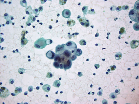
症例問題


症例:70歳 女性
主訴:左乳腺EAC領域に40mm大の腫瘤
採取方法:乳腺穿刺吸引
下記の内、どれが最も考えられるか。
番号で記入して下さい。

1.線維腺腫
2.乳頭腫
3.乳頭腺管癌
4.硬癌
5.アポクリン癌

トップページへ   解答・解説へ

Copyright:(C) 2005 Chiba Association of Medical Technologists. All rights reserved.
ホームページで公開している文章や画像などの著作権は社団法人千葉県臨床衛生検査技師会に帰属します。
これらの文章や画像を社団法人千葉県臨床衛生検査技師会の承諾なしに複製、他の電子メ
ディアや印刷物などに再利用することはできません。