは菌血症と確定された患者から24時間以内に3セットの血液培養を行い,1セットで91.5%,2セットで99.3%の検体から菌が検出できたと報告しており2セットの採血で十分と結論付けている1)5).
 これらのことから陽性率の向上を図る上で2セット採取は必要不可欠と考えられ,検出された菌の発育パターンからコンタミネーションを判断する手段としても利用できる.また,コンタミネーションの判断をしやすくすることで不必要な投薬を減らすことにも繋がると考えられる.本邦における2セット採取の平均が少ない要因としては,2セット採取の重要性が医師や看護師に充分に認知されていないため,採血時の患者への負担を考慮するあまり,2セット採血へ抵抗を示すことが大きい.また保険診療点数として認められる血液培養は1日1回の提出のみであるため,現行の保険制度による経済的な理由などもあり,なかなか実行に移れない事も2セット採取が少ない要因であると考えられる.一部では血液培養の採血はすべて技師が実施している施設もあり,2セット採取率を向上させる一手段として検討に価する.
 当院における陽性率,分離菌の傾向などは他施設の報告とあまり変わらなかったが1)5)6),血液培養検査件数は本邦の平均を下回っているため,2セット採取だけでなく複数回採取なども念頭にいれ平均を上回るよう努力する必要がある.
 上記の理由から2セット採取を浸透させることは極めて難しい課題である.今後は適切な検体採取方法,複数回採取又は複数セット採取の重要性を臨床へ働きかけ,血液培養検査件数の向上と複数回採取をすることを優先課題として徐々に2セット採血率を上げ,血液培養の有用性を高める努力をしていきたい.

文献
1) 塩原真弓,本田孝行,金井信一郎,上原 剛,佐野健司,加藤祐美子:信州大学医学部附属病院における血液培養検査の陽性率と検出菌の年次別検討.信州医学雑誌,54(5):257‐263 2006
2) 日本ベクトン・ディッキンソン株式会社:血液培養アンケート報告書.2011
3) 松本哲哉,満田年宏:血液培養検査ガイドライン.医歯薬出版株式会社,39-62
4) Edmond MB,Wallace SE,McClish DK,Pfaller MA,Jones RN,Wenzel RP:Nosocomical bloodstream infections in United States hospitals:A three-year analysis.Clin Infect Dis 29:239-244,1999
5) 大城健哉,宮城ちひろ,玉城善和,護得久朝八郎,川上順子:那覇市立病院における過去5年間の血液培養検査.那覇市立病院医学雑誌 Vol.2,NO1,12-18 2010
6) 池谷由貴,邨松隆雄,向井裕美,内海享子,横山一紀,小栗豊子,済生会横浜市東部病院における血液培養検査の現状:医学検査雑誌 Vol.60 No 4 2011


【細菌学的検査】
 喀痰の性状は,Miller & Jonesの分類でP3,グラム染色ではGecklerの分類5群で一般的な口腔内常在細菌は認めず好中球優位の背景に分岐した菌糸状発育を示すグラム陽性桿菌を多数認めた(図2).チールネルゼン染色の脱色剤を0.5%希硫酸水に変更したkinyoun染色では陽性を示した.以上より肺ノカルジア症を疑い,担当医に緊急連絡した.培養検査はBTB乳糖寒天培地(BBL),血液寒天培地(BBL)は35℃の好気的条件下で培養し,チョコレートU寒天培地(BBL)35℃・5%炭酸ガス条件下で培養した.培養翌日には,血液寒天培地とチョコレート寒天培地に白い微小コロニーとノカルジア特有の土臭を認めた(図3).
 薬剤感受性検査は,簡易的に日常検査で使用しているSIEMENSの3J・6.12Jパネルを使用し微量液体希釈法と,BDセンシ・ディスク法を実施した.好気的条件下35℃3日培養後,肉眼的に菌の発育の有無を判定した.その結果ペニシリン剤や第1・2世代セファロスポリン剤に耐性で,ImipenemのMICが2 g/ml,TobramycinのMICが≦1 g/mlで良好な感受性を示したところからN.asteroidesグループを疑った(表2).しかしコロニーの発育が速いこと,患者が感受性を示さないSultamicillinで症状が軽快していることなどから,ノカルジア以外の菌種を考慮し,千葉大真菌医学研究センターに同定を依頼した.その結果,ミコール酸と ラクタマーゼ陽性により,ノカルジア属の同定を行い,アデニン,キサンチンなどの有機物を分解せず,糖からの酸産生が見られず,gluconat利用能(+)と45℃の発育によりN.cyriacigeorgicaと最終同定された(表3).





<<目次欄へ


施設紹介


総合病院国保旭中央病院


 今回の施設訪問は東日本大震災によって大きな災害を被った旭市に位置する総合病院国保旭中央病院を訪ねさせていただきました.旭中央病院は千葉県東部(東総地区)の位置にあり,病院を中心に半径30km以内に千葉県東部及び茨城県鹿島地区を含む東南部12市8町が診療圏に入ります.病院へはJR総武本線旭駅より1.5kmあり公共のバス・市町村コミニュティバス・病院の専用無料シャトルバスで病院正面玄関までを行き来しています.
 私たちは車で訪問しましたが,目的地に到着する前に大きくそびえ立つ病院が目に飛び込んできて直ぐにわかりました.第一印象は大きい!の一言でした.病院到着後,迷いながらも検査室へ向かい,高木正義技師長に笑顔で温かく迎えていただき取材を始めるこができました..

新病院全景 ホスピタルホール

【病院の沿革・概要】
 国保旭中央病院は,地域住民の健康を自らの手で守り,国の皆保険制度実現に協力するため,旭町外8ヶ町村(現旭市)が昭和28年3月1日に開院しました.開院当時は,病床数113床,診療科目4科であった.以後,増改築工事を重ね,現在では病床数989床,診療科目36科,全職員1,918名,内医師251名の総合病院となった.平成23年3月に地上12階建ての免震構造による新本館が完成し5月から稼動開始した.
 また,病院の体制も充実され,高度急性期医療,エイズ治療拠点病院,地域がん診療連携拠点病院,地域周産期母子医療センター,救命救急センター,基幹災害医療センター,地域医療支援センター等などが設置された基幹病院として,地域医療に大きく貢献している.H23.10.1現在,1日平均患者数は,外来3,074名,入院760名.平均在院日数は12.4日,病床利用率91.2%,1次〜3次救急患者数は平成22年度で61,699名です.


二階からのホスピタルホール 内科・検査室案内

【中央検査科の概要
 中央検査科は,病院玄関を入り広々としたホスピタルホールからエスカレータで上った2階に位置し,検体検査・生理機能検査・超音波検査室に分かれています.病理検査は検査科とは別の部門として臨床病理科として運営されています.中央検査科は,医師1名,検査技師52名,助手6名,嘱託技師2名で構成され,24時間体制(2人当直)で業務を行っています.外来患者の多い内科と検査部門(生理検査・採血・超音波・内視鏡)が集約され,患者さんの移動を極力少なくする動線になっていました.また,各検査部門は患者動線とスタッフ動線が分かれて配置され,外来患者と入院患者が別々のルートで生理機能検査室に入出可能な設計になっていました.検体検査室と臨床病理科は完全に外来とは隔離された位置に設計されていました.
【中央採血室・採尿】
 採血室はホスピタルホールからエスカレータで2階に上って直ぐの位置にあります.採血は受付2名と検査技師5名(繁忙時は8名態勢)
で行い,診察前検査に対応するために朝7時30分から始まり外来診察終了時まで行っているそうです.採血は午前中に集中し1日平均670名の患者さんが来られ,多い時は800名を超える日もあり,H22年度の採血患者数は153,329人になるそうです.採血台は8台使用して行い,患者さんの待ち時間は繁忙時でも10分程だそうです.採血された検体は5分毎に搬送スタッフにより検体検査室に運ばれ,尿は採血室に併設された採尿室から一般検査室へ直接提出できる構造になっていました.採血室の隣が内科処置室との事で患者の具合が悪くなった時の連絡体制ができているので検査技師だけでも安心して採血業務ができるそうです.また,採血室では出血時間検査とSMBGの消耗品の受け渡しを行っていました.

採  血  室

【一般検査室】
 一般検査室は中央採血室に隣接されて,検査技師4名で行っていました.総件数は年間118,698件(H22年度)あり,尿沈査が1日に200〜250件,当直帯でも15〜20件あるそうです.
 検査室には糖尿病療養指導室があり糖尿病指導も一般検査担当者が行っているそうです.糖尿病教室も外来患者さんを毎月1回,入院患者さんには毎週1時間,担当しているそうです.

一般検査室 尿分析装置
   
 尿コップ取り出し窓 SMBG室 

【生理機能検査室
 生理機能検査室は内科外来に隣接され,心電図(心臓超音波含む)検査,呼吸機能検査,脳波検査の3セクションで構成されていました.心電図・心臓超音波検査は技師6名と医師1〜2名,呼吸機能検査2名,脳波・筋電図・平衡機能検査3名,受付として検査助手1名,その他医師が1〜2名常駐していました.検査結果は脳波検査記録以外のすべてが生理検査システムにより電子化されているそうです.
 心電図検査部門には,運動負荷検査・心臓超音波検査の読影のために1〜2名の医師が常勤しているそうです.呼吸機能検査では1日に平均30件あるそうですが,なかでも喘息・アレルギーの専門外来の日には特殊検査で呼気NO測定が1日に50件あり,その日は呼吸機能室から出られない状態になるそうです.脳波検査部門では脳波検査・筋電図検査・平衡機能検査が行われていました.H22年度の年間総件数は心電図検査38,281件,呼吸機能検査16,732件,脳波検査3,432件でした.生理機能検査室はかなり奥行きまで広く受付から各検査室はインターホンで連絡が取れる様に工夫されていました.また,受付には女性の患者さんに配慮して「女性技師希望」の希望用紙が置かれていました.


生理機能検査受付 女性患者さんへの案内
   
読影中の先生 心電図室
   
 生理機能検査待合廊下 筋 電 計
   
 呼気NO測定装置 呼吸機能測定装置 

【超音波検査室
 超音波検査室は,7名の検査技師,受付の検査助手1名,数名の医師で構成され,腹部・甲状腺・体表・頚動脈の超音波検査と造影超音波・ラジオ波等の治療が行われるそうです.検査数は腹部90件/日,頚動脈10件/日,甲状腺10件/日で年間総件数は23,044件になるそうです.検査室は10室(ナースコール付き)あり,すべて同じ仕様になっているそうです.
 超音波装置は全室ハイグレード・同機種で構成されているのでどの部屋で検査をしても同じ質の検査が出来ると思いました.検査画像・報告書は検査システムにより管理され,検査技師はレポートを作成して医師は診断・コメントを入力して報告されるそうです.

超音波検査室 ナースコール

【内視鏡室】
 内視鏡室には3名の検査技師(内視鏡認定資格取得者)が配属され,業務されているそうです.

内視鏡室

【臨床病理科】
 臨床病理科は,常勤医師5名,非常勤医師17名,検査技師10名,2級病理技術士1名,電子顕微鏡一般技術者1名,事務員2名で構成されているそうです.検査は病理検査システムにより管理され,受付後に臓器毎に必要枚数分だけID・名前入りスライドガラスが作成されるそうです.標本の作成には,包埋器3台,ミクロトーム6台,自動染色装置3台で処理しているそうです.臓器切り出し室へ入ると換気対策が十部に施されていてホルマリン臭が全くしませんでした.解剖室は広く,剖検台は2台設置され,前面はガラス張りでとてもクリーンな印象を受けました.膨大な標本・ブロックは一昔前のカルテ室を思わせる様な複数の可動式収納コンテナが設置され保管されていました.検査件数は年間,組織診断は10,389件(術中迅速診断388件含む),細胞診断は18,276件,病理解剖は200件あり,解剖件数は国内随一を誇っているそうです.

病理受付 包埋装置
自動染色装置 臓器切り出し室
解剖室 標本室

【検体検査室】
 検体検査室は,かなり広々としたワンフロアに生化学,血液,免疫,輸血と隔離された細菌検査室で各検査が行われていました.生化学検査6名,血液検査4名,免疫検査2名,輸血検査2名,細菌検査5名,検体受付1名で構成され,年間件数は生化学3,561,943件,血液411,706件,免疫・血清53,093件,輸血28,941件,細菌138,168件になるそうです.
 生化学検査は今年導入された3台の自動分析装置で測定され,採血受付から電子カルテ参照できるまでに約53分,血液検査は25分程で報告できるそうです.手術室・救急室からは専用の検体搬送エレベータが設置され,夜間緊急用にワンフロアのほぼ中央に必要機器を集めて広い検査室での動線を短くする工夫がされていました.災害時等に水・電気の一時供給停止時に使用できるように無停電装置付のドライケミストリー分析装置が用意されていました.輸血検査では製剤の照射および製剤管理を検査室で行い,製剤の廃棄率を減らす努力をしているそうです.
 検査室の一角に検査相談室があり,ここでは検体検査に関わる問い合わせが,医師を始め多くの部門からあり,問い合わせの解答は返信レターで報告されているそうです.

救急室・手術室検体搬送エレベータ 検体検査室
   
 夜間緊急検査コーナー  生化学自動分析装置
   
 無停電装置付分析装置 検査相談コーナー 
   
 細菌検査  血液培養装置
   
 輸血検査  血液照射装置

【診療支援】
 外来採血業務のほかにも,健診センター,PET棟(心電図),耳鼻科(聴検),術中モニター,血液ガス機器管理,検査相談,SMBG指導・糖尿病教室,NST,ICT,パス委員会,体外受精,企画情報室と様々な部門に参加しているそうです.

高木 技師長

【最後に技師長と会談】
 震災時の影響についてお伺いしました.病院・検査室には特に大きな影響被害はありませんでしたが,被害を受けた試薬メーカーの供給が止まり,急遽他メーカーに変更したり,細菌検査では血液培養ボトルや生培地の不足により細菌検査の業務制限をしたそうです.また,災害拠点病院として新館は免震構造で水は地下水を使用,自家発電機能も強化されているそうです.
 検査科についてお伺いしました.現在は,夜間は当直体制で行っているが,2交替勤務を検討しているものの,実施するには人員が足りないそうです.また,ICTやNST,健診センター,耳鼻科などへの出向業務,マルチ技師育成のためのローテーションなどの人員配置にも苦労しているそうです.
 検査科では,教育と技術面から定期的に各部門と全体での勉強会が行われているそうです.
 お忙しい中,訪問に協力していただいた高木技師長はじめ,広報担当者と検査科の皆様,ありがとうございました.

生理検査部門の皆様 採血・一般検査の皆様
   
 検体検査部門の皆様  臨床病理科の皆様

                                 (小川 中,小川 優)


<<目次欄へ


研究班紹介

血清検査研究班の紹介
順天堂大学医学部附属浦安病院 
吉 本 晋 作 

 シリーズでお送りしている研究班紹介ですが,今回は血清検査研究班の紹介をさせていただきます.
 血清検査研究班は,現在8名の班員で活動しております.主な活動は2つあり,研修会の開催と千臨技精度管理事業です.
 研修会は年2回開催しています.これまでに肝炎ウイルス,HIV,インフルエンザなどの感染症や甲状腺の検査,プロカルシトニンなど最近話題となっているような項目などの専門的な内容から,あるいは初心者にも分かりやすい免疫反応の基礎的な内容など様々な研修会を開催してきました.さらに,学会などでシンポジウムを開催するなど多様な活動をしています.また,研修会には多数の会員の方にご参加いただき感謝しています.
 それ以外にも,関東甲信地区の免疫血清検査研修会「軽井沢免疫セミナー」を1都8県の共同事業として毎年6月に開催しています.今年度で18回を数え,時には200名を超える参加者で大変な盛り上がりを見せています.この1泊2日のセミナーは,毎回担当する都県が変わり各々が趣向を凝らした内容を企画し,免疫血清検査だけではない様々なプログラムが用意されるため,分野を超えて本当にためになる研修会です.更には,宿泊会場で催される大評判の懇親会もビンゴ大会などがあり,さながら忘年会のような活況を呈しており,親睦会としての役割を充分に果たしています.「軽井沢」という場所が人を惹きつけるのか定かではありませんが,リピーターも多く,研修会自体も和やかで友好的な雰囲気に包まれています.ご興味を示された方,来年度は是非参加してみて下さい.専門分野に関係なく,本当に参加して良かったと感じられる研修会です.私も毎年参加しています.
 続いて精度管理ですが,多くの施設に参加していただくためにHBs抗原,HCV抗体,梅毒TP抗体の感染症項目について実施しています.以前は試料を自家調整していたのですが,原材料の入手の問題や試薬による反応性の乖離などが認められることがあったため,現在はそのようなことのないような試料を用いています.精度管理実施後,各施設からの回答をまとめ,報告書を作成し終了となります.毎年5月に千臨技総会に合わせて開催される精度管理報告会にて報告を致します.
 今年度から精度管理システムを日臨技のデータベースを活用する形で変更することになりましたが,多くの方の尽力により大きな混乱もなく順調に推移しています.この場をおかりして御礼申し上げます.
 最後になりましたが,血清検査研究班では随時班員を募集しています.私が班長になってから2年目となりました.任期は2年毎に更新されます.嬉しいことに来年度から1名参加の希望がありました.血清検査を担当していなくても問題ありません.今般,血清検査を独立して実施している施設は数少ないと思われます.殆どの施設は生化学検査と一体化しているのではないでしょうか.しかしながら,「免疫反応」そのものは臨床検査全般に深く係わっています.分野を問わず血清検査に興味をお持ちの方,お手伝いして下さる方がおりましたら,是非近くの班員にご連絡下さい.お待ちしています.