問題4~6
問題4   (解答・解説へ)
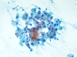
年齢: 83歳  性別:男性
臨床所見:肺右下葉腫瘤影
採取部位(方法)

気管支穿刺吸引
左:Pap.染色 
右:メイ・ギムザ染色

1.扁平上皮癌
2.腺癌
3.小細胞癌
4.大細胞神経内分泌癌
5.非ホジキンリンパ腫
問題5  (解答・解説へ)
年齢:80歳  性別:男性
臨床所見:血尿
採取部位(方法)
:自然尿
Pap.染色

1.炎症性変化
2.尿路上皮癌(G1)
3.尿路上皮癌(G3)
4.扁平上皮癌
5.腺癌
問題6  (解答・解説へ)
年齢:69歳  性別:女性
臨床所見:1.5cm大乳房腫瘤、MMGカテゴリー判定5
採取部位(方法)

乳房腫瘤穿刺吸引
Pap.染色

1.アポクリン化生細胞
2.アポクリン癌
3.髄様癌
4.顆粒細胞腫
5.乳腺炎
トップページへ
問題7~9へ