問題2 呼吸器

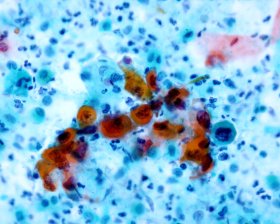
年齢・性別:63歳,男性 採取部位(方法):蓄痰 臨床所見: 咳嗽、B.I.=860 染色法:Pap.染色 倍率:×40

下記のうち、どれが最も考えられるか。

1.気管支喘息
2.気管支拡張症
3.肺結核
4.軽度異型扁平上皮細胞
5.扁平上皮癌

Copyright:(C) 2003 Chiba Association of Medical Technologists. All rights reserved.
ホームページで公開している文章や画像などの著作権は社団法人千葉県臨床衛生検査技師会に帰属します。
これらの文章や画像を社団法人千葉県臨床衛生検査技師会の承諾なしに複製、他の電子メ
ディアや印刷物などに再利用することはできません。

トップページにもどる