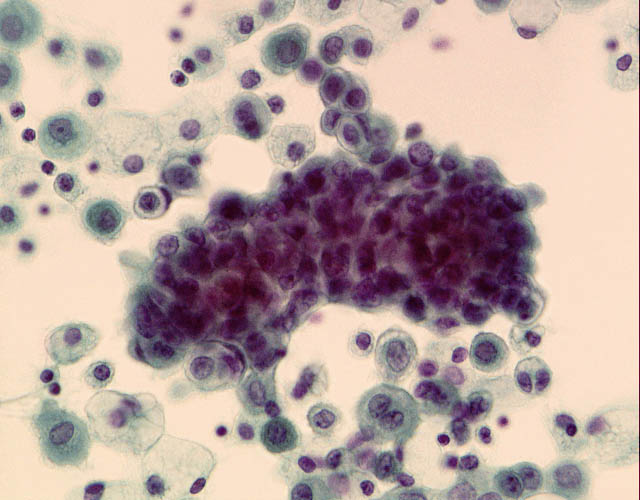
体腔液
検体:腹水
年齢、性別:62歳、男性
主訴:腹部膨満感
現病歴臨床所見:淡黄色粘稠性腹水貯留、ヒアルロン酸高値
ギムザ染色
対物レンズ 100倍
パパニコロウ染色
対物レンズ 100倍
パパニコロウ染色
対物レンズ 100倍
ギムサ染色
対物レンズ 40倍
パパニコロウ染色
対物レンズ 40倍
パパニコロウ染色
対物レンズ 40倍

opyright:(C) 2001 Chiba Association of Medical Technologists. All rights reserved.
ホームページで公開している文章や画像などの著作権は社団法人千葉県臨床衛生検査技師会に帰属します。
これらの文章や画像を社団法人千葉県臨床衛生検査技師会の承諾なしに複製、他の電子メディアや印刷物などに再利用することはできません
解答へ