呼吸器 解答解説

解答:大細胞神経内分泌癌(large cell neuroendocrine carcinoma)

解説:
(臨床経過)
2000年 8月  検診にて右肺門部腫瘤を指摘。
     9月  当院にて気管支鏡検査を施行。
         High grade neuroendovrine carcinomaと診断される。
     10月  右肺中下葉切除術施行。
         腫瘍捺印標本作成。
(解説・組織所見)
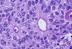
大細胞神経内分泌癌は1999年のWHO分類に新しい概念として加えられた腫瘍である。神経内分泌腫瘍しての形態的特徴をもつ高悪性度癌で免疫組織学的、電顕的に神経内分泌の形質を示す。その組織像は充実性の胞巣を形成し、壊死を認める。細胞配列は索状、ロゼット状、腫瘍胞巣辺縁部では柵状の配列を呈する。細胞は多角形でN/C比が高く、クロマチンは粗で核小体はしばしば明瞭に認める。核分裂像も多い。 細胞診上、特に特徴的な所見として強い壊死性背景、ロゼット様配列、薄い核縁、細顆粒状クロマチン、核小体の存在があげられる。鑑別を要するその他の腫瘍としては非定型カルチノイド、小細胞癌、低分化腺癌、低分化扁平上皮癌、大細胞癌などである。その鑑別点として非定型カルチノイドではロゼット様配列を認めるが、核異型は弱く、背景の壊死物質も少ないか、ほとんど認められないため、鑑別は比較的容易と考えられる。小細胞癌と比較すると弱拡大では壊死性背景、孤立性裸核状細胞、ときに核線も認め、強拡大でも薄い核縁、細顆粒状のクロマチン形態など類似する所見が多く、注意を要する。小細胞癌より大型でN/C比は低く、核小体が目立つ。さらに小細胞癌にはロゼット様配列が認められないことが鑑別点と思われる。低分化腺癌、低分化扁平上皮癌、大細胞癌はより大型で核形不整、核縁の肥厚を認め、ロゼット様配列は認めない。加えて低分化扁平上皮癌ではシート状集塊の形成、低分化腺癌では乳頭状や腺管構造の集塊形成、大細胞癌では巨細胞の混在などが重要な鑑別点と思われる。
臨床的には予後は悪く、腺癌、扁平上皮癌よりも不良とされている。現在のところ非小細胞癌として扱われ、治療の選択が行われているようであり、鑑別診断は重要である。診断の補助としてneural cell adhesion molecule(NCAM)シナプトフィジンクロモグラニン A等の神経内分泌マーカーを用いた免疫細胞化学染色を行うことにより診断精度は向上すると思われる。
(細胞所見)
強い壊死性背景に孤立性および集塊を形成する腫瘍細胞が認められる。しばしば、ロゼット様配列を呈する集塊も認められた。腫瘍細胞は比較的小型で
N/C比は高く、中等度の大小不同を認めた。核は類円形で核縁は薄く、クロマチンは細顆粒状で増量を示し、明瞭な核小体を有していた。
(参考文献)
1) Travis, W.D., Linnoila, R.I., Tsokos, M.G., Hitchcock, C.L., Cutler, G.B.Jr., Niemann, L., et al. Neuroendocrine tumors of the lung with proposed criteria for large-cell neuroendocrine carcinoma. An ultrastructural, immunohistochemical, and flow cytometric study of 35 cases. Am. J. Surg. Pathol. 1991;15:529-553.
2) Travis, W.D., Colby, T.V., Corrin, B., Shimosato, Y., Brambilla, E., Histological typing of lung and pleural tumours. World Health Organization International Histological Classification of Tumours. Berlin: Springer, 1999.
3) Travis, W.D., Rush, W.R., Fieder, D.B., Falk, R., Fleming, M.V., Gal, A.A., et al. Survival analysis of 200 pulmonary neuroendocrine tumors with clarification of criteria for atypical carcinoid and its separation from typical carcinoid. Am. J. Surg. Pathol. 1998; 22: 934-944.
4)岩崎聖二・ほか.肺大細胞神経内分泌癌の細胞像.日臨細胞誌 2001; 40(4).掲載予定

(症例提示 :国立がんセンター東病院 岩崎聖二)


opyright:(C) 2001 Chiba Association of Medical Technologists. All rights reserved.
ホームページで公開している文章や画像などの著作権は社団法人千葉県臨床衛生検査技師会に帰属します。
これらの文章や画像を社団法人千葉県臨床衛生検査技師会の承諾なしに複製、他の電子メディアや印刷物などに再利用することはできません