| 設問 4 |
||
| 社団法人千葉県臨床検査技師会 一般検査研究班 | ||
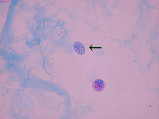
| 56歳 女性、内科外来受診時の尿沈渣である。 矢印で示す成分を判定してください。 尿定性検査:pH8.0 蛋白(−) 糖(−) 潜血(−) 白血球反応(−) |
||
![]() |
||
| 設問 4-1 無染色400倍 | 設問 4-2 Sternheimer染色 拡大 | |
| 正解:扁平上皮細胞の核(裸核) |
||
| 解説:扁平上皮細胞が多数見られる場合、白血球に混じって出現している場合が多い。白血球に類似するが、よく観察すると、しわ状に線が見える。 Sternheimer染色、Prescott-Brodie染色で鑑別可能である。 | ||
| 解説 4-1 Prescott-Brodie染色 |
||
| 解説:安藤 正(東邦大学医療センター佐倉病院 MCM検査室) | ||
| 次の設問へ トップにもどる | ||
| Copyright:(C) 2007 Chiba Association of Medical Technologists. All rights reserved | ||