|
設問 2
|
|
社団法人千葉県臨床衛生検査技師会 一般検査研究班
|
|
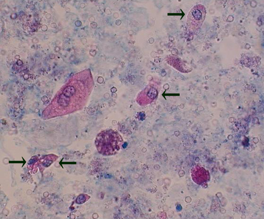
55歳、男性。腹部痛と血尿で泌尿器科を受診した患者尿である。尿沈査中に見られた矢印に示す成分について判定してください。 |
|
尿定性検査:pH5.0 蛋白(1+) 糖(4+) 潜血(3+) |
|
|
|
 |
 |
設問 2-1 無染色400倍
|
設問 2-2 Sternheimer400倍
|
|
|
正解:移行上皮細胞(深層型) |
|
|
解説:写真に示す細胞は、細胞の大きさが15〜30μm、色調は黄色調で、細胞辺縁は角状で、形は紡錘形、三角形、多辺形を示し、細胞質は厚く、細胞表面構造は漆喰状を示すことから深層部の移行上皮細胞と判定される。
移行上皮細胞の深層部細胞に類似する形態を示す細胞に洋梨・紡錘型の尿細管上皮細胞があるが、尿細管上皮は細胞質が薄く均質状あるいは微細顆粒状、辺縁構造が不明瞭であることなどから鑑別することが出来る。
|
|
|
|
|
佐瀬正次郎(総合病院国保旭中央病院) |
|
|
|
| 回答集計 |
(参加98施設) |
施設数 |
% |
| ○ |
移行上皮細胞 |
81 |
82.7 |
|
尿細管上皮細胞 |
14 |
14.3 |
|
異型細胞 |
1 |
1.0 |
|
ウィルス感染細胞 |
1 |
1.0 |
|
扁平上皮細胞 |
1 |
1.0 |
|
|
|
|
|
|
Copyright:(C) 2003 Chiba Association of Medical Technologists. All rights
reserved.
|