HOME へ戻る

症例5 総 合 問 題



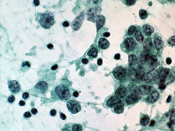
パパニコロウ染色
対物 40倍





パパニコロウ染色
対物 100倍





パパニコロウ染色
対物 100倍





ギムザ染色
対物 100倍




ギムザ染色
対物 100倍



検体:リンパ節捺印標本

年齢、性別:76歳、女性

既往歴:平成12年7月、近医にて膀胱悪性腫瘍の経尿道的切除

主訴:食欲不振、易疲労感、軽い痴呆

現病歴:平成13年12月末より易疲労感が出現し、徐々に悪化。平成14年1月初旬に近医を受診したところ、CTにて全身性リンパ節の腫大、および肝・脾にも多発性結節を認め、同年1月22日当院を紹介される。24日に入院となり、その翌日頸部リンパ節生検が施行された。

入院時検査データ:WBC 8300 /μl, RBC 339万 /μl, Hb9.5 g/dl, HCT 29.6%, PLT 6.1万 /μl, CRP 7.4 mg/dl, LDH 1015 U/l, CK 18 U/l, Cu 259 μg/dl, フェリチン 2251.0 ng/ml, β2MG 4.8 mg/l, 可溶性IL2Rc 51500 U/ml,  腫瘍マーカー ( CA19-9  91 U/ml,  CA125  85 U/ml )


Copyright:(C) 2002 Chiba Association of Medical Technologists. All rights reserved.
ホームページで公開している文章や画像などの著作権は社団法人千葉県臨床衛生検査技師会に帰属します。
これらの文章や画像を社団法人千葉県臨床衛生検査技師会の承諾なしに複製、他の電子メ
ディアや印刷物などに再利用することはできません。