症例 問題

クラス分類 (1;T 2;U 3;V 4;W 5;X)
判定 (1; 陰性 2; 疑陽性 3;陽性) 
推定病変 (カッコ内にご記入ください)

クラス分類、判定は番号で記入して下さい。

Copyright:(C) 2003 Chiba Association of Medical Technologists. All rights reserved.
ホームページで公開している文章や画像などの著作権は社団法人千葉県臨床衛生検査技師会に帰属します。
これらの文章や画像を社団法人千葉県臨床衛生検査技師会の承諾なしに複製、他の電子メ
ディアや印刷物などに再利用することはできません。

症  例;44歳、主婦、2妊2産
主  訴;性器出血
既往歴;特記すべきことなし
現病歴;性器出血にて某医受診、超音波検査にて下腹部腫瘍が認められ
     当院紹介となった。精査にて子宮筋腫および右卵巣腫瘍が認められ、
     腹式単純子宮全摘出術+右附属器切除術が施行された。
     腫瘍割面は灰白色〜黄色調を呈する充実性腫瘍で一部嚢胞状や
     出血凝固壊死を伴っていた。

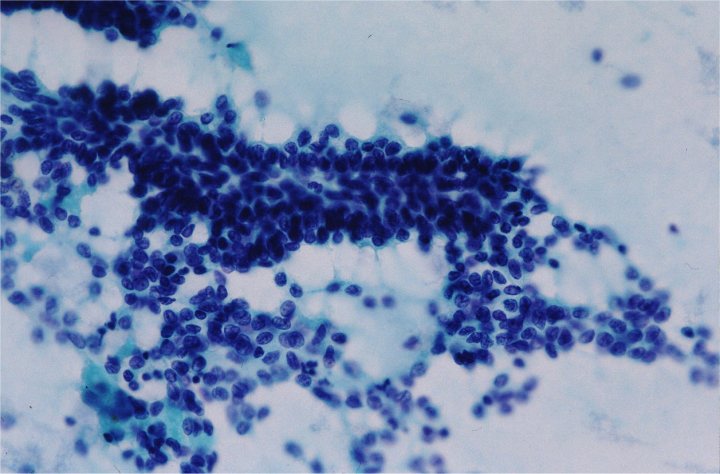
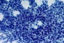
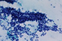
採取法;卵巣腫瘍の捺印塗沫

トップページにもどる

Pap.染色 ×100